相关产品推荐更多 >
万千商家帮你免费找货
0 人在求购买到急需产品
- 详细信息
- 文献和实验
- 技术资料
- 免疫原:
Recombinant protein within human H Cadherin aa 1-200.
- 形态:
liquid
- 保存条件:
Store at -20˚C
- 克隆性:
Monoclonal antibody
- 适应物种:
Human;Mouse;Rat
- 保质期:
12 months
- 抗原来源:
Recombinant Rabbit
- 供应商:
南京赛戈巍生物科技有限公司
- 宿主:
Recombinant Rabbit
- 应用范围:
IHC,WB
- 靶点:
Uniprot:P55290
- 抗体英文名:
H Cadherin Rabbit mAb
- 规格:
50ul/100ul
Cadherin-13 antibody
CDH13 antibody
CDHH antibody
H-cadherin antibody
Heart cadherin antibody
P105 antibody
T cad antibody
T Cadherin antibody
T-cad antibody
T-cadherin antibody
Truncated cadherin antibody
计算分子量:78 kDa
配方:1*TBS (pH7.4), 1%BSA, 40%Glycerol. Preservative: 0.05% Sodium Azide.
应用详情:
IHC: 1:50-1:200
图片:

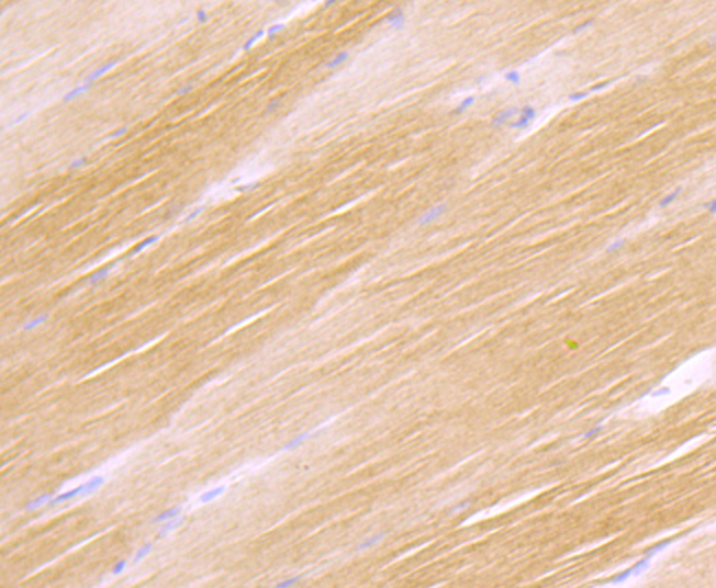
Immunohistochemical analysis of paraffin-embedded rat skeletal muscle tissue using anti-H Cadherin antibody. Counter stained with hematoxylin.
,

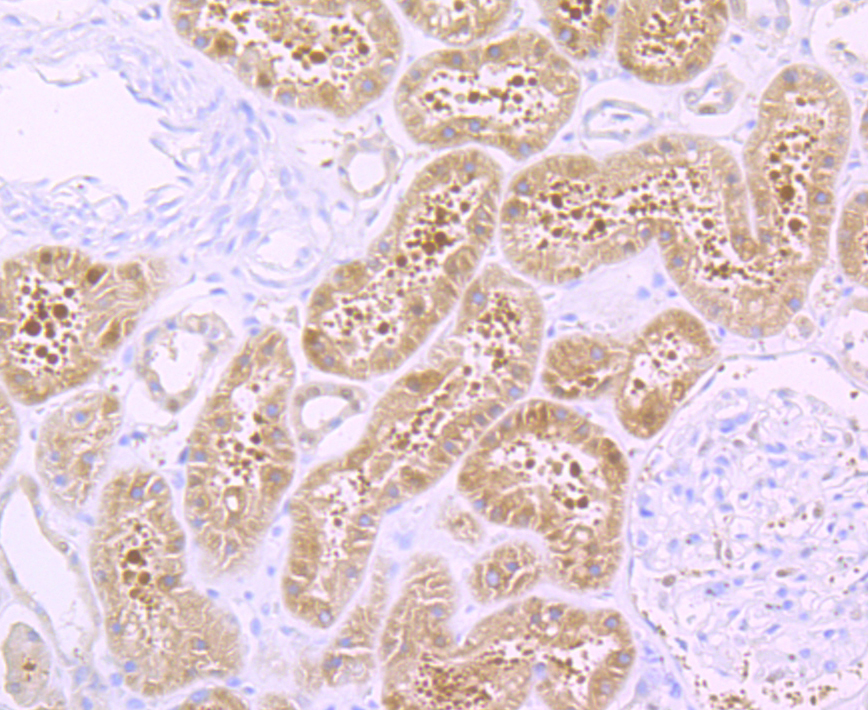
Immunohistochemical analysis of paraffin-embedded human kidney tissue using anti-H Cadherin antibody. Counter stained with hematoxylin.
,

Immunohistochemical analysis of paraffin-embedded human fetal skeletal muscle tissue using anti-H Cadherin antibody. Counter stained with hematoxylin.
,

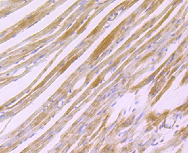
Immunohistochemical analysis of paraffin-embedded mouse heart tissue using anti-H Cadherin antibody. Counter stained with hematoxylin.
风险提示:丁香通仅作为第三方平台,为商家信息发布提供平台空间。用户咨询产品时请注意保护个人信息及财产安全,合理判断,谨慎选购商品,商家和用户对交易行为负责。对于医疗器械类产品,请先查证核实企业经营资质和医疗器械产品注册证情况。
文献和实验Cadherin-Mediated Cell-Cell Interactions
Cadherin-12 Human T-Cadherin a (H-cadherin, cadherin-13) Human, chicken Nerve, neural crest cells, retina
Although the rabbit is used extensively in developmental toxicity testing, relatively little is known about the fundamental developmental biology of this species let alone mechanisms underlying developmental toxicity. This paucity
In Vitro Translation of mRNA in a Rabbit Reticulocyte Lysate Cell-Free System
cells (2 ), Krebs II ascites tumor cells (2 ), mouse L cells (2 ), rat and mouse liver cells (3 ), Chinese hamster ovary (CHO) cells (2 ), and rabbit reticulocyte lysates (2 ,4 ), in addition to those of rye embryo (5 ) and wheat germ
技术资料暂无技术资料 索取技术资料





![TNNI2 Rabbit mAb[56516]](https://img1.dxycdn.com/p/s14/2025/0922/632/2321321568067599691.jpg!wh200)
![Rabbit Anti-Horse IgG (H&L) - AF405[L35159]](https://img1.dxycdn.com/p/s14/2025/0922/498/0460884283108299691.jpg!wh200)
![IL2RB Antibody[36318]](https://img1.dxycdn.com/p/s14/2025/0922/359/6146153295428599691.jpg!wh200)
![Hrs Polyclonal Conjugated Antibody[C41035]](https://img1.dxycdn.com/p/s14/2025/0923/278/4431488150116040791.jpg!wh200)
