相关产品推荐更多 >
万千商家帮你免费找货
0 人在求购买到急需产品
- 详细信息
- 技术资料
- 免疫原:
peptide
- 形态:
liquid
- 保存条件:
Store at -20˚C
- 克隆性:
Polyclonal
- 适应物种:
Human;Mouse
- 保质期:
12 months
- 抗原来源:
Rabbit
- 供应商:
南京赛戈巍生物科技有限公司
- 宿主:
Rabbit
- 应用范围:
WB, IHC
- 靶点:
Uniprot:O75473
- 抗体英文名:
GPR49/LGR5 alpha/beta Antibody
- 规格:
50ul/100ul
别名:FEX antibody
G protein coupled receptor 49 antibody
G protein coupled receptor 67 antibody
g protein-coupled receptor fex antibody
G-protein coupled receptor 49 antibody
G-protein coupled receptor 67 antibody
G-protein coupled receptor HG38 antibody
GPR 49 antibody
GPR 67 antibody
GPR49 antibody
GPR67 antibody
GRP 49 antibody
GRP49 antibody
HG 38 antibody
HG38 antibody
Leucine rich repeat containing G protein coupled receptor 5 antibody
Leucine-rich repeat-containing G-protein coupled receptor 5 antibody
LGR 5 antibody
LGR5 antibody
LGR5_HUMAN antibody
MGC117008 antibody
Orphan G protein coupled receptor HG38 antibody
计算分子量:95 kDa
配方:1*TBS (pH7.4), 1%BSA, 40%Glycerol. Preservative: 0.05% Sodium Azide.
应用详情:WB: 1:1,000
IHC: 1:200
图片:
G protein coupled receptor 49 antibody
G protein coupled receptor 67 antibody
g protein-coupled receptor fex antibody
G-protein coupled receptor 49 antibody
G-protein coupled receptor 67 antibody
G-protein coupled receptor HG38 antibody
GPR 49 antibody
GPR 67 antibody
GPR49 antibody
GPR67 antibody
GRP 49 antibody
GRP49 antibody
HG 38 antibody
HG38 antibody
Leucine rich repeat containing G protein coupled receptor 5 antibody
Leucine-rich repeat-containing G-protein coupled receptor 5 antibody
LGR 5 antibody
LGR5 antibody
LGR5_HUMAN antibody
MGC117008 antibody
Orphan G protein coupled receptor HG38 antibody
计算分子量:95 kDa
配方:1*TBS (pH7.4), 1%BSA, 40%Glycerol. Preservative: 0.05% Sodium Azide.
应用详情:WB: 1:1,000
IHC: 1:200
图片:

Western blot analysis of LGR5 on different cell lysates using anti- VCP antibody at 1/1000 dilution.
Positive control: Lane 1: F9 Lane 2: Hela Lane 3: K562,

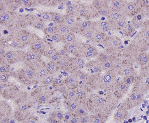
Immunohistochemical analysis of paraffin-embedded human liver tissue using anti-LGR5 antibody. Counter stained with hematoxylin.
,

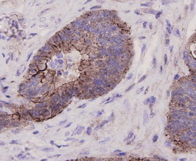
Immunohistochemical analysis of paraffin-embedded human colon cancer tissue using anti-LGR5 antibody. Counter stained with hematoxylin.
风险提示:丁香通仅作为第三方平台,为商家信息发布提供平台空间。用户咨询产品时请注意保护个人信息及财产安全,合理判断,谨慎选购商品,商家和用户对交易行为负责。对于医疗器械类产品,请先查证核实企业经营资质和医疗器械产品注册证情况。
技术资料暂无技术资料 索取技术资料
GPR49/LGR5 alpha/beta Antibody[48500]
询价


![GPR49/LGR5 alpha/beta Antibody[48500]](https://img1.dxycdn.com/p/s14/2025/0923/496/0462304380155040791.jpg)


![PAK1 Conjugated Antibody[C56291]](https://img1.dxycdn.com/p/s14/2025/0922/632/2321321568067599691.jpg!wh200)
![Claudin-1 Conjugated Antibody[C29226]](https://img1.dxycdn.com/p/s14/2025/0923/278/4431488150116040791.jpg!wh200)
![ABCB10 Rabbit Polyclonal Antibody[53718]](https://img1.dxycdn.com/p/s14/2025/0922/498/0460884283108299691.jpg!wh200)
