相关产品推荐更多 >
万千商家帮你免费找货
0 人在求购买到急需产品
- 详细信息
- 文献和实验
- 技术资料
- 免疫原:
NGFR from A875 melanoma cells
- 亚型:
IgG1
- 形态:
Liquid
- 保存条件:
Store as concentrated solution. Centrifuge briefly prior to opening vial. For short-term storage (1-2 weeks), store at 4ºC. For long-term storage, aliquot and store at -20ºC or below. Avoid multiple freeze-thaw cycles.
- 克隆性:
Monoclonal
- 标记物:
Unconjugated
- 适应物种:
Human, Rabbit, Cat, Monkey, Baboon, Ferret
- 保质期:
12 months from the shipping date of the product.
- 抗原来源:
Human
- 目录编号:
GTX34946
- 级别:
Primary Antibodies
- 库存:
Available
- 供应商:
GeneTex
- 宿主:
Mouse
- 应用范围:
ICC/IF, IHC-P, FACS
- 浓度:
0.2 mg/ml (Please refer to the vial label for the specific concentration.)
- 靶点:
Epitope spans in aa 1-160 of extracellular domain of NGFR/NTR.,We do not recommend use of this product for Mouse,Rat.
- 抗体英文名:
p75 NGF Receptor / CD271 antibody [SPM299]
- 抗体名:
p75 NGF Receptor / CD271 抗体 [SPM299]
- 规格:
100 μg
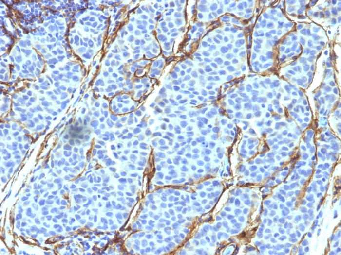
IHC-P analysis of human melanoma tissue using GTX34946 p75 NGF Receptor / CD271 antibody [SPM299].
风险提示:丁香通仅作为第三方平台,为商家信息发布提供平台空间。用户咨询产品时请注意保护个人信息及财产安全,合理判断,谨慎选购商品,商家和用户对交易行为负责。对于医疗器械类产品,请先查证核实企业经营资质和医疗器械产品注册证情况。
文献和实验Chimerization of a Monoclonal Antibody for Treating Hodgkin's Lymphoma
Ber-H2 which recognizes the human CD30 molecule with high specificity and affinity (2 ). CD30, a member of the nerve growth factor (NGF) tumor necrosis factor receptor (TNFR) superfamily (3 ), is strongly expressed on the pathognomonic Hodgkin (H
secondary antibody review -- data from 99 publications
cytometry used as a control to detect cell responses targeted antigen 7 Alexa Fluor 488 7 Cy3 8 goat IgG Alexa Fluor 488 1:2000 detect antibody binding in human embryonic kidney 293T cells Invitrogen 9 donkey
Toxin-Induced Death of Neurotrophin-Sensitive Neurons
-affinity neurotrophin receptor (p75NTR ) (2 ). This immunotoxin consists of a monoclonal antibody disulfide coupled to a ribosome inactivating protein. The most extensively used and studied version uses the antibody 192 IgG
技术资料暂无技术资料 索取技术资料







![Cav1.2 antibody [S57-46]](https://img1.dxycdn.com/2022/0328/656/7167625503904400453-14.jpg!wh200)


