相关产品推荐更多 >
万千商家帮你免费找货
0 人在求购买到急需产品
- 详细信息
- 文献和实验
- 技术资料
- 免疫原:
peptide
- 形态:
liquid
- 保存条件:
Store at -20˚C
- 适应物种:
Human;Mouse
- 保质期:
12 months
- 供应商:
南京赛戈巍生物科技有限公司
- 应用范围:
WB, IHC, FC
- 靶点:
Uniprot:P05556
- 抗体英文名:
Integrin beta-1/CD29 Antibody
- 规格:
50ul/100ul
CD29 antibody
Fibronectin receptor subunit beta antibody
FNRB antibody
Glycoprotein IIa antibody
GP IIa antibody
GPIIA antibody
Integrin beta-1 antibody
integrin VLA-4 beta subunit antibody
Integrin, beta 1 (fibronectin receptor, beta polypeptide, antigen CD29 includes MDF2, MSK12) antibody
ITB1_HUMAN antibody
ITGB1 antibody
MDF2 antibody
MSK12 antibody
OTTHUMP00000019420 antibody
Very late activation protein, beta polypeptide antibody
VLA BETA antibody
VLA-4 subunit beta antibody
VLA-BETA antibody
VLAB antibody
VLAbeta antibody
计算分子量:100~140 kDa
配方:1*TBS (pH7.4), 1%BSA, 40%Glycerol. Preservative: 0.05% Sodium Azide.
应用详情:
WB: 1:500-1:1000
IHC: 1:200
FC: 1:100
图片:

Western blot analysis of CD29 on different cell lysates using anti-CD29 antibody at 1/1000 dilution. Positive control:
Lane 1: Human liver
Lane 2: Human kidney
Lane 3: NIH/3T3
Lane 4: A172
Lane 5: Hela
,

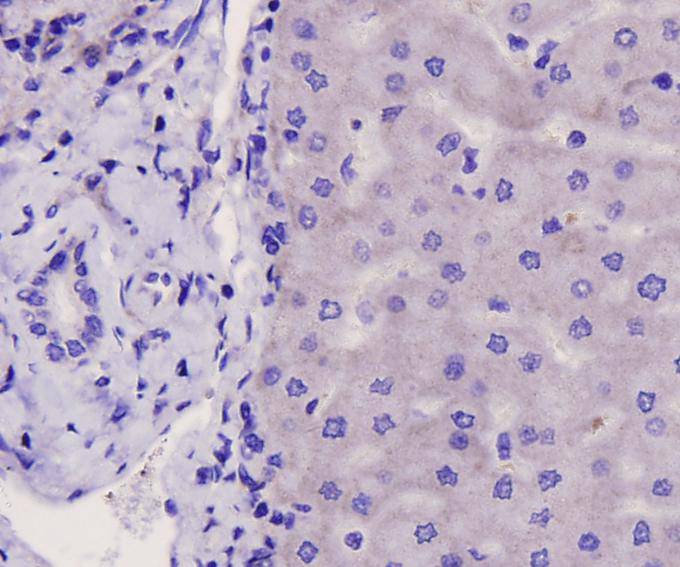
Immunohistochemical analysis of paraffin-embedded human liver carcinoma tissue using anti-CD29 antibody. Counter stained with hematoxylin.
,

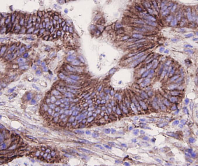
Immunohistochemical analysis of paraffin-embedded human colon carcinoma tissue using anti-CD29 antibody. Counter stained with hematoxylin.
,

Flow cytometric analysis of HepG2 cells with CD29 antibody at 1/100 dilution (blue) compared with an unlabelled control (cells without incubation with primary antibody; red). Goat anti rabbit IgG (FITC) was used as the secondary antibody.
风险提示:丁香通仅作为第三方平台,为商家信息发布提供平台空间。用户咨询产品时请注意保护个人信息及财产安全,合理判断,谨慎选购商品,商家和用户对交易行为负责。对于医疗器械类产品,请先查证核实企业经营资质和医疗器械产品注册证情况。
文献和实验spreading, we developed a method engaging integrin signaling by use of an immobilized anti-integrin monoclonal antibody (mab) directed against the fibronectin (FN) receptor integrin α5β1. ECV 304 cells were plated onto FN or immobilized mab JBS5 (anti
the opportunity to directly monitor new therapies. In this chapter, we describe a protocol to image, the in vivo distribution of the integrin β7 , expressed by lymphocytes recruited to and retained by the inflamed gut, using a radiolabeled whole antibody
for this purpose. Grow cells in 200 mls of YPD at 30oC to an OD 600 of 1. Add formaldehyde to the 200 ml culture to a final concentration of 3.7. Fix for 1 hour at room temperature with shaking. Centrifuge cells at 3000 X g. Resuspend
技术资料暂无技术资料 索取技术资料





![KLF3 Conjugated Antibody[C30846]](https://img1.dxycdn.com/p/s14/2025/0923/305/2150219664296040791.jpg!wh200)
![FAM3B Antibody[36462]](https://img1.dxycdn.com/p/s14/2025/0922/359/6146153295428599691.jpg!wh200)
![ARPP-21 Polyclonal Antibody[40614]](https://img1.dxycdn.com/p/s14/2025/0922/568/0046652811090600791.jpg!wh200)

