相关产品推荐更多 >
万千商家帮你免费找货
0 人在求购买到急需产品
- 详细信息
- 文献和实验
- 技术资料
- 免疫原:
Prokaryotic recombinant protein corresponding to the C-terminal region of the topoisomerase II alpha molecule.
- 亚型:
IgG1
- 形态:
Liquid
- 保存条件:
Store as concentrated solution. Centrifuge briefly prior to opening vial. Store at 4ºC. DO NOT FREEZE.
- 克隆性:
Monoclonal
- 标记物:
Unconjugated
- 适应物种:
Human
- 保质期:
12 months from the shipping date of the product.
- 抗原来源:
Human
- 目录编号:
GTX23111
- 级别:
Primary Antibodies
- 库存:
Available
- 供应商:
GeneTex
- 宿主:
Mouse
- 应用范围:
IHC-P
- 浓度:
>60 μg/ml (Please refer to the vial label for the specific concentration.)
- 靶点:
Topoisomerase II alpha
- 抗体英文名:
Topoisomerase II alpha antibody [3F6]
- 抗体名:
Topoisomerase II alpha 抗体 [3F6]
- 规格:
500 μl
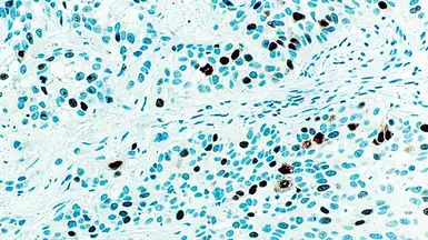
IHC-P analysis of human bladder tumor using GTX23111 Topoisomerase II alpha antibody [3F6]. Note intense nuclear staining of malignant cells and occasional mitotic figures.
风险提示:丁香通仅作为第三方平台,为商家信息发布提供平台空间。用户咨询产品时请注意保护个人信息及财产安全,合理判断,谨慎选购商品,商家和用户对交易行为负责。对于医疗器械类产品,请先查证核实企业经营资质和医疗器械产品注册证情况。
文献和实验Argenta PA et al., Gynecol Oncol 2013 (PMID:23911795)
In situ hybridisation to alpha satellite sequences (chromosome specific)
Alpha satellite sequences, whilst highly repetitive, are specific to each individual chromosome. These sequences flank the centromeres and can present a target measured in megabases. In this protocol a biotin or digoxigenin labelled DNA
in detail here. The first protocol is essentially a dual-pulldown assay employing Flag-tagged DNMT3A or antibody of choice for an endogenous protein and 5' biotin linked antisense RNA (Figure 1a), while the second protocol is a triple pulldown assay which essentially expands
PriCells: Introduction of Isolation and Culture of Human Alveolar Epithelial Cells
for most in vitro studies of alveolar epithelial function (e.g., transport and various metabolic pathways). The primary culture of human alveolar epithelial cells involves isolation, purification, and culture of alveolar epithelial type II (ATII) cells from human
技术资料暂无技术资料 索取技术资料








