相关产品推荐更多 >
万千商家帮你免费找货
0 人在求购买到急需产品
- 详细信息
- 技术资料
- 免疫原:
The antiserum was produced against a chemically synthesized phosphopeptide derived from the region of human Tau that contains serine 214. The sequence is conserved in many species including mouse, rat, rhesus monkey, baboon, cow and goat.
- 亚型:
IgG
- 形态:
Liquid
- 保存条件:
Store as concentrated solution. Centrifuge briefly prior to opening vial. For short-term storage (1-2 weeks), store at 4ºC. For long-term storage, aliquot and store at -20ºC or below. Avoid multiple freeze-thaw cycles.
- 克隆性:
Polyclonal
- 标记物:
Unconjugated
- 适应物种:
Human, Mouse, Rat, Dog
- 保质期:
12 months from the shipping date of the product.
- 抗原来源:
Human
- 目录编号:
GTX24846
- 级别:
Primary Antibodies
- 库存:
Available
- 供应商:
GeneTex
- 宿主:
Rabbit
- 应用范围:
WB, ICC/IF, IHC-P, FACS, IP, ELISA, IHC
- 浓度:
Batch dependent (Please refer to the vial label for the specific concentration.)
- 靶点:
Tau (phospho Ser214)
- 抗体英文名:
Tau (phospho Ser214) antibody
- 抗体名:
Tau (phospho Ser214) 抗体
- 规格:
50 μl
WB analysis of samples using GTX24846 Tau (phospho Ser214) antibody. The data show that only the immunogen phosphopeptide blocks the signal, demonstrating the specificity of the antibody.
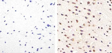
IHC-P analysis of human astroglioma tissue using GTX24846 Tau (phospho Ser214) antibody.
Right : Primary antibody
Left : Negative control without primary antibody
Antigen retrieval : 10mM sodium citrate (pH 6.0), microwaved for 8-15 min
Dilution : 1:100
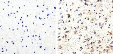
IHC-P analysis of mouse brain tissue using GTX24846 Tau (phospho Ser214) antibody.
Right : Primary antibody
Left : Negative control without primary antibody
Antigen retrieval : 10mM sodium citrate (pH 6.0), microwaved for 8-15 min
Dilution : 1:100
ICC/IF analysis of SH-SY5Y cells using GTX24846 Tau (phospho Ser214) antibody. Panel e is a no primary antibody control.
Green : Primary antibody
Blue : Nuclei
Red : Actin
Fixation : 4% PFA
Permeabilization : 0.25% Triton X-100 for 10 minutes
Dilution : 1 μg/ml in 1% BSA incubated for 3 hours at room temperature
风险提示:丁香通仅作为第三方平台,为商家信息发布提供平台空间。用户咨询产品时请注意保护个人信息及财产安全,合理判断,谨慎选购商品,商家和用户对交易行为负责。对于医疗器械类产品,请先查证核实企业经营资质和医疗器械产品注册证情况。
技术资料暂无技术资料 索取技术资料







