相关产品推荐更多 >
万千商家帮你免费找货
0 人在求购买到急需产品
- 详细信息
- 技术资料
- 免疫原:
KLH conjugated synthetic peptide derived from human DRD2
- 形态:
liquid
- 保存条件:
Store at -20˚C
- 克隆性:
Polyclonal
- 适应物种:
Human;Mouse;Rat
- 保质期:
12 months
- 抗原来源:
Rabbit
- 供应商:
南京赛戈巍生物科技有限公司
- 宿主:
Rabbit
- 应用范围:
WB;IHC;IF;FC;ELISA
- 靶点:
Uniprot:P14416
- 抗体英文名:
Rabbit Anti-DRD2 antibody
- 规格:
50ul/100ul
配方:0.01M TBS(pH7.4) with 1% BSA, 0.03% Proclin300 and 50% Glycerol.
应用详情:
图片:
应用详情:
WB=1:500-2000, IHC-P=1:100-500,
IHC-F=1:100-500, IF=1:100-500,
Flow-Cyt=2ug/Test, ELISA=1:5000-10000
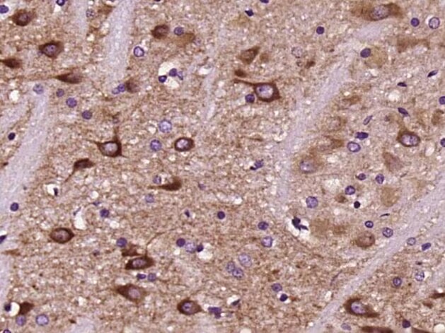
图片:

Western blot analysis of U-251MG using Anti-DRD2 Antibody
,

Immunohistochemical analysis of paraffin embedded (Human glioma) using Anti-DRD2 Antibody
,

Immunohistochemical analysis of paraffin embedded (Rat brain) using Anti-DRD2 Antibody
风险提示:丁香通仅作为第三方平台,为商家信息发布提供平台空间。用户咨询产品时请注意保护个人信息及财产安全,合理判断,谨慎选购商品,商家和用户对交易行为负责。对于医疗器械类产品,请先查证核实企业经营资质和医疗器械产品注册证情况。
技术资料暂无技术资料 索取技术资料
Rabbit Anti-DRD2 antibody[49500]
询价


![Rabbit Anti-DRD2 antibody[49500]](https://img1.dxycdn.com/p/s14/2025/0922/632/2321321568067599691.jpg)


![BACE1 Conjugated Antibody[C56173]](https://img1.dxycdn.com/p/s14/2025/0922/632/2321321568067599691.jpg!wh200)
![Cystatin C Mouse Monoclonal Antibody(5F1)[44157]](https://img1.dxycdn.com/p/s14/2025/0922/568/0046652811090600791.jpg!wh200)
![TSPAN27 Conjugated Antibody[C32431]](https://img1.dxycdn.com/p/s14/2025/0923/278/4431488150116040791.jpg!wh200)
