相关产品推荐更多 >
万千商家帮你免费找货
0 人在求购买到急需产品
- 详细信息
- 文献和实验
- 技术资料
- 免疫原:
Synthetic 20 amino acid peptide from N-terminal extracellular domain of human CNR2 / CB2.
- 亚型:
IgG
- 形态:
Liquid
- 保存条件:
Store as concentrated solution. Centrifuge briefly prior to opening vial. For short-term storage (1-2 weeks), store at 4ºC. For long-term storage, aliquot and store at -20ºC or below. Avoid multiple freeze-thaw cycles.
- 克隆性:
Polyclonal
- 标记物:
Unconjugated
- 适应物种:
Human
- 保质期:
12 months from the shipping date of the product.
- 抗原来源:
Human
- 目录编号:
GTX78033
- 级别:
Primary Antibodies
- 库存:
Available
- 供应商:
GeneTex
- 宿主:
Rabbit
- 应用范围:
IHC-P
- 浓度:
1 mg/ml (Please refer to the vial label for the specific concentration.)
- 靶点:
Cannabinoid receptor 2
- 抗体英文名:
Cannabinoid receptor 2 antibody
- 抗体名:
Cannabinoid receptor 2 抗体
- 规格:
25 μg
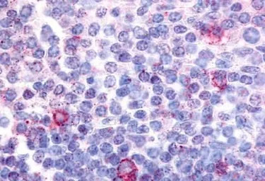
IHC-P analysis of human tonsil, germinal center and mantle zone tissue using GTX78033 Cannabinoid receptor 2 antibody.
Antigen retrieval : Heat-induced antigen retrieval
风险提示:丁香通仅作为第三方平台,为商家信息发布提供平台空间。用户咨询产品时请注意保护个人信息及财产安全,合理判断,谨慎选购商品,商家和用户对交易行为负责。对于医疗器械类产品,请先查证核实企业经营资质和医疗器械产品注册证情况。
文献和实验Experimental Methods to Study the Role of the Peripheral Cannabinoid Receptor in Immune Function
cannabinoid receptor (CB1 R) and the peripheral cannabinoid receptor (CB2 R). The CB1 R is expressed predominantly in the central nervous system. The CB2 R is expressed mainly in cells of the immune system, suggesting that the CB2 R is involved
Characterization of Cannabinoid Receptors
. Baker, D., Pryce, G., Davies, W.L., and Hiley, C.R. 2006. In silico patent searching reveals a new cannabinoid receptor. Trends Pharmacol. Sci. 27:1‐4.
receptor. In the case of the cannabinoid receptor system, radioligand binding has been instrumental for each of these applications. While receptor binding can provide the above information, it says little about the efficacy of the ligand interacting
技术资料暂无技术资料 索取技术资料





![AHA-1 antibody [25F2.D9]](https://img1.dxycdn.com/2023/0711/451/6106825198874858761-14.jpg!wh200)


![CD86 antibody [N1C2]](https://custom.dxycdn.com/trademd/upload/pic/2011/12/20/1324015994.jpg!small.t.1)


