相关产品推荐更多 >
万千商家帮你免费找货
0 人在求购买到急需产品
- 详细信息
- 文献和实验
- 技术资料
- 免疫原:
recombinant protein
- 形态:
liquid
- 保存条件:
Store at -20˚C
- 克隆性:
Monoclonal antibody
- 适应物种:
Human;Mouse
- 保质期:
12 months
- 抗原来源:
Recombinant Rabbit
- 供应商:
南京赛戈巍生物科技有限公司
- 宿主:
Recombinant Rabbit
- 应用范围:
WB, ICC, IHC
- 靶点:
Uniprot:O15205
- 抗体英文名:
Ubiquitin D Rabbit mAb
- 规格:
50ul/100ul
FAT10 antibody
GABBR1 antibody
UBD 3 antibody
Ubd antibody
UBD_HUMAN antibody
Ubiquitin D antibody
Ubiquitin like protein FAT10 antibody
Ubiquitin-like protein FAT10 antibody
计算分子量:18 kDa
配方:1*TBS (pH7.4), 1%BSA, 40%Glycerol. Preservative: 0.05% Sodium Azide.
应用详情:WB: 1:1,000-1:2,000
IHC: 1:50-1:200
ICC: 1:100-1:500
图片:

Western blot analysis of Ubiquitin D on Hela cells lysates using anti-Ubiquitin D antibody at 1/1,000 dilution.
,

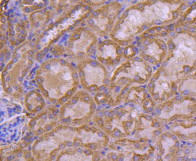
Immunohistochemical analysis of paraffin-embedded mouse kidney tissue using anti-Ubiquitin D antibody. Counter stained with hematoxylin.
,

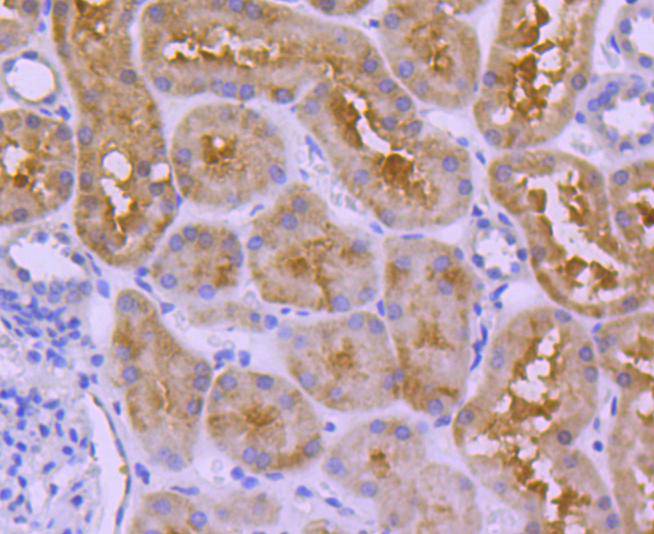
Immunohistochemical analysis of paraffin-embedded human kidney tissue using anti-Ubiquitin D antibody. Counter stained with hematoxylin.
,

ICC staining Ubiquitin D in Hela cells (green). The nuclear counter stain is DAPI (blue). Cells were fixed in paraformaldehyde, permeabilised with 0.25% Triton X100/PBS.
,

ICC staining Ubiquitin D in F9 cells (green). The nuclear counter stain is DAPI (blue). Cells were fixed in paraformaldehyde, permeabilised with 0.25% Triton X100/PBS.
,

ICC staining Ubiquitin D in HepG2 cells (green). The nuclear counter stain is DAPI (blue). Cells were fixed in paraformaldehyde, permeabilised with 0.25% Triton X100/PBS.
风险提示:丁香通仅作为第三方平台,为商家信息发布提供平台空间。用户咨询产品时请注意保护个人信息及财产安全,合理判断,谨慎选购商品,商家和用户对交易行为负责。对于医疗器械类产品,请先查证核实企业经营资质和医疗器械产品注册证情况。
文献和实验Studies of the Ubiquitin Proteasome System
Assays of E1 and E2 Activity Basic Protocol 1: Thiolester Formation Between Rabbit E1 and Ubiquitin Basic Protocol 2: Thiolester Formation Between E2 and Ubiquitin Binding of Ubiquitin‐Proteasome Proteins Basic Protocol 3: Binding of E2s to E3s Alternate
Methods for the Detection of D-Amino-Acid Oxidase
then twice for 5 min. It was incubated for 1 hr in TBS-T containing rabbit anti-hog D-amino-acid oxidase IgG (1/3,000 dilution) and quickly rinsed twice with TBS-T and further washed in TBS-T once for 15 min then twice for 5 min. The membrane was incubated
组织化学分析。(图 C)使用Anti-Erk1/2 Mouse mAb 鼠单抗进行目的蛋白检测;(图 D) 使用p44/42 MAPK (Erk1/2)Rabbit mAb 兔单抗进行目的蛋白检测。 图 7 免疫组化实验检测Akt表达 注:使用 Anti-Akt (pan) Rabbit mAb 对正常小鼠肝组织进行免疫组织化学分析。(图 E)使用免疫组化试剂盒 M&R HRP/DAB Detection IHC Kit,抗体1:100 稀释;(图F)使用另一种试剂盒,抗体 1:100 稀释。
技术资料暂无技术资料 索取技术资料





![Cytochrome b245 Light Chain Polyclonal Antibody PE Conjugated[C92072PE]](https://img1.dxycdn.com/p/s14/2025/0922/498/0460884283108299691.jpg!wh200)
![SPRY2 Polyclonal Antibody[30395]](https://img1.dxycdn.com/p/s14/2025/0923/305/2150219664296040791.jpg!wh200)
![IRF4 Rabbit mAb[56774]](https://img1.dxycdn.com/p/s14/2025/0922/632/2321321568067599691.jpg!wh200)

