相关产品推荐更多 >
万千商家帮你免费找货
0 人在求购买到急需产品
- 详细信息
- 文献和实验
- 技术资料
- 免疫原:
recombinant protein
- 形态:
liquid
- 保存条件:
Store at -20˚C
- 克隆性:
Monoclonal antibody
- 适应物种:
Human
- 保质期:
12 months
- 抗原来源:
Recombinant Rabbit
- 供应商:
南京赛戈巍生物科技有限公司
- 宿主:
Recombinant Rabbit
- 应用范围:
WB, ICC/IF, IHC, FC
- 靶点:
Uniprot:P10275
- 抗体英文名:
Androgen receptor Rabbit mAb
- 规格:
50ul/100ul
ANDR_HUMAN antibody
Androgen nuclear receptor variant 2 antibody
Androgen receptor (dihydrotestosterone receptor; testicular feminization; spinal and bulbar muscular atrophy; Kennedy disease) antibody
Androgen receptor antibody
androgen receptor splice variant 4b antibody
AR antibody
AR8 antibody
DHTR antibody
Dihydro testosterone receptor antibody
Dihydrotestosterone receptor (DHTR) antibody
Dihydrotestosterone receptor antibody
HUMARA antibody
HYSP1 antibody
KD antibody
Kennedy disease (KD) antibody
NR3C4 antibody
Nuclear receptor subfamily 3 group C member 4 (NR3C4) antibody
Nuclear receptor subfamily 3 group C member 4 antibody
SBMA antibody
SMAX1 antibody
Spinal and bulbar muscular atrophy (SBMA) antibody
Spinal and bulbar muscular atrophy antibody
Testicular Feminization (TFM) antibody
TFM antibody
计算分子量:99 kDa
配方:1*TBS (pH7.4), 1%BSA, 40%Glycerol. Preservative: 0.05% Sodium Azide.
应用详情:WB: 1:500-1:1000
IHC: 1:50-1:100
ICC: 1:50-1:200
图片:

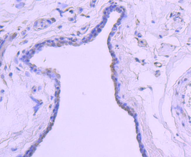
Immunohistochemical analysis of paraffin-embedded human breast carcinoma tissue using anti-Androgen receptor antibody. Counter stained with hematoxylin.
,

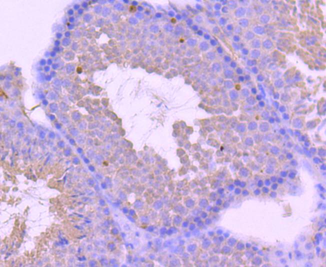
Immunohistochemical analysis of paraffin-embedded mouse testis tissue using anti-Androgen receptor antibody. Counter stained with hematoxylin.
,

ICC staining Androgen receptor in PC-3M cells (green). The nuclear counter stain is DAPI (blue). Cells were fixed in paraformaldehyde, permeabilised with 0.25% Triton X100/PBS.
,

ICC staining Androgen receptor in N2A cells (green). The nuclear counter stain is DAPI (blue). Cells were fixed in paraformaldehyde, permeabilised with 0.25% Triton X100/PBS.
,

ICC staining Androgen receptor in MCF-7 cells (green). The nuclear counter stain is DAPI (blue). Cells were fixed in paraformaldehyde, permeabilised with 0.25% Triton X100/PBS.
,

Flow cytometric analysis of MCF-7 cells with Androgen receptor antibody at 1/50 dilution (red) compared with an unlabelled control (cells without incubation with primary antibody; black). Alexa Fluor 488-conjugated goat anti rabbit IgG was used as the secondary antibody
风险提示:丁香通仅作为第三方平台,为商家信息发布提供平台空间。用户咨询产品时请注意保护个人信息及财产安全,合理判断,谨慎选购商品,商家和用户对交易行为负责。对于医疗器械类产品,请先查证核实企业经营资质和医疗器械产品注册证情况。
文献和实验Analysis of Androgen Receptor SUMOylation
Androgen receptor (AR) is a ligand-controlled transcription factor that is deregulated and therefore targeted in prostate cancer. In addition to androgens, AR is regulated by post-translational modifications (PTMs). SUMOylation, conjugation
In Vitro and In Vivo Silencing of the Androgen Receptor
The androgen receptor (AR) plays a pivotal role in the progression of prostate cancer from the androgen-dependent to the castration-resistant state, making it a potential target for therapy. In this chapter, we describe the preparation
Analysis of Interdomain Interactions of the Androgen Receptor
High-affinity binding of testosterone or dihydrotestosterone to the androgen receptor (AR) triggers the androgen-dependent AR NH2 - and carboxyl-terminal (N/C) interaction between the AR NH2 -terminal FXX LF motif and the activation function
技术资料暂无技术资料 索取技术资料






![Bax Mouse Monoclonal Antibody(1C1)[44150]](https://img1.dxycdn.com/p/s14/2025/0922/568/0046652811090600791.jpg!wh200)
![AKT Rabbit mAb[52129]](https://img1.dxycdn.com/p/s14/2025/0922/498/0460884283108299691.jpg!wh200)
![CASP8AP2 Conjugated Antibody[C37574]](https://img1.dxycdn.com/p/s14/2025/0923/278/4431488150116040791.jpg!wh200)
