相关产品推荐更多 >
万千商家帮你免费找货
0 人在求购买到急需产品
- 详细信息
- 技术资料
- 免疫原:
Recombinant Protein of HP-1γ
- 形态:
liquid
- 保存条件:
Store at -20˚C
- 克隆性:
Monoclonal
- 适应物种:
Human;Mouse;Rat
- 保质期:
12 months
- 抗原来源:
Mouse
- 供应商:
南京赛戈巍生物科技有限公司
- 宿主:
Mouse
- 应用范围:
WB IHC
- 靶点:
Uniprot:Q13185
- 抗体英文名:
HP-1γ Mouse Monoclonal Antibody(4F4)
- 规格:
50ul/100ul
别名:Chromobox protein homolog 3 (HECH) (Heterochromatin protein 1 homolog gamma) (HP1 gamma) (Modifier 2 protein)
计算分子量:24kd
配方:Liquid in PBS containing 50% glycerol, 0.5% BSA and 0.02% sodium azide.
应用详情:Western blotting: 1:500-1:2000
Immunohistochemistry: 1:50-1:2000
图片:
计算分子量:24kd
配方:Liquid in PBS containing 50% glycerol, 0.5% BSA and 0.02% sodium azide.
应用详情:Western blotting: 1:500-1:2000
Immunohistochemistry: 1:50-1:2000
图片:

Western blot analysis of 1) Hela Cell Lysate, 2)3T3 Cell Lysate, 3) PC12 Cell Lysate using HP-1γ Mouse mAb diluted at 1:1000.
,

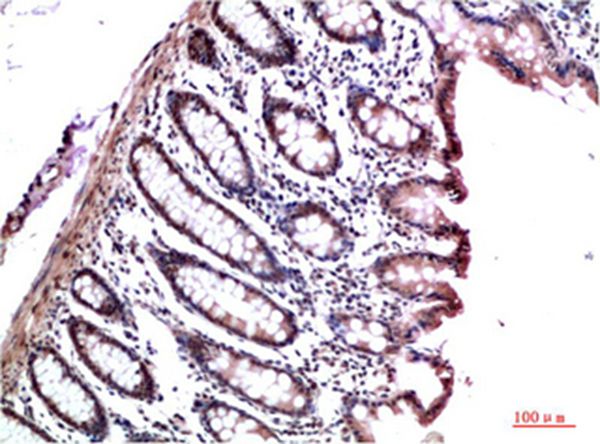
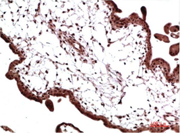
Immunohistochemical analysis of paraffin-embedded Human Colon Carcinoma Tissue using HP-1γ Mouse mAb diluted at 1:200
,

Immunohistochemical analysis of paraffin-embedded Human Placenta Tissue using HP-1γ Mouse mAb diluted at 1:200
风险提示:丁香通仅作为第三方平台,为商家信息发布提供平台空间。用户咨询产品时请注意保护个人信息及财产安全,合理判断,谨慎选购商品,商家和用户对交易行为负责。对于医疗器械类产品,请先查证核实企业经营资质和医疗器械产品注册证情况。
技术资料暂无技术资料 索取技术资料
HP-1γ Mouse Monoclonal Antibody(4F4)[44245]
询价


![HP-1γ Mouse Monoclonal Antibody(4F4)[44245]](https://img1.dxycdn.com/p/s14/2025/0922/568/0046652811090600791.jpg)


![SP1 Antibody[37251]](https://img1.dxycdn.com/p/s14/2025/0922/359/6146153295428599691.jpg!wh200)
![AKT2Conjugated Antibody[C30259]](https://img1.dxycdn.com/p/s14/2025/0923/305/2150219664296040791.jpg!wh200)
![PPP2R1B Antibody[43083]](https://img1.dxycdn.com/p/s14/2025/0922/568/0046652811090600791.jpg!wh200)
