相关产品推荐更多 >
万千商家帮你免费找货
0 人在求购买到急需产品
- 详细信息
- 询价记录
- 文献和实验
- 技术资料
- 免疫原:
A synthetic peptide derived from a C-terminal sequence of human SLC31A1/CTR1 [UniProt# O15431]
- 亚型:
IgG
- 形态:
Liquid
- 保存条件:
Store as concentrated solution. Centrifuge briefly prior to opening vial. Store at 4ºC. DO NOT FREEZE.
- 克隆性:
Polyclonal
- 标记物:
Unconjugated
- 适应物种:
Human, Mouse, Rat, Zebrafish, Pig, Xenopus
- 保质期:
12 months from the shipping date of the product.
- 抗原来源:
Human
- 目录编号:
GTX30642
- 级别:
Primary Antibodies
- 库存:
Available
- 供应商:
GeneTex
- 宿主:
Rabbit
- 应用范围:
WB, ICC/IF, IHC-P, IHC-Fr
- 浓度:
1 mg/ml (Please refer to the vial label for the specific concentration.)
- 靶点:
SLC31A1 / CTR1
- 抗体英文名:
SLC31A1 / CTR1 antibody
- 抗体名:
SLC31A1 / CTR1 抗体
- 规格:
100 μl
ICC/IF analysis of NIH-3T3 cells using GTX30642 SLC31A1 / CTR1 antibody.
Green : primary antibody
Red : Tubulin
Blue : DAPI
ICC/IF analysis of SLC31A1 / CTR1 overexpressing cells with (left) or without (right) peptide competition using GTX30642 SLC31A1 / CTR1 antibody.
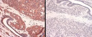
IHC-P analysis of human breast carcinoma tissue using GTX30642 SLC31A1 / CTR1 antibody.
Panel 1: human CTR1 staining of breast cancer tissue
Panel 2: human CTR1-antigen competition in breast cancer tissue
风险提示:丁香通仅作为第三方平台,为商家信息发布提供平台空间。用户咨询产品时请注意保护个人信息及财产安全,合理判断,谨慎选购商品,商家和用户对交易行为负责。对于医疗器械类产品,请先查证核实企业经营资质和医疗器械产品注册证情况。
- 作者
- 内容
- 询问日期
文献和实验Yang Wen et al., Anim Nutr 2022 (PMID:35024469)
Notes on Making Rat x Y3 Monoclonal Antibody Producing Hybridomas
Although Y3/Ag1.2.3 has its own myeloma light chain, their are numerous characteristics that make this a better parent line for making hybridomas than the 'Y0' chain loss variants or using NS0 to make rat x mouse hybrids. These are: a) Hybridomas
There is an increasing interest in the preparation of rat � rat hybridomas, because they have been found to be more stable in culture than mouse hybridomas and they secrete consistently high levels (10 �g/mL and above) of monoclonal antibody
人转录因子E2F1 ( E2F1 )ELISA 试剂盒 原理 本实验采用双抗体夹心 ABC-ELISA 法。用抗人 E2F1 单抗包被于酶标板上,标准品和样品中的 E2F1与单抗结合,加入生物素化的抗人 E2F1 ,形成免疫复合物连接在板上,辣根过氧化物酶标记的 Streptavidin 与生物素结合,加入底物工作液显蓝色,最后加终止液硫酸,在 450nm 处测 OD 值,E2F1 浓度与 OD 值成正比
技术资料暂无技术资料 索取技术资料





![Actin antibody [HL2372]](https://img1.dxycdn.com/2023/0711/058/8406876405285858761-14.jpg!wh200)


![KSHV antibody [LN35]](https://img1.dxycdn.com/2023/0711/451/6106825198874858761-14.jpg!wh200)

