相关产品推荐更多 >
万千商家帮你免费找货
0 人在求购买到急需产品
- 详细信息
- 文献和实验
- 技术资料
- 免疫原:
A synthetic peptide around aa 1-34 of human mature-PTH-polypeptide (exact sequence is proprietary)
- 亚型:
IgG
- 形态:
Liquid
- 保存条件:
Store as concentrated solution. Centrifuge briefly prior to opening vial. For short-term storage (1-2 weeks), store at 4ºC. For long-term storage, aliquot and store at -20ºC or below. Avoid multiple freeze-thaw cycles.
- 克隆性:
Monoclonal
- 标记物:
Unconjugated
- 适应物种:
Human, Mouse, Rat, Rabbit, Bovine, Dog, Pig, Deer, Orangutan
- 保质期:
12 months from the shipping date of the product.
- 抗原来源:
Human
- 目录编号:
GTX34954
- 级别:
Primary Antibodies
- 库存:
Available
- 供应商:
GeneTex
- 宿主:
Rabbit
- 应用范围:
IHC-P
- 浓度:
0.2 mg/ml (Please refer to the vial label for the specific concentration.)
- 靶点:
Epitope of this MAb maps in the N-terminus of PTH.
- 抗体英文名:
Parathyroid Hormone antibody [PTH/1717R]
- 抗体名:
Parathyroid Hormone 抗体 [PTH/1717R]
- 规格:
100 μg
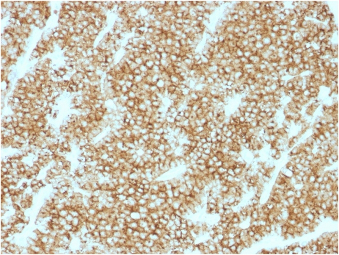
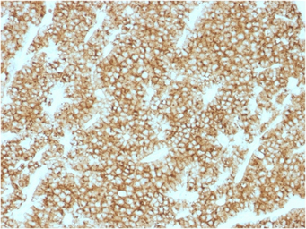
IHC-P analysis of human parathyroid tissue using GTX34954 Parathyroid Hormone antibody [PTH/1717R].
风险提示:丁香通仅作为第三方平台,为商家信息发布提供平台空间。用户咨询产品时请注意保护个人信息及财产安全,合理判断,谨慎选购商品,商家和用户对交易行为负责。对于医疗器械类产品,请先查证核实企业经营资质和医疗器械产品注册证情况。
文献和实验简写为PTH。是由甲状旁腺分泌的激素。由 84个氨基酸构成的多肽。此激素宜接作用于骨组织,引起听谓的骨吸收,可使骨中钙向四中释放。因此,当此激素发挥作用时,血中钙浓度将上升。另外,它也能直接作用于肾脏,在加强磷、钠、钾排泄的同时可使 Ca 、 Mg 、 H 的排泄降低。调节甲状旁腺素分泌的是血钙浓度,此激素的分泌速率与血钙浓度成反比。
In Vivo Parathyroid Hormone Treatments and RNA Isolation and Analysis
Intermittent parathyroid hormone (PTH) administration increases bone formation and bone mass and is being used as a therapy for osteoporosis. By contrast, chronic hyperparathyroidism results in the metabolic bone disease osteitis fibrosa
甲状旁腺激素(parathyroid hormone,PTH)
甲状旁腺主细胞分泌的肽类激素。正常人血浆PTH含量约1毫微克/毫升,最高可达6毫微克/毫升。其主要靶器官是骨、肾和小肠,调节钙、磷代谢,最终效应是升血钙,降低血磷:(1)对骨的作用。PTH刺激骨质吸收,动员骨的钙、磷入血。可分为快速效应和慢速效应两个时相。快速效应数分钟内即可发生,作用于骨细胞膜系统。骨细胞膜系统是由骨细胞和成骨细胞组成的一层膜,除破骨细胞邻近的区域外,覆盖全部骨表面和腔隙表面,从而在骨质与细胞外液之间形成可通透性屏障。这层膜与骨质之间有少量滑液,细胞外液侧
技术资料暂无技术资料 索取技术资料





![IL2 Receptor alpha antibody [MAB0710]](https://img1.dxycdn.com/2022/0328/807/6787306555989400453-14.jpg!wh200)

![5-Methylcytosine / 5-mC antibody [RM231]](https://img1.dxycdn.com/2022/0328/602/0940057318643400453-14.jpg!wh200)



