相关产品推荐更多 >
万千商家帮你免费找货
0 人在求购买到急需产品
- 详细信息
- 文献和实验
- 技术资料
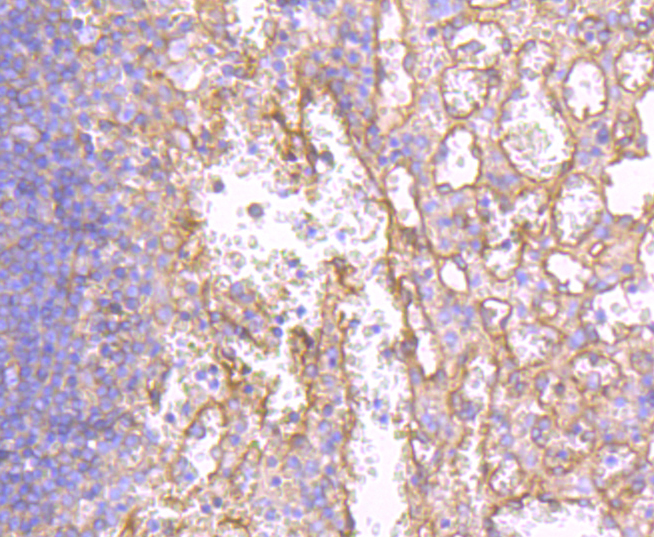
- 抗体名:
MHC class I Rabbit mAb
- 抗体英文名:
MHC class I Rabbit mAb
- 应用范围:
WB, ICC/IF, IHC, FC
- 宿主:
Recombinant Rabbit
- 适应物种:
Human
- 抗原来源:
Recombinant Rabbit
- 供应商:
南京赛戈巍生物科技有限公司
- 保存条件:
Store at -20°C
- 免疫原:
recombinant protein
purification
ProA affinity purified
applications
WB, ICC/IF, IHC, FC
appl_detail
WB: 1:1,000-5,000
IHC: 1:50-1:200
ICC: 1:100-1:500
FC: 1:50-1:100
other_names
A 28 antibody
A 9 antibody
Antigen presenting molecule antibody
Aw 24 antibody
Aw 68 antibody
CLASS I HISTOCOMPATIBILITY ANTIGEN antibody
H2 K1 antibody
H2K antibody
HLA A antibody
HLA class I histocompatibility antigen A 1 alpha chain antibody
HLA class I histocompatibility antigen A 11 alpha chain antibody
HLA class I histocompatibility antigen A 2 alpha chain antibody
HLA class I histocompatibility antigen A 24 alpha chain antibody
HLA class I histocompatibility antigen A 3 alpha chain antibody
HLA class I histocompatibility antigen A 30 alpha chain antibody
HLA class I histocompatibility antigen A 32 alpha chain antibody
HLA class I histocompatibility antigen A 68 alpha chain antibody
HLAA antibody
Leukocyte antigen class I A antibody
Major histocompatibility complex class I A antibody
MHC class I antigen A 1 antibody
MHC class I antigen A*11 antibody
MHC class I antigen A*2 antibody
MHC class I antigen A*24 antibody
MHC class I antigen A*3 antibody
MHC class I antigen A*30 antibody
MHC class I antigen A*32 antibody
MHC class I antigen A*68 antibody
MHC class I antigen HLA A heavy chain antibody
MHC class I heavy chain H2 K antibody
calculated_mw
41 kDa
formulation
1*TBS (pH7.4), 1%BSA, 40%Glycerol. Preservative: 0.05% Sodium Azide.
uniprot
P30443
风险提示:丁香通仅作为第三方平台,为商家信息发布提供平台空间。用户咨询产品时请注意保护个人信息及财产安全,合理判断,谨慎选购商品,商家和用户对交易行为负责。对于医疗器械类产品,请先查证核实企业经营资质和医疗器械产品注册证情况。
文献和实验Identification of MHC Class II Binding Peptides: Microarray and Soluble MHC Class II Molecules
antibody (mAb). Positive events (MHC class II/peptide complexes) are normalized and available for pattern analysis.
Evaluation of Immunogenicity of Rat ES-Cell Derived Endothelial Cells
. The RESC can be characterized by their constitutive or cytokine-induced expression level of the Major Histocompatibility Complex (MHC) antigens class I and class II by Fluorescence Activated Cell Sorter (FACS) technology. Moreover, regulation
【申请上传】Current Protocols in Immunology
to Visualize Antigen-Specific T Cells Chapter 18 Ligand-Receptor Interactions in the Immune System Introduction Unit 18.1 Binding of Biotinylated Peptides to MHC Class II Proteins on Cell Surfaces Unit 18.2 Detection of Low-Affinity Ligand-Receptor
技术资料暂无技术资料 索取技术资料









