相关产品推荐更多 >
万千商家帮你免费找货
0 人在求购买到急需产品
- 详细信息
- 文献和实验
- 技术资料
- 供应商:
上海机纯实业有限公司
- 库存:
大量
- 生长状态:
贴壁生长
- 运输方式:
干冰
- 英文名:
[NCI-H1703细胞]
- 规格:
详见说明书
培养条件
RPMI1640(w/oHepes)10%FBS
基本特性
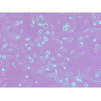
细胞生长:贴壁生长
细胞形态:上皮细胞样
细胞数量:1×106个细胞数
细胞传代:1:3
细胞特性:该细胞1987年建系源自一位54岁患有非小细胞肺癌的白人男性该患者为吸烟者
细胞纯度:95%
细胞活力:87%(ViabilitybyTrypanBlueExclusion)
细胞检测:细胞不含有HIV-1、HBV、HCV、支原体、细菌、酵母和真菌
产品注明
细胞冻存:液氮冻存(基础培养基+10%DMSO+20%FBS)
细胞运输:干冰运输(1Vial)或活细胞运输(T-25flasks)
细胞用途:只可用于科研不可用于临床诊断和治疗
[NCI-H1703细胞]人肺鳞癌细胞处理程序
在培养瓶中接种细胞并在培养基中完全填充培养基以防止运输过程中细胞的丢失。
1、收到后,目视检查培养物是否有微生物污染的宏观证据。
使用倒置显微镜(配备有相位传感器),仔细检查是否有微生物污染的证据。还检查以确定大多数细胞是否仍然附着在烧瓶底部?在运输过程中,培养物有时被粗略地处理,并且许多细胞经常分离并悬浮在培养基中(但仍然是可行的)。
2、如果细胞仍然附着,无菌去除5至10毫升的运输介质。可以节省运输媒介以重复使用。在5%℃的空气中,在37℃下培养细胞,直到它们准备进行传代培养BGC-823人胃腺癌细胞(低分化)没有附着,无菌地移除烧瓶的全部内容物,并以1000rpm离心5至10分钟。取出运输介质并保存。在10毫升这种培养基中重新沉淀颗粒细胞并加入25厘米的烧瓶中。在空气中5%℃下,在37℃下孵育,直至细胞准备进行传代培养。
[NCI-H1703细胞]人肺鳞癌细胞冷冻保存程序
1、去除和丢弃培养基。
2、简要冲洗细胞层0.25(w/v)trypsin0.53mm EDTA溶液去除所有痕迹血清含有胰蛋白酶抑制剂。
3、加入2至3毫升的胰蛋白酶-EDTA溶液瓶中,倒置显微镜下观察细胞到细胞层是分散的(通常在1到10分钟)。
注意:为了避免结块,不要在击打或摇晃瓶子时搅拌细胞,等待细胞分离。难以分离的细胞可以放置在37°C以促进扩散。
4、加入6~8毫升的完整生长培养基,轻轻吸液,抽吸细胞。
5、去除胰酶EDTA溶液,将细胞悬液到离心管和旋转约5 1000rpmfor 10分钟。
6、低温保存培养液中的上清液和复苏细胞。
7、将细胞转移至低温瓶,1ml/瓶。
8、低温容器中的细胞Frozen(NalgENα5100-01)。
风险提示:丁香通仅作为第三方平台,为商家信息发布提供平台空间。用户咨询产品时请注意保护个人信息及财产安全,合理判断,谨慎选购商品,商家和用户对交易行为负责。对于医疗器械类产品,请先查证核实企业经营资质和医疗器械产品注册证情况。
文献和实验都是贴壁细胞,在消化传代过程中,步骤如下:倒尽旧的培养液->用无血清的培养基清洗一两次->加入一定量的胰酶,置于37度培养箱中5--10分钟,使细胞悬浮->显微镜下观察,待细胞大部分变圆时,回到超静台->加入一定量的含血清的新培养液,以终止胰酶作用->反复吹打细胞->再置显微镜下观察,直到细胞全部悬浮起来->吸出一部分加入新的培养瓶中->最后再补充加入一定量新的培养液。注意: 1、吹细胞时尽量多吹边角儿,此处细胞生长的多。2、吸出细胞前要混匀,可以剧烈震荡培养瓶。3、我们用的是DMEM
双向凝胶电泳-飞行时间质谱法分析人肺鳞癌细胞HCL-H520蛋白质组成份
《双向凝胶电泳-飞行时间质谱法分析人肺鳞癌细胞HCL-H520蛋白质组成份》下载 点击 这里 下载
氧气吸多了也有害!今日 Mol Cell:过量氧气损害健康的关键途径被找到了
技术,研究人员从实验室培养的人类细胞中敲除了 20000 多个不同基因,然后比较了每组细胞在 21% 氧气含量和 50% 氧气含量下的生长情况。 「这种无偏见的筛选让我们能够探索高氧条件下数千种不同分子通路的贡献,而不仅仅是关注我们已经怀疑可能涉及的通路,」Isha H. Jain 说,「它把我们引向了以前从未与氧毒性联系在一起的分子。」 在筛选中,四种分子通路脱颖而出,表现出与高氧的影响有关。它们与多种细胞功能有关,包括修复受损的 DNA、产生新的 DNA 构件,以及产生细胞能量。 图片
技术资料暂无技术资料 索取技术资料




![[NCI-H524细胞]人非小细胞肺癌细胞](https://img1.dxycdn.com/2019/0221/213/3330139022265049899-14.jpg!wh200)


![[HSAS1细胞]人皮肤成纤维细胞](https://img1.dxycdn.com/2019/0221/280/3330131396550532191-14.jpg!wh200)
![[U251细胞]人神经胶质细胞瘤细胞](https://img1.dxycdn.com/2019/0221/583/3330144401711650739-14.jpg!wh200)

