相关产品推荐更多 >
万千商家帮你免费找货
0 人在求购买到急需产品
- 详细信息
- 文献和实验
- 技术资料
- 免疫原:
Synthetic peptide conjugated to KLH, derived from a sequence within residues 50-150 of mouse p19ARF. [Swiss-Prot #Q64364]
- 亚型:
IgG
- 形态:
Liquid
- 保存条件:
Store as concentrated solution. Centrifuge briefly prior to opening vial. For short-term storage (1-2 weeks), store at 4ºC. For long-term storage, aliquot and store at -20ºC or below. Avoid multiple freeze-thaw cycles.
- 克隆性:
Polyclonal
- 标记物:
Unconjugated
- 适应物种:
Mouse, Rat
- 保质期:
12 months from the shipping date of the product.
- 抗原来源:
Mouse
- 目录编号:
GTX20080
- 级别:
Primary Antibodies
- 库存:
Available
- 供应商:
GeneTex
- 宿主:
Rabbit
- 应用范围:
WB, ICC/IF, IHC-P, IHC-Fr, ELISA
- 浓度:
1 mg/ml (Please refer to the vial label for the specific concentration.)
- 靶点:
p19ARF
- 抗体英文名:
p19ARF antibody
- 抗体名:
p19ARF 抗体
- 规格:
100 μl
WB analysis of (1)NIH-3T3 and (2)MEF cell lysate using GTX20080 p19ARF antibody.
ICC/IF analysis of MEF cells using GTX20080 p19ARF antibody.
Green : primary antibody
Red : Tubulin
Blue : DAPI
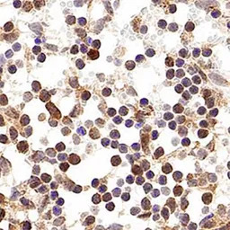
IHC-P analysis of mouse spleen tissue using GTX20080 p19ARF antibody.
Dilution : 10 μg/ml
Antigen retrieval : Heat induced antigen retrieval (HIER) using 10mM sodium citrate buffer (pH 6.0)
风险提示:丁香通仅作为第三方平台,为商家信息发布提供平台空间。用户咨询产品时请注意保护个人信息及财产安全,合理判断,谨慎选购商品,商家和用户对交易行为负责。对于医疗器械类产品,请先查证核实企业经营资质和医疗器械产品注册证情况。
文献和实验Adams CM et al., Cancer Res 2014 (PMID:24840646)
Gramling MW et al., Cell Death Differ 2012 (PMID:22301919)
Kalinichenko VV et al., Genes Dev 2004 (PMID:15082532)
Boone DN et al., Proc Natl Acad Sci U S A 2011 (PMID:21187408)
Arrate MP et al., Cancer Res 2010 (PMID:20587524)
Humbey O et al., Cancer Res 2008 (PMID:19047137)
Chang TC et al., PLoS One 2015 (PMID:25961745)
Leu JI et al., J Liver 2013 (PMID:23991369)
Preparation of Myristoylated Arf1 and Arf6 Proteins
ADP-ribosylation factor (Arf) proteins were first identified as cofactors for cholera toxin-catalyzed ADP-ribosylation of the heterotrimeric G-protein Gs. Subsequent cloning led to the discovery that Arfs were part of a group of GTP-binding
ARF GTPase-Activating Protein 1
ARF-family GTPases function as regulators of multiple membrane trafficking processes in all eukaryotic cells. Six ARF proteins have been identified in humans, all of which contain a myristoyl residue, attached to their aminoterminal glycine
the role of Smads and ATF-2 in cardiomyocyte differentiation of P19CL6, a clonal derivative of murine P19 cells. Although P19CL6 efficiently differentiates into cardiomyocytes when treated with dimethyl sulfoxide, P19CL6noggin, a P19CL6 cell line
技术资料暂无技术资料 索取技术资料








![Nucleolin antibody [4E2]](https://img1.dxycdn.com/2023/0711/451/6106825198874858761-14.jpg!wh200)
