相关产品推荐更多 >
万千商家帮你免费找货
0 人在求购买到急需产品
- 详细信息
- 文献和实验
- 技术资料
- 免疫原:
Recombinant protein corresponding to residues 1-181 of human WT1.
- 亚型:
IgG1, Kappa
- 形态:
Liquid
- 保存条件:
Store as concentrated solution. Centrifuge briefly prior to opening vial. For short-term storage (1-2 weeks), store at 4℃. For long-term storage, aliquot and store at -20℃ or below. Avoid multiple freeze-thaw cycles.
- 克隆性:
Monoclonal
- 标记物:
Unconjugated
- 适应物种:
Human, Rat
- 保质期:
12 months from the shipping date of the product.
- 抗原来源:
Human
- 目录编号:
GTX35173
- 级别:
Primary Antibodies
- 库存:
Available
- 供应商:
GeneTex
- 宿主:
Mouse
- 应用范围:
IHC-P
- 浓度:
0.2 mg/ml(Please refer to the vial label for the specific concentration.)
- 靶点:
Wilms Tumor 1
- 抗体英文名:
Wilms Tumor 1 antibody [SPM361]
- 抗体名:
Wilms Tumor 1 抗体 [SPM361]
- 规格:
100 μg
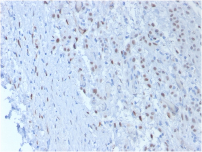
IHC-P analysis of human mesothelioma tissue using GTX35173 Wilms Tumor 1 antibody [SPM361].
风险提示:丁香通仅作为第三方平台,为商家信息发布提供平台空间。用户咨询产品时请注意保护个人信息及财产安全,合理判断,谨慎选购商品,商家和用户对交易行为负责。对于医疗器械类产品,请先查证核实企业经营资质和医疗器械产品注册证情况。
文献和实验. [24] Santos-Pereira JM, et al. Integrative multi-omic analysis reveals a PAX8-driven gene network linking tumor stemness to therapy response in ovarian cancer. NAR Genom Bioinform. 2025 Aug 27;7(3):lqaf113. [25] Keilholz U, et al. Wilms' tumour gene
:varicella zoster virus,水痘带状疱疹病毒 WT:Wilms tumor,肾母细胞瘤 Xerostomia:口腔干燥症
【资源】全面归类网址:毕赤酵母表达各种来源蛋白(细菌,真菌,植物,人类等)
482InvertebratesAchacina fulica Ferussac (giant African snail) achacinS, 0.2 mg/L, native[127]Acyclostoma caninum (hookworm)S, active388Aplysia californica (marine mollusk) ADP ribosyl cyclaseS, 300 mg/L, α-MF[128, 361Aqueora victoria (jellyfish) green
技术资料暂无技术资料 索取技术资料











