万千商家帮你免费找货
0 人在求购买到急需产品
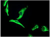
- 详细信息
- 文献和实验
- 技术资料
- 亚型:
IgG
- 保存条件:
Store at -20 °C
- 库存:
20-60
- 供应商:
上海研生
- 浓度:
1mg/ml
- 抗体英文名:
Collagen IV
- 规格:
0.5mg
风险提示:丁香通仅作为第三方平台,为商家信息发布提供平台空间。用户咨询产品时请注意保护个人信息及财产安全,合理判断,谨慎选购商品,商家和用户对交易行为负责。对于医疗器械类产品,请先查证核实企业经营资质和医疗器械产品注册证情况。
文献和实验Ⅳ型超敏反应机制 经典的迟发型超敏反应可由结核杆菌皮内注射而诱发。如果宿主曾经接触过结核杆菌,就会在24-72h后出现一个由T细胞介导的局部炎症反应。抗原接种大约4h之后,中性粒细胞在注射部位开始迅速聚集,血管内皮细胞也显示出一系列的形态和功能变化,包括生物合成的增加,细胞器合成的加速,并且发生血浆大分子的渗漏。血纤蛋白原(hbrin。gen)从血液渗透进入周围组织。纤维沉积和部分T细胞及单核细胞聚集,使注射部位的血管外组织形成肿胀和硬结。作为DTH的一个
复合物Ⅳ又称细胞色素c氧化酶(cytochrome c oxidase)。总相对分子质量为200kDa。复合物Ⅳ是以二聚体的形式存在,它的亚基Ⅰ和Ⅱ都含有4个氧化还原中心(redox-active centers)和两个a型细胞色素(含有1个a、1个a3)和两个Cu。主要功能是将电子从细胞色素c传递给O2 分子, 生成H2O∶4cyt c2 O2 4H → 4cyt c3 2H2O。每传递一对电子,要从线粒体基质中摄取4个质子,其中两个质子用于水的形成,另两个质子被跨膜转运到膜间隙
is a metalloproteinase that specifically cleaves type IV collagen, the major structural component of basement membranes. The metastatic potential of tumor cells has been found to correlate with the activity of this enzyme. 常规的作作明胶酶谱即可,请参贴子http://www.dxy.cn/bbs/post/view
技术资料暂无技术资料 索取技术资料








