相关产品推荐更多 >
万千商家帮你免费找货
0 人在求购买到急需产品
- 详细信息
- 文献和实验
- 技术资料
- 免疫原:
Human nucleolin protein from Raji cell extract.
- 亚型:
IgG1
- 形态:
Liquid
- 保存条件:
Store as concentrated solution. Centrifuge briefly prior to opening vial. For short-term storage (1-2 weeks), store at 4ºC. For long-term storage, aliquot and store at -20ºC or below. Avoid multiple freeze-thaw cycles.
- 克隆性:
Monoclonal
- 标记物:
Unconjugated
- 适应物种:
Human, Bovine
- 保质期:
12 months from the shipping date of the product.
- 抗原来源:
Human
- 目录编号:
GTX13541
- 级别:
Primary Antibodies
- 库存:
Available
- 供应商:
GeneTex
- 宿主:
Mouse
- 应用范围:
WB, ICC/IF, ChIP assay, IHC
- 浓度:
1 mg/ml (Please refer to the vial label for the specific concentration.)
- 靶点:
Nucleolin
- 抗体英文名:
Nucleolin antibody [4E2]
- 抗体名:
Nucleolin 抗体 [4E2]
- 规格:
50 μg
Western Blot analysis using Nucleolin [4E2] antibody (GTX13541) on HL60 (1) and ZR-75 (2) cell extracts
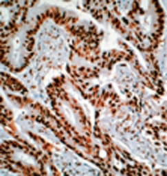
Immunohistochemistry analysis of nuclear staining of colon cancer sections using Nucleolin mAb (4E2).
风险提示:丁香通仅作为第三方平台,为商家信息发布提供平台空间。用户咨询产品时请注意保护个人信息及财产安全,合理判断,谨慎选购商品,商家和用户对交易行为负责。对于医疗器械类产品,请先查证核实企业经营资质和医疗器械产品注册证情况。
文献和实验Wei PC et al., Nucleic Acids Res 2013 (PMID:23241391)
Villanueva E et al., Nat Protoc 2020 (PMID:32651564)
Alexandrova J et al., Biochem J 2020 (PMID:32011671)
Lai WY et al., Biomaterials 2014 (PMID:24397988)
人转录因子E2F1 ( E2F1 )ELISA 试剂盒 原理 本实验采用双抗体夹心 ABC-ELISA 法。用抗人 E2F1 单抗包被于酶标板上,标准品和样品中的 E2F1与单抗结合,加入生物素化的抗人 E2F1 ,形成免疫复合物连接在板上,辣根过氧化物酶标记的 Streptavidin 与生物素结合,加入底物工作液显蓝色,最后加终止液硫酸,在 450nm 处测 OD 值,E2F1 浓度与 OD 值成正比
上海西唐生物科技有限公司 021-55229872, 65333639 www.westang.com 大鼠雌二醇 (E2)ELISA 试剂盒 ( 用于血清、血浆、细胞培养上清液和其它生物体液内 ) 原理 本实验采用双抗体夹心 ABC-ELISA 法。用抗大鼠 E2 ( Estradiol ) 单抗包被于酶标板上,标准品和样品中的 E2 与单抗结合,加入生物素化的抗大鼠 E2 ,形成免疫复合物连接
上海西唐生物科技有限公司 021-55229872, 65333639 www.westang.com 小鼠雌二醇 (E2)ELISA 试剂盒 ( 用于血清、血浆、细胞培养上清液和其它生物体液内 ) 原理 本实验采用双抗体夹心 ABC-ELISA 法。用抗小鼠 E2( Estradiol ) 单抗包被于酶标板上,标准品和样品中的 E2与单抗结合,加入生物
技术资料暂无技术资料 索取技术资料







![Fc epsilon R1 alpha antibody [9E1] (PE)](https://custom.dxycdn.com/trademd/upload/pic/2011/12/14/1323695851.jpg!small.t.1)

