相关产品推荐更多 >
万千商家帮你免费找货
0 人在求购买到急需产品
- 详细信息
- 文献和实验
- 技术资料
- 免疫原:
recombinant protein
- 形态:
liquid
- 保存条件:
Store at -20˚C
- 克隆性:
Monoclonal antibody
- 适应物种:
Human;Mouse;Rat
- 保质期:
12 months
- 抗原来源:
Recombinant Rabbit
- 供应商:
南京赛戈巍生物科技有限公司
- 宿主:
Recombinant Rabbit
- 应用范围:
WB, ICC/IF, IHC, IP, FC
- 靶点:
Uniprot:P49407
- 抗体英文名:
beta Arrestin 1 Rabbit mAb
- 规格:
50ul/100ul
ARR1 antibody
ARRB1 antibody
ARRB1_HUMAN antibody
Arrestin 2 antibody
Arrestin beta 1 antibody
Arrestin beta-1 antibody
Beta-arrestin-1 antibody
计算分子量:50 kDa
配方:1*TBS (pH7.4), 1%BSA, 40%Glycerol. Preservative: 0.05% Sodium Azide.
应用详情:WB: 1:1,000-1:2,000
IHC: 1:50-1:100
ICC: 1:50-1:200
FC: 1:50-1:100
图片:

Western blot analysis of beta Arrestin 1 on different lysates using anti-beta Arrestin 1 antibody at 1/1,000 dilution. Positive control:
Lane 1: PC12
Lane 2: Jurkat
,

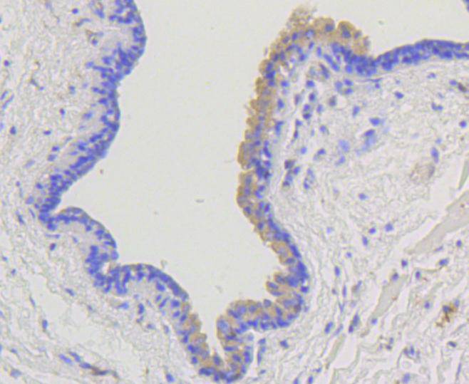
Immunohistochemical analysis of paraffin-embedded human lung tissue using anti-beta Arrestin 1 antibody. Counter stained with hematoxylin.
,

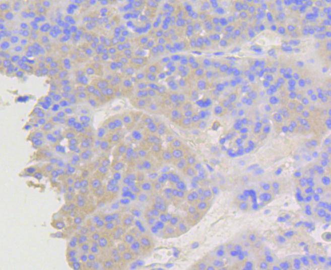
Immunohistochemical analysis of paraffin-embedded human liver cancer tissue using anti-beta Arrestin 1 antibody. Counter stained with hematoxylin.
,

Immunohistochemical analysis of paraffin-embedded human breast carcinoma tissue using anti-beta Arrestin 1 antibody. Counter stained with hematoxylin.
,

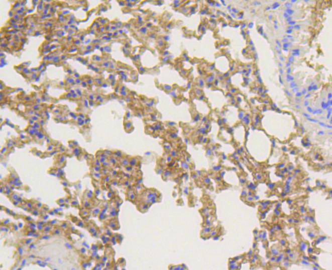
Immunohistochemical analysis of paraffin-embedded mouse lung tissue using anti-beta Arrestin 1 antibody. Counter stained with hematoxylin.
,

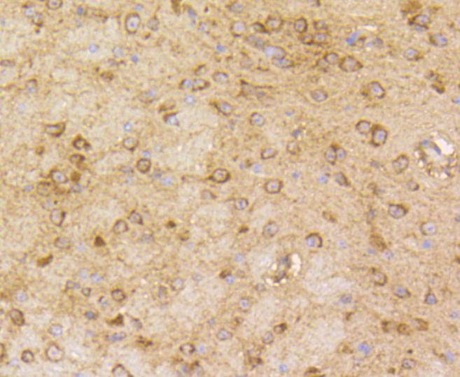
Immunohistochemical analysis of paraffin-embedded mouse brain tissue using anti-beta Arrestin 1 antibody. Counter stained with hematoxylin.
,

ICC staining beta Arrestin 1 in Hela cells (green). The nuclear counter stain is DAPI (blue). Cells were fixed in paraformaldehyde, permeabilised with 0.25% Triton X100/PBS.
,

ICC staining beta Arrestin 1 in A549 cells (green). The nuclear counter stain is DAPI (blue). Cells were fixed in paraformaldehyde, permeabilised with 0.25% Triton X100/PBS.
,

ICC staining beta Arrestin 1 in PC12 cells (green). The nuclear counter stain is DAPI (blue). Cells were fixed in paraformaldehyde, permeabilised with 0.25% Triton X100/PBS.
,

Flow cytometric analysis of Hela cells with beta Arrestin 1 antibody at 1/50 dilution (blue) compared with an unlabelled control (cells without incubation with primary antibody; red). Alexa Fluor 488-conjugated goat anti rabbit IgG was used as the secondary antibody.
风险提示:丁香通仅作为第三方平台,为商家信息发布提供平台空间。用户咨询产品时请注意保护个人信息及财产安全,合理判断,谨慎选购商品,商家和用户对交易行为负责。对于医疗器械类产品,请先查证核实企业经营资质和医疗器械产品注册证情况。
文献和实验祝贺〖雅裕睿安〗成为Signalway Antibody(SAB)独家
ul; 货号21617,产品描述:Tubulin beta-III Antibody;规格 50 ul / 100 ul; 货号21612,产品描述:GAPDH Antibody;规格 50 ul / 100 ul; 货号21335,产品描述:β-Tubulin mouse mAb;规格 50 ul / 100 ul; 货号21336,产品描述:GAPDH mouse
技术资料暂无技术资料 索取技术资料





![MTHFS Antibody[47363]](https://img1.dxycdn.com/p/s14/2025/0923/496/0462304380155040791.jpg!wh200)
![METTL3 Conjugated Antibody[C56489]](https://img1.dxycdn.com/p/s14/2025/0922/632/2321321568067599691.jpg!wh200)
![OTUB2 Antibody[36671]](https://img1.dxycdn.com/p/s14/2025/0922/359/6146153295428599691.jpg!wh200)
