相关产品推荐更多 >
万千商家帮你免费找货
0 人在求购买到急需产品
- 详细信息
- 文献和实验
- 技术资料
- 免疫原:
Recombinant human full-length MLANA protein
- 亚型:
IgG
- 形态:
Liquid
- 保存条件:
Store as concentrated solution. Centrifuge briefly prior to opening vial. For short-term storage (1-2 weeks), store at 4ºC. For long-term storage, aliquot and store at -20ºC or below. Avoid multiple freeze-thaw cycles.
- 克隆性:
Monoclonal
- 标记物:
Unconjugated
- 适应物种:
Human, Mouse, Rat
- 保质期:
12 months from the shipping date of the product.
- 抗原来源:
Human
- 目录编号:
GTX34830
- 级别:
Primary Antibodies
- 库存:
Available
- 供应商:
GeneTex
- 宿主:
Rabbit
- 应用范围:
WB, IHC-P
- 浓度:
0.2 mg/ml (Please refer to the vial label for the specific concentration.)
- 靶点:
Melan A
- 抗体英文名:
Melan A antibody [MLANA/1761R]
- 抗体名:
Melan A 抗体 [MLANA/1761R]
- 规格:
100 μg
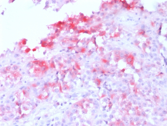
IHC-P analysis of human skin tissue using GTX34830 Melan A antibody [MLANA/1761R].
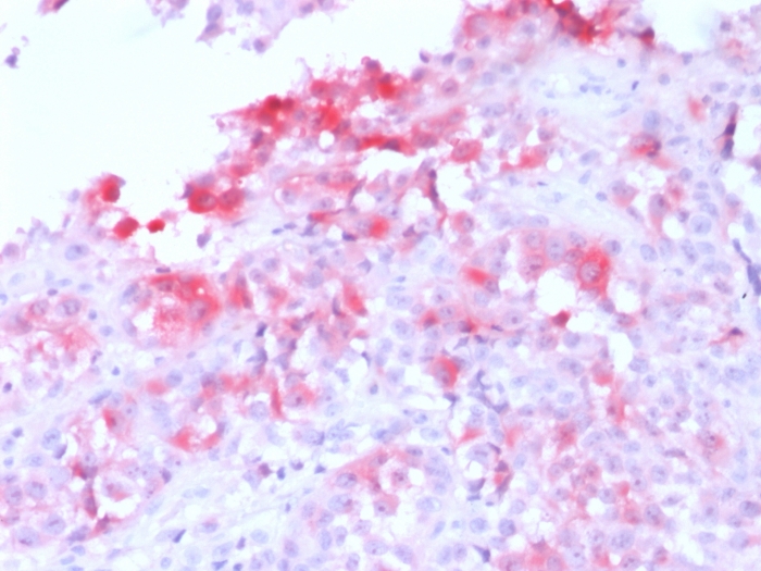
IHC-P analysis of human melanoma tissue using GTX34830 Melan A antibody [MLANA/1761R].
WB analysis of COLO38 whole cell lysate using GTX34830 Melan A antibody [MLANA/1761R].
风险提示:丁香通仅作为第三方平台,为商家信息发布提供平台空间。用户咨询产品时请注意保护个人信息及财产安全,合理判断,谨慎选购商品,商家和用户对交易行为负责。对于医疗器械类产品,请先查证核实企业经营资质和医疗器械产品注册证情况。
文献和实验Phage‐Based Expression Cloning to Identify Interacting Proteins
, W., Sellers, W.R., DeCaprio, J.A., Ajchenbaum, F., Fuchs, C.S., Chittenden, T., Li, Y., Farnham, P.J., Blanar, M.A., Livingston, D.M., and Flemington, E.K. 1992. Expression cloning of a cDNA encoding a retinoblastoma‐binding protein with E2F
a subset of genomic DNA sequences of type 5'-(NNN )3 -3', whereas the 6ZF library would recognize a subset of genomic sequences of type 5'-(NNN )6 -3'. Given the zinc-finger domains used, both libraries were more likely to recognize (RNN)x -type sequences
(15):4294 16. 马立人.基因诊断的发展和应用,内部资料,1993 17. Takeshi Sano , Cassandral Smith, Charles R, et al. Immuno PCR:Very sensitive antigen detection by means of specific antibody DNA conjugates. Science, 1992;258:120~122 18. D Y Kwoh, G R Davis, K M
技术资料暂无技术资料 索取技术资料





![MTMR14 antibody [6B6]](https://img1.dxycdn.com/2022/0328/130/7533344310238500453-14.jpg!wh200)





