相关产品推荐更多 >
万千商家帮你免费找货
0 人在求购买到急需产品
- 详细信息
- 文献和实验
- 技术资料
- 库存:
大量
- 年限:
12个月
- 英文名:
H9c2(2-1)
- 规格:
T25
| 目录号 | JC-Y3011 |
| 细胞英文(简称) | H9c2(2-1) |
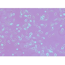
| 细胞名称 | H9c2(2-1) 大鼠心肌细胞 |
| 背景资料 | 该细胞由Kimes B和Brandt B从BD1X大鼠胚胎心脏组织的克隆细胞株亚克隆得到;表现出许多骨骼肌的特性。这个细胞株中的成肌细胞能融合形成多核的肌管,并对乙酰胆碱的刺激发生反应。如果培养基中的血清浓度下降到1%,融合发生得很快。 |
| 细胞来源 | ATCC |
| 代次 | P3 |
| 规格 | T25 |
| 细胞数 | 50-100万 |
| 价格 | 电议 |
| 生物安全级别 | 2 |
| 组织来源 | 心脏,心肌层 |
| 细胞形态 | 贴壁;成肌细胞样 |
| 细胞活力 | 95%(Viability by Trypan Blue Exclusion) |
| 细胞检测 | 细胞不含有HIV-1、HBV、HCV、支原体、细菌、酵母和真菌 |
| 培养条件 | DMEM (高糖)+10% FBS;37℃,5% CO2 |
| 传代方法 | 建议1:2-1:3 两天换液一次 |
| 冻存条件 | 完全培养基50%+40%FBS+10%DMSO |
风险提示:丁香通仅作为第三方平台,为商家信息发布提供平台空间。用户咨询产品时请注意保护个人信息及财产安全,合理判断,谨慎选购商品,商家和用户对交易行为负责。对于医疗器械类产品,请先查证核实企业经营资质和医疗器械产品注册证情况。
文献和实验首先,它肯定不同于原代细胞系的,最大的区别,原代的心肌细胞基本不能分裂,而H9C2可以分裂,最大的区别了吧!原代心肌细胞会跳动,你的H9C2不会吧。虽然都是梭形的,但是H9C2来源于胚胎期心脏,而心肌细胞一般用新生大鼠分离获得。H9C2与原代心肌细胞有那么大区别,当然不能替代它,所以在研究方向上,你要根据自己的实验需求选择自己合适的细胞,一般来讲呢,如果你研究与心脏相关的信号通路,我建议你还是选用细胞系,因为它可以分裂,获得细胞容易,而且,因为H9C2展现一些成肌细胞特性,所以一般文章都说H9C2
于原代细胞系的,最大的区别,原代的心肌细胞基本不能分裂,而H9C2可以分裂,最大的区别了吧!原代心肌细胞会跳动,你的 H9C2不会吧。虽然都是梭形的,但是H9C2来源于胚胎期心脏,而心肌细胞一般用新生大鼠分离获得。H9C2与原代心肌细胞有那么大区别,当然不能替代它,所以在研究方向上,你要根据自己的实验需求选择自己合适的细胞,一般来讲呢,如果你研究与心 脏相关的信号通路,我建议你还是选用细胞系,因为它可以分裂,获得细胞容易,而且,因为H9C2展现一些成肌细胞特性,所以一般文章都说H9C2做实验
【求助】高糖条件诱导凋亡,glucose开始是如何进入胞内?
nydljl 最近在做高糖诱导心肌细胞凋亡,多数文献提示用其它糖对照,渗透压不是主要的凋亡诱因。那么胞外的葡萄糖是怎样通过胞膜,哪些特异的通路起作用(培养中没有胰岛素),产生oxidative stress,AGE损害等,诱导ROS,线粒体等导致凋亡? 我找的很多文献基本是在下游的机制,具体讨论胞外high glucose开始是如何进入的文章较少。不知有没哪位战友做过这方面的工作,指教指教。 shqling
技术资料暂无技术资料 索取技术资料





![[J82细胞]人膀胱移行细胞癌](https://img1.dxycdn.com/2019/0221/894/3330143349444755348-14.jpg!wh200)


![[SPC-A-1细胞]人肺腺癌细胞](https://img1.dxycdn.com/2019/0221/585/3330136866191442682-14.jpg!wh200)

