相关产品推荐更多 >
万千商家帮你免费找货
0 人在求购买到急需产品
- 详细信息
- 文献和实验
- 技术资料
- 免疫原:
Synthetic peptide of human TRMT112
- 形态:
liquid
- 保存条件:
Store at -20˚C
- 克隆性:
Polyclonal
- 适应物种:
Human;Mouse
- 保质期:
12 months
- 抗原来源:
Rabbit
- 供应商:
南京赛戈巍生物科技有限公司
- 宿主:
Rabbit
- 应用范围:
WB, IHC
- 靶点:
Uniprot:Q9UI30
- 抗体英文名:
TRMT112 Antibody
- 规格:
50ul/100ul
计算分子量:14 kDa
配方:Rabbit IgG in pH7.4 PBS, 0.05% NaN3, 40% Glycerol.
应用详情:
WB dilution:1:200-1000
IHC dilution:1: 40-200
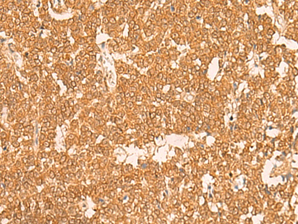
图片:

Gel: 12%SDS-PAGE, Lysate: 40 μg, Lane 1-6: 231, A172, A549, HepG2, PC3 and Hela cell lysates, Primary antibody:47640(TRMT112 Antibody) at dilution 1/300, Secondary antibody: Goat anti rabbit IgG at 1/8000 dilution, Exposure time: 30 seconds
,

The image is immunohistochemistry of paraffin-embedded Human ovarian cancer tissue using 47640(TRMT112 Antibody) at dilution 1/30.(Original magnification: 200)
,

The image is immunohistochemistry of paraffin-embedded Human lung cancer tissue using 47640(TRMT112 Antibody) at dilution 1/30.(Original magnification: 200)
风险提示:丁香通仅作为第三方平台,为商家信息发布提供平台空间。用户咨询产品时请注意保护个人信息及财产安全,合理判断,谨慎选购商品,商家和用户对交易行为负责。对于医疗器械类产品,请先查证核实企业经营资质和医疗器械产品注册证情况。
文献和实验热导池检测器操作 1:新装上的色谱柱一定要检漏。 2: 当检测无漏可打开氢气瓶总阀调节压力为0.2Mpa , 把载气1和载气2压力调节为0.1Mpa左右。 3:打开主机电源开关,按起始 键,仪器温度自动上升。设置柱箱(COL)、进样器(INJ)、检测器温度(TCD)。 4:按检测器选择键,选择4。 5:等温度升到设定值后按电流键设定电流值。按下热导池检测器的电源控制开关。 6:等基线走稳以后进样。 柱箱温度:柱箱+初始温度+数字键+键入 填充柱:进样器+
Generation of Antibody Molecules Through Antibody Engineering
been overcome to a large extent using genetic-engineering techniques to produce chimeric mouse/human and completely human antibodies. Such an approach is particularly suitable because of the domain structure of the antibody molecule ( 2 ), where functional
The importance of antibody molecules was first recognized in the 1890s, when it was shown that immunity to tetanus and diphtheria was caused by antibodies against the bacterial exotoxins (1 ). Around the same time, it was shown that antisera
技术资料暂无技术资料 索取技术资料





![CD196 Mouse mAb[63284]](https://img1.dxycdn.com/p/s14/2025/0922/632/2321321568067599691.jpg!wh200)
![BCAT1 Conjugated Antibody[C36276]](https://img1.dxycdn.com/p/s14/2025/0923/278/4431488150116040791.jpg!wh200)
![ANGPTL1 Antibody[35617]](https://img1.dxycdn.com/p/s14/2025/0922/359/6146153295428599691.jpg!wh200)
![FAM177B Antibody[47541]](https://img1.dxycdn.com/p/s14/2025/0923/496/0462304380155040791.jpg!wh200)
