相关产品推荐更多 >
万千商家帮你免费找货
0 人在求购买到急需产品
- 详细信息
- 技术资料
- 免疫原:
Recombinant protein within human Carbonic Anhydrase I aa 1-200.
- 形态:
liquid
- 保存条件:
Store at -20˚C
- 克隆性:
Monoclonal antibody
- 适应物种:
Human;Mouse;Rat
- 保质期:
12 months
- 抗原来源:
Recombinant Rabbit
- 供应商:
南京赛戈巍生物科技有限公司
- 宿主:
Recombinant Rabbit
- 应用范围:
WB,IHC
- 靶点:
Uniprot:P00915
- 抗体英文名:
Carbonic Anhydrase I Rabbit mAb
- 规格:
50ul/100ul
CA I antibody
CA-I antibody
CA1 antibody
CAB antibody
CAH1_HUMAN antibody
CAI antibody
CAN antibody
Car 1 antibody
Car1 antibody
Carbonate dehydratase I antibody
Carbonic anhydrase 1 antibody
Carbonic anhydrase A antibody
Carbonic anhydrase B antibody
Carbonic anhydrase B, formerly antibody
Carbonic anhydrase I antibody
Carbonic dehydratase antibody
ECK0125 antibody
JW0122 antibody
yadF antibody
计算分子量:29 kDa
配方:1*TBS (pH7.4), 1%BSA, 40%Glycerol. Preservative: 0.05% Sodium Azide.
应用详情:WB: 1:500-1:2,000
IHC: 1:50-1:200
图片:

Western blot analysis of Carbonic Anhydrase I on different lysates using anti-Carbonic Anhydrase I antibody at 1/1,000 dilution.
Positive control:
Lane 1: Human colon
Lane 2: Mouse spleen
Lane 3: Mouse colon
,

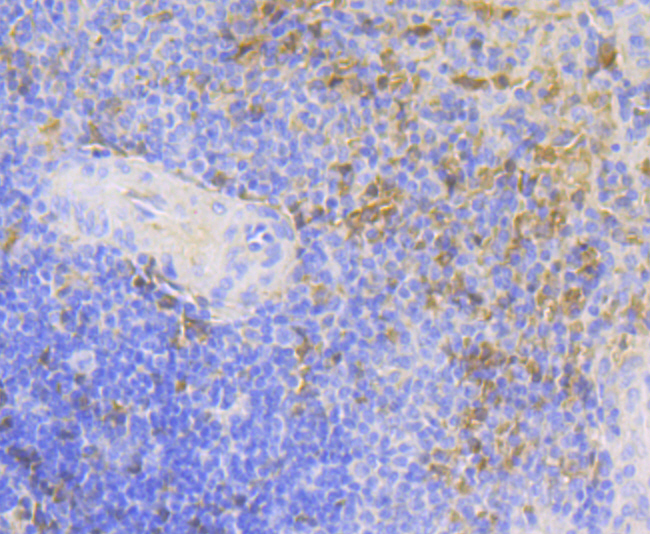
Immunohistochemical analysis of paraffin-embedded human spleen tissue using anti-Carbonic Anhydrase I antibody. Counter stained with hematoxylin.
,

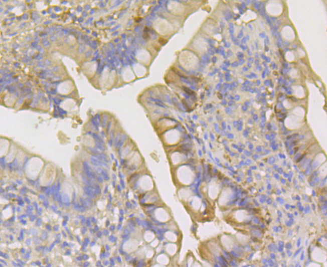
Immunohistochemical analysis of paraffin-embedded human small intestine tissue using anti-Carbonic Anhydrase I antibody. Counter stained with hematoxylin.
,

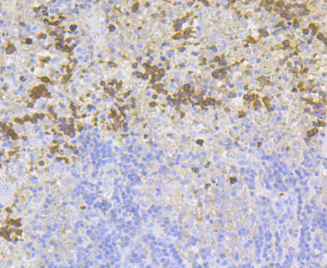
Immunohistochemical analysis of paraffin-embedded mouse spleen tissue using anti-Carbonic Anhydrase I antibody. Counter stained with hematoxylin.
风险提示:丁香通仅作为第三方平台,为商家信息发布提供平台空间。用户咨询产品时请注意保护个人信息及财产安全,合理判断,谨慎选购商品,商家和用户对交易行为负责。对于医疗器械类产品,请先查证核实企业经营资质和医疗器械产品注册证情况。
技术资料暂无技术资料 索取技术资料


![Carbonic Anhydrase I Rabbit mAb[49945]](https://img1.dxycdn.com/p/s14/2025/0923/278/4431488150116040791.jpg)


![E2F8 Antibody[43312]](https://img1.dxycdn.com/p/s14/2025/0922/568/0046652811090600791.jpg!wh200)
![B Raf Rabbit mAb[48824]](https://img1.dxycdn.com/p/s14/2025/0923/496/0462304380155040791.jpg!wh200)
![TRIP6 Mouse mAb[64362]](https://img1.dxycdn.com/p/s14/2025/0922/632/2321321568067599691.jpg!wh200)
![Phospho-FAK (Tyr576) Polyclonal Antibody Biotin Conjugated[C90919Bio]](https://img1.dxycdn.com/p/s14/2025/0922/498/0460884283108299691.jpg!wh200)
