相关产品推荐更多 >
万千商家帮你免费找货
0 人在求购买到急需产品
- 详细信息
- 文献和实验
- 技术资料
- 免疫原:
BALB/C mice were injected with mouse recombinant p27 protein.
- 亚型:
IgG1
- 形态:
Liquid
- 保存条件:
Store as concentrated solution. Centrifuge briefly prior to opening vial. Store at 4ºC.
- 克隆性:
Monoclonal
- 标记物:
Unconjugated
- 适应物种:
Human
- 保质期:
12 months from the shipping date of the product.
- 抗原来源:
Mouse
- 目录编号:
GTX23928
- 级别:
Primary Antibodies
- 库存:
Available
- 供应商:
GeneTex
- 宿主:
Mouse
- 应用范围:
IHC-P
- 浓度:
Batch dependent (Please refer to the vial label for the specific concentration.)
- 靶点:
This antibody recognizes an epitope between amino acids 83-204 of p27. This antibody does not show any cross-reactivity with other related mitotic inhibitors.
- 抗体英文名:
p27 Kip1 antibody [DCS-72.F6]
- 抗体名:
p27 Kip1 抗体 [DCS-72.F6]
- 规格:
250 μl
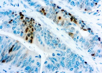
IHC-P analysis of human colon carcinoma tissue using GTX23928 p27 Kip1 antibody [DCS-72.F6].
风险提示:丁香通仅作为第三方平台,为商家信息发布提供平台空间。用户咨询产品时请注意保护个人信息及财产安全,合理判断,谨慎选购商品,商家和用户对交易行为负责。对于医疗器械类产品,请先查证核实企业经营资质和医疗器械产品注册证情况。
文献和实验Procedure Dilute p27 monoclonal antibody 1:1000 (v/v) in Carbonate Coating Buffer. Add 100 µl/well and incubate o/n @ 4°C or 1 hr @37°C. Wash 3X with TBST (pour onto plate, empty into sink, hit onto towel 3x to clear wells
-induced responses, including a down-regulation of the cyclin-dependent kinase (Cdk2) inhibitors p21CIP1 and p27KIP1 , while attachment to P-L-L did not. We conclude that engagement of the FN-receptor integrin α5β1 induces integrin signaling regulating
for determining the activity of PNAs designed to target oncomiRNAs, using as model system miR-221 and its target p27Kip1 mRNA. The effects of PNAs targeting miR-221 are here presented discussing data obtained using as model system the human breast cancer cell line
技术资料暂无技术资料 索取技术资料






![NAGLU antibody [N3C1], Internal](https://img1.dxycdn.com/2023/0516/045/6925717576889828561-14.jpg!wh200)

![SOX13 antibody [N1C3]](https://img1.dxycdn.com/2023/0516/895/8887749495766728561-14.jpg!wh200)

