相关产品推荐更多 >
万千商家帮你免费找货
0 人在求购买到急需产品
- 详细信息
- 询价记录
- 文献和实验
- 技术资料
- 免疫原:
Recombinant fusion protein of human WDR61.
- 形态:
liquid
- 保存条件:
Store at -20˚C
- 克隆性:
Polyclonal
- 适应物种:
Human;Mouse;Rat
- 保质期:
12 months
- 抗原来源:
Rabbit
- 供应商:
南京赛戈巍生物科技有限公司
- 宿主:
Rabbit
- 应用范围:
WB;IHC
- 靶点:
Uniprot:Q9GZS3
- 抗体英文名:
Anti-WDR61 Antibody
- 规格:
50ul/100ul
配方:Liquid in 0.42% Potassium phosphate, 0.87% Sodium chloride, pH 7.3, 30% glycerol, and 0.01% sodium azide.
应用详情:
WB 1:500 - 1:2000
IHC 1:50 - 1:200
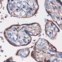
图片:

Western blot analysis of WDR61 expression in HeLa (A), mouse brain (B), mouse kidney (C), rat pancreas (D) whole cell lysates.
,

Immunohistochemical analysis of WDR61 staining in human placenta formalin fixed paraffin embedded tissue section. The section was pre-treated using heat mediated antigen retrieval with sodium citrate buffer (pH 6.0). The section was then incubated with the antibody at room temperature and detected using an HRP conjugated compact polymer system. DAB was used as the chromogen. The section was then counterstained with haematoxylin and mounted with DPX.
风险提示:丁香通仅作为第三方平台,为商家信息发布提供平台空间。用户咨询产品时请注意保护个人信息及财产安全,合理判断,谨慎选购商品,商家和用户对交易行为负责。对于医疗器械类产品,请先查证核实企业经营资质和医疗器械产品注册证情况。
- 作者
- 内容
- 询问日期
文献和实验a simple ELISA method to detect human anti-antibody response.
Purification Of Anti Peptide Antibody
antibody that could contribute to staining background. The proportion in each pool varies with the peptide immunogen. The quality of the anti-peptide serum seems to increase with multiple boosts - the first bleed may be feeble.
Anticardiolipin Antibody and Anti-beta 2 Glycoprotein I Antibody Assays
standard” laboratory test to diagnose or classify a patient as having APS. This chapter discusses the clinical and laboratory theoretical and technical aspects of aCL and anti-β2GPI antibody assays.
技术资料暂无技术资料 索取技术资料





![MMP10 antibody[38545]](https://img1.dxycdn.com/p/s14/2025/0922/359/6146153295428599691.jpg!wh200)
![HP-1γ Mouse Monoclonal Antibody(4F4)[44245]](https://img1.dxycdn.com/p/s14/2025/0922/568/0046652811090600791.jpg!wh200)
![MEK-1 (phospho-Thr286) Polyclonal Antibody[13717]](https://img1.dxycdn.com/p/s14/2025/0922/498/0460884283108299691.jpg!wh200)
![GPC3 Mouse mAb[63683]](https://img1.dxycdn.com/p/s14/2025/0922/632/2321321568067599691.jpg!wh200)

