相关产品推荐更多 >
万千商家帮你免费找货
0 人在求购买到急需产品
- 详细信息
- 文献和实验
- 技术资料
- 免疫原:
Recombinant full-length human PDCD1 protein
- 亚型:
IgG1
- 形态:
Liquid
- 保存条件:
Store as concentrated solution. Centrifuge briefly prior to opening vial. For short-term storage (1-2 weeks), store at 4ºC. For long-term storage, aliquot and store at -20ºC or below. Avoid multiple freeze-thaw cycles.
- 克隆性:
Monoclonal
- 标记物:
Unconjugated
- 适应物种:
Human
- 保质期:
12 months from the shipping date of the product.
- 抗原来源:
Human
- 目录编号:
GTX34966
- 级别:
Primary Antibodies
- 库存:
Available
- 供应商:
GeneTex
- 宿主:
Mouse
- 应用范围:
ICC/IF, IHC-P, FACS
- 浓度:
0.2 mg/ml (Please refer to the vial label for the specific concentration.)
- 靶点:
PD1
- 抗体英文名:
PD1 antibody [PDCD1/922]
- 抗体名:
PD1 抗体 [PDCD1/922]
- 规格:
100 μg
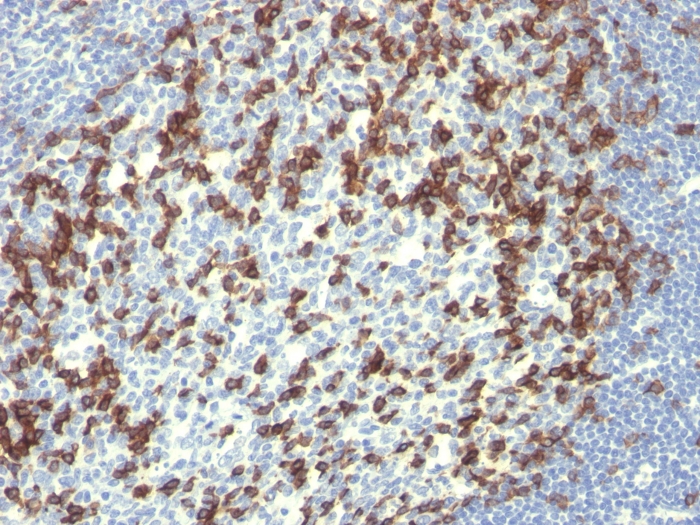
IHC-P analysis of human tonsil tissue using GTX34966 PD1 antibody [PDCD1/922].
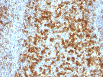
IHC-P analysis of human tonsil tissue using GTX34966 PD1 antibody [PDCD1/922].
风险提示:丁香通仅作为第三方平台,为商家信息发布提供平台空间。用户咨询产品时请注意保护个人信息及财产安全,合理判断,谨慎选购商品,商家和用户对交易行为负责。对于医疗器械类产品,请先查证核实企业经营资质和医疗器械产品注册证情况。
文献和实验Nature 综述导读:FDA 批准第 100 个抗体药物!抗体药物的研究方向在哪里?
批准了第 50 种抗体,距离第一个抗体已经过去了 29 年。2021 年 4 月,随着葛兰素史克 PD1 阻断剂 dostarlimab 的批准,抗体药物仅用了 6 年多的时间就达到了 100 个,进入了「百抗」新时代(图五)。 图五 Nature Reviews Drug Discovery 20, 10 (2021) 上面提到的 100 个抗体并不是单纯经典的单克隆的裸抗体(naked antibody),其中也包括了抗体片段已经工程化修饰抗体的各种偶联形式。其中包括有抗体药物偶联(ADC
of First Hospital of Harbin Medical University. RPMI 1640 was purchased from GIBCO. Propidium iodide and Rnase were from Sigma Chemical Co. A murine monoclonal antibody against human Bcl-2 and Bax oncoprotein and antimi ce rabbit polyclonal antibody were purchased
, Ureaplasmaurealyticumand Mycoplasma genitalium in urine specimens,其检测限度达到1-10 x 10-15 g DNA [62]。PCR与CL检测也被共同用来评估脐带血的母细胞污染[63]。一种核酸测序方法则是基于焦磷酸盐的释放和CL检测[64]。 场流分级法 场流分级法(FFF)作为一种细胞分拣的新技术,可以从复杂的自然基质中分离几少的特异性的活细胞[65]。FFF的诊断应用需要极为灵敏的BL/CL检测[66]。其进一步的应用还包括:同时分离发光细胞或通过遗传工程或使用
技术资料暂无技术资料 索取技术资料






![alpha Smooth Muscle Actin antibody [1A4] (ready-to-use)](https://img1.dxycdn.com/2022/0328/600/1519727705134500453-14.jpg!wh200)

![ARID5A antibody [GT921]](https://img1.dxycdn.com/2022/0329/713/4831451229906020453-14.jpg!wh200)
![Her3 / ErbB3 antibody [3F10F6]](https://img1.dxycdn.com/2022/0328/625/2382915299557500453-14.jpg!wh200)

