相关产品推荐更多 >
万千商家帮你免费找货
0 人在求购买到急需产品
- 详细信息
- 技术资料
- 免疫原:
recombinant protein
- 形态:
liquid
- 保存条件:
Store at -20˚C
- 克隆性:
Monoclonal
- 适应物种:
Human;Mouse;Rat
- 保质期:
12 months
- 抗原来源:
Recombinant Rabbit
- 供应商:
南京赛戈巍生物科技有限公司
- 宿主:
Recombinant Rabbit
- 应用范围:
WB,ICC/IF, FC
- 靶点:
Uniprot:P01579
- 抗体英文名:
Interferon gamma Rabbit mAb
- 规格:
50ul/100ul
IFI antibody
IFN gamma antibody
IFN, immune antibody
IFN-gamma antibody
IFNG antibody
IFNG_HUMAN antibody
Immune interferon antibody
Interferon gamma antibody
计算分子量:19 kDa
配方:1*TBS (pH7.4), 1%BSA, 40%Glycerol. Preservative: 0.05% Sodium Azide.
应用详情:
WB: 1:500-1:1,000
IHC: 1:50-1:100
FC: 1:50-1:100
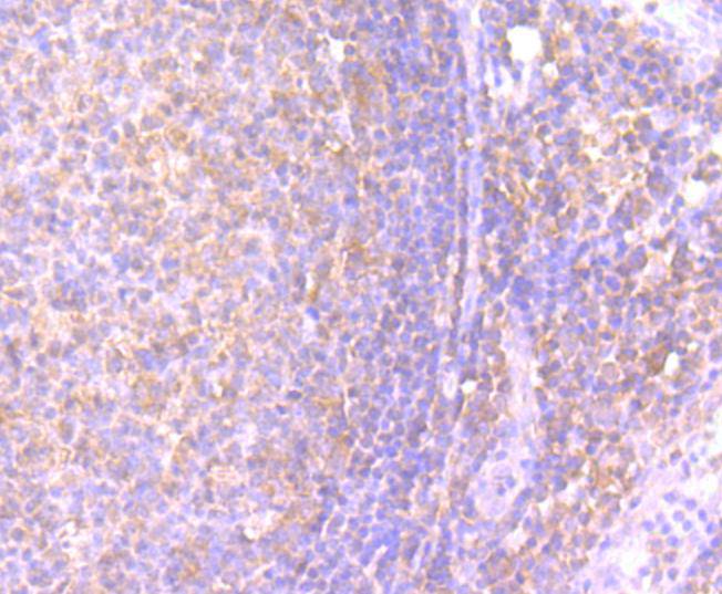
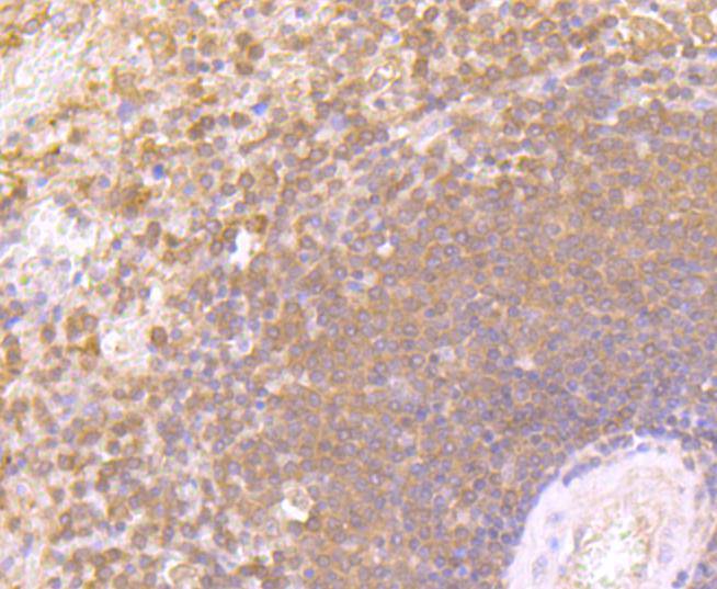
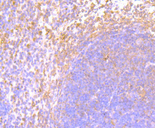
图片:

Immunohistochemical analysis of paraffin-embedded human tonsil tissue using anti-Interferon gamma antibody. Counter stained with hematoxylin.
,

Immunohistochemical analysis of paraffin-embedded human spleen tissue using anti-Interferon gamma antibody. Counter stained with hematoxylin.
,

Immunohistochemical analysis of paraffin-embedded mouse spleen tissue using anti-Interferon gamma antibody. Counter stained with hematoxylin.
,

Flow cytometric analysis of Hela cells with Interferon gamma antibody at 1/50 dilution (red) compared with an unlabelled control (cells without incubation with primary antibody; black). Alexa Fluor 488-conjugated goat anti rabbit IgG was used as the secondary antibody.
风险提示:丁香通仅作为第三方平台,为商家信息发布提供平台空间。用户咨询产品时请注意保护个人信息及财产安全,合理判断,谨慎选购商品,商家和用户对交易行为负责。对于医疗器械类产品,请先查证核实企业经营资质和医疗器械产品注册证情况。
技术资料暂无技术资料 索取技术资料


![Interferon gamma Rabbit mAb[49430]](https://img1.dxycdn.com/p/s14/2025/0923/496/0462304380155040791.jpg)


![Cerebellar degeneration-related protein 2 Polyclonal Antibody[42117]](https://img1.dxycdn.com/p/s14/2025/0922/568/0046652811090600791.jpg!wh200)
![SHARPIN Conjugated Antibody[C27658]](https://img1.dxycdn.com/p/s14/2025/0923/305/2150219664296040791.jpg!wh200)
![P2RY4 Mouse mAb[64043]](https://img1.dxycdn.com/p/s14/2025/0922/632/2321321568067599691.jpg!wh200)
![CD40/TNFRSF5 Polyclonal Antibody PE-Cy7 Conjugated[C91854PE-Cy7]](https://img1.dxycdn.com/p/s14/2025/0922/498/0460884283108299691.jpg!wh200)
