相关产品推荐更多 >
万千商家帮你免费找货
0 人在求购买到急需产品
- 详细信息
- 文献和实验
- 技术资料
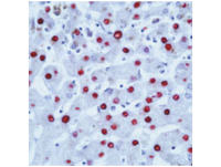
- 亚型:
IgG
- 保存条件:
Store at -20 °C
- 库存:
20-60
- 供应商:
上海抚生
- 浓度:
1mg/ml
- 抗体英文名:
Coxsackie Adenovirus Receptor
- 规格:
0.2ml
风险提示:丁香通仅作为第三方平台,为商家信息发布提供平台空间。用户咨询产品时请注意保护个人信息及财产安全,合理判断,谨慎选购商品,商家和用户对交易行为负责。对于医疗器械类产品,请先查证核实企业经营资质和医疗器械产品注册证情况。
文献和实验人微小病毒B19IgM抗体(B19IgM-Ab)酶联免疫分析
人 微小病毒 B19IgM 抗体( B19IgM-Ab ) 酶联免疫分析(ELISA ) 试剂盒使用说明书 本试剂仅供研究使用 目的:本试剂盒用于测定人血清,血浆及相关液体样本中 微小病毒B19IgM 抗体(B19IgM-Ab )水平 。 实验原理: 本试剂盒采用双抗原夹心酶联免疫法( ELISA )测定标本中 人 微小病毒B19IgM 抗体(B19IgM-Ab )水平 。用纯化的 人 微小病毒
人微小病毒B19IgM抗体(B19IgM-Ab)酶联免疫分析
人 微小病毒 B19IgM 抗体( B19IgM-Ab ) 酶联免疫分析(ELISA ) 试剂盒使用说明书 本试剂仅供研究使用 目的:本试剂盒用于测定人血清,血浆及相关液体样本中 微小病毒B19IgM 抗体(B19IgM-Ab )水平 。 实验原理: 本试剂盒采用双抗原夹心酶联免疫法( ELISA )测定标本中 人 微小病毒B19IgM 抗体(B19IgM-Ab )水平 。用纯化的 人 微小病毒
人微小病毒B19IgG抗体(B19IgG-Ab)酶联免疫分析
人 微小病毒 B19IgG 抗体( B19IgG-Ab ) 酶联免疫分析(ELISA ) 试剂盒使用说明书 本试剂仅供研究使用 目的:本试剂盒用于测定人血清,血浆及相关液体样本中 微小病毒B19IgG 抗体(B19IgG-Ab )水平 。 实验原理: 本试剂盒采用双抗原夹心酶联免疫法( ELISA )测定标本中 人 微小病毒B19IgG 抗体(B19IgG-Ab )水平 。用纯化的 人 微小病毒
技术资料暂无技术资料 索取技术资料









