相关产品推荐更多 >
万千商家帮你免费找货
0 人在求购买到急需产品
- 详细信息
- 技术资料
- 供应商:
上海机纯实业有限公司
- 库存:
大量
- 年限:
12个月
- 英文名:
PG-LH7
- 规格:
T25
| 目录号 | JC-Y1420 |
| 细胞英文(简称) | PG-LH7 |
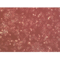
| 细胞名称 | PG-LH7人肺巨细胞癌低转移细胞株 |
| 背景资料 | 收到细胞,请查看瓶子是否有破裂,培养基是否漏出,是否浑浊,如有请尽快和我们联系。如包装完,取出25cm2培养瓶,75%酒精消毒,拆下封口膜,在显微镜下观察细胞形态是否正常,细胞的贴壁情况以及细胞密度,然后放入37℃,5%CO2细胞培养箱中静置2-3小时,以稳定细胞状态。 |
| 细胞来源 | ATCC |
| 代次 | P3 |
| 规格 | T25 |
| 细胞数 | 50-100万 |
| 价格 | 电议 |
| 生物安全级别 | 2 |
| 组织来源 | 肺 |
| 细胞形态 | 贴壁 |
| 细胞活力 | 95%(Viability by Trypan Blue Exclusion) |
| 细胞检测 | 细胞不含有HIV-1、HBV、HCV、支原体、细菌、酵母和真菌 |
| 培养条件 | RPMI-1640 +10% FBS;37℃,5% CO2 |
| 传代方法 | 建议1:2-1:3 两天换液一次 |
| 冻存条件 | 完全培养基50%+40%FBS+10%DMSO |
风险提示:丁香通仅作为第三方平台,为商家信息发布提供平台空间。用户咨询产品时请注意保护个人信息及财产安全,合理判断,谨慎选购商品,商家和用户对交易行为负责。对于医疗器械类产品,请先查证核实企业经营资质和医疗器械产品注册证情况。
技术资料暂无技术资料 索取技术资料
PG-LH7人肺巨细胞癌低转移细胞株
¥1800 - 5800




![[COLO320DM细胞]人结直肠腺癌细胞](https://img1.dxycdn.com/2019/0221/359/3330159212906268704-14.jpg!wh200)
![[U251细胞]人神经胶质细胞瘤细胞](https://img1.dxycdn.com/2019/0221/583/3330144401711650739-14.jpg!wh200)

![[MDA-MB-436细胞]人乳腺癌细胞](https://img1.dxycdn.com/2019/0221/315/3330147998746880948-14.jpg!wh200)
![[HS683细胞]人脑胶质瘤细胞](https://img1.dxycdn.com/2019/0221/652/3330144219175638273-14.jpg!wh200)
