相关产品推荐更多 >
万千商家帮你免费找货
0 人在求购买到急需产品
- 详细信息
- 文献和实验
- 技术资料
- 免疫原:
recombinant protein
- 形态:
liquid
- 保存条件:
Store at -20˚C
- 克隆性:
Monoclonal
- 适应物种:
Human;Mouse;Rat;Zebrafish
- 保质期:
12 months
- 抗原来源:
Recombinant Rabbit
- 供应商:
南京赛戈巍生物科技有限公司
- 宿主:
Recombinant Rabbit
- 应用范围:
WB, ICC/IF, IHC, IP, FC
- 靶点:
Uniprot:P00338
- 抗体英文名:
Lactate Dehydrogenase Rabbit mAb
- 规格:
50ul/100ul
GSD11 antibody
L lactate dehydrogenase B chain antibody
L-lactate dehydrogenase A chain antibody
Lactate dehydrogenase A antibody
Lactate dehydrogenase B antibody
Lactate dehydrogenase H chain antibody
Lactate dehydrogenase M antibody
LDH A antibody
LDH B antibody
LDH H antibody
LDH heart subunit antibody
LDH M antibody
LDH muscle subunit antibody
LDH-A antibody
LDH-M antibody
LDH1 antibody
ldha antibody
LDHA_HUMAN antibody
LDHBD antibody
LDHM antibody
MS1111 antibody
PIG19 antibody
Proliferation inducing gene 19 antibody
Renal carcinoma antigen NY REN 46 antibody
Renal carcinoma antigen NY-REN-59 antibody
TRG 5 antibody
TRG5 antibody
计算分子量:37 kDa
配方:1*TBS (pH7.4), 1%BSA, 40%Glycerol. Preservative: 0.05% Sodium Azide.
应用详情:
WB: 1:1,000-5,000
IHC: 1:200-1:500
ICC: 1:50-1:200
FC: 1:50-1:100
图片:

Western blot analysis of Lactate Dehydrogenase on different lysates using anti-Lactate Dehydrogenase antibody at 1/1,000 dilution. Positive control:
Lane 1: Hela
Lane 2: A549
Lane 3: MCF-7
,

Western blot analysis of Lactate Dehydrogenase on hybrid fish (crucian-carp) brain tissue lysate using anti-Lactate Dehydrogenase antibody at 1/500 dilution.
,

Immunohistochemical analysis of paraffin-embedded human liver tissue using anti-Lactate Dehydrogenase antibody. Counter stained with hematoxylin.
,

Immunohistochemical analysis of paraffin-embedded human breast carcinoma tissue using anti-Lactate Dehydrogenase antibody. Counter stained with hematoxylin.
,

Immunohistochemical analysis of paraffin-embedded mouse liver tissue using anti-Lactate Dehydrogenase antibody. Counter stained with hematoxylin.
,

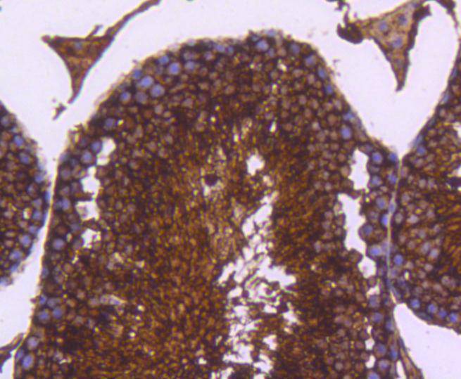
Immunohistochemical analysis of paraffin-embedded mouse testis tissue using anti-Lactate Dehydrogenase antibody. Counter stained with hematoxylin.
,

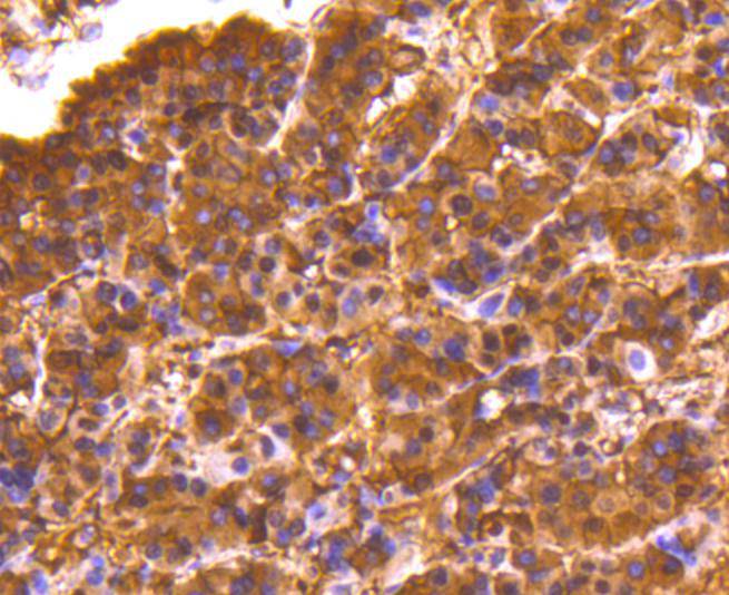
Immunohistochemical analysis of paraffin-embedded human liver cancer tissue using anti-Lactate Dehydrogenase antibody. Counter stained with hematoxylin.
,

Immunohistochemical analysis of paraffin-embedded mouse skeletal muscle tissue using anti-Lactate Dehydrogenase antibody. Counter stained with hematoxylin.
,

ICC staining Lactate Dehydrogenase in A549 cells (green). The nuclear counter stain is DAPI (blue). Cells were fixed in paraformaldehyde, permeabilised with 0.25% Triton X100/PBS.
,

ICC staining Lactate Dehydrogenase in A431 cells (green). The nuclear counter stain is DAPI (blue). Cells were fixed in paraformaldehyde, permeabilised with 0.25% Triton X100/PBS.
,

Flow cytometric analysis of Hela cells with Lactate Dehydrogenase antibody at 1/50 dilution (red) compared with an unlabelled control (cells without incubation with primary antibody; black).
风险提示:丁香通仅作为第三方平台,为商家信息发布提供平台空间。用户咨询产品时请注意保护个人信息及财产安全,合理判断,谨慎选购商品,商家和用户对交易行为负责。对于医疗器械类产品,请先查证核实企业经营资质和医疗器械产品注册证情况。
文献和实验Lactate Dehydrogenase Assay for Assessment of Polycation Cytotoxicity
polycations for nucleic acid delivery. A single toxicity assay cannot stand alone in determining the type and extent of damage or cell death mechanism. In this chapter we describe a lactate dehydrogenase (LDH) assay for high-throughput screening
Detection of Necrosis by Release of Lactate Dehydrogenase Activity
for necrotic cells is the permeabilization of the plasma membrane. This event can be quantified in tissue culture settings by measuring the release of the intracellular enzyme lactate dehydrogenase (LDH). When combined with other methods, measuring LDH release
Detection of Pyroptosis by Measuring Released Lactate Dehydrogenase Activity
integrity and lyse, releasing lactate dehydrogenase (LDH) that is normally maintained within the cell cytosol. Thus, pyroptosis is distinct from apoptosis, which results in cellular contents being enclosed within membrane blebs during cellular demise. LDH
技术资料暂无技术资料 索取技术资料





![ZFP64 Antibody[47482]](https://img1.dxycdn.com/p/s14/2025/0923/496/0462304380155040791.jpg!wh200)
![UBE4A Conjugated Antibody[C56944]](https://img1.dxycdn.com/p/s14/2025/0922/632/2321321568067599691.jpg!wh200)
![GRTP1 Antibody[34710]](https://img1.dxycdn.com/p/s14/2025/0922/359/6146153295428599691.jpg!wh200)

