相关产品推荐更多 >
万千商家帮你免费找货
0 人在求购买到急需产品
- 详细信息
- 文献和实验
- 技术资料
- 免疫原:
BALB/C mice were injected with stimulated human leukocytes.
- 亚型:
IgG2a
- 形态:
Liquid
- 保存条件:
Store as concentrated solution. Centrifuge briefly prior to opening vial. Store at 4ºC.
- 克隆性:
Monoclonal
- 标记物:
Unconjugated
- 适应物种:
Human
- 保质期:
12 months from the shipping date of the product.
- 抗原来源:
Human
- 目录编号:
GTX16728
- 级别:
Primary Antibodies
- 库存:
Available
- 供应商:
GeneTex
- 宿主:
Mouse
- 应用范围:
IHC-P
- 浓度:
Batch dependent (Please refer to the vial label for the specific concentration.)
- 靶点:
CD44
- 抗体英文名:
CD44 antibody [156-3C11]
- 抗体名:
CD44 抗体 [156-3C11]
- 规格:
500 μl
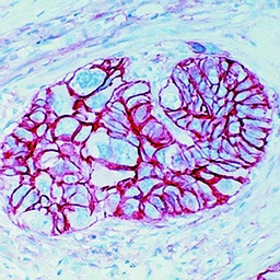
IHC-P analysis of human tonsil tissue using GTX16728 CD44 antibody [156-3C11].
风险提示:丁香通仅作为第三方平台,为商家信息发布提供平台空间。用户咨询产品时请注意保护个人信息及财产安全,合理判断,谨慎选购商品,商家和用户对交易行为负责。对于医疗器械类产品,请先查证核实企业经营资质和医疗器械产品注册证情况。
文献和实验上海西唐生物科技有限公司 021-55229872, 65333639 www.westang.com 大鼠可溶性 CD44(sCD44)ELISA 试剂盒 ( 用于血清、血浆、细胞培养上清液和其它生物体液内 ) 原理 本实验采用双抗体夹心 ABC-ELISA 法。用抗大鼠 sCD44 单抗包被于酶标板上,标准品和样品中的 sCD44 与单抗结合,加入生物素化的抗大鼠 sCD44 ,形成免疫
人可溶性CD44v6(sCD44v6)ELISA试剂盒 说明书
上海西唐生物科技有限公司 021-55229872, 65333639 www.westang.com 人可溶性CD44v6 (sCD44v6)ELISA 试剂盒 ( 用于血清、血浆、细胞培养上清液和其它生物体液内 ) 原理 本实验采用双抗体夹心 ABC-ELISA 法。用抗人 sCD44v6 单抗包被于酶标板上,标准品和样品中的 sCD44v6与单抗结合,加入生物素化的抗人
(1 ). In our laboratory, we have developed methods to immortalize specific antibody-producing cells by fusing secreting EBV-activated lymphocytes to mouse-human heteromyeloma cell lines with electrofusion, followed by cloning (2 ). This methodology has allowed
技术资料暂无技术资料 索取技术资料







![beta Tubulin 3/ Tuj1 antibody [AA10]](https://img1.dxycdn.com/2023/0711/451/6106825198874858761-14.jpg!wh200)

