相关产品推荐更多 >
万千商家帮你免费找货
0 人在求购买到急需产品
- 详细信息
- 文献和实验
- 技术资料
- 免疫原:
Recombinant full-length human ODC-1 protein
- 亚型:
IgG1
- 形态:
Liquid
- 保存条件:
Store as concentrated solution. Centrifuge briefly prior to opening vial. For short-term storage (1-2 weeks), store at 4ºC. For long-term storage, aliquot and store at -20ºC or below. Avoid multiple freeze-thaw cycles.
- 克隆性:
Monoclonal
- 标记物:
Unconjugated
- 适应物种:
Human, Mouse, Rat
- 保质期:
12 months from the shipping date of the product.
- 抗原来源:
Human
- 目录编号:
GTX34919
- 级别:
Primary Antibodies
- 库存:
Available
- 供应商:
GeneTex
- 宿主:
Mouse
- 应用范围:
WB, ICC/IF, IHC-P, FACS
- 浓度:
0.2 mg/ml (Please refer to the vial label for the specific concentration.)
- 靶点:
ODC
- 抗体英文名:
ODC antibody [ODC1/485]
- 抗体名:
ODC 抗体 [ODC1/485]
- 规格:
100 μg
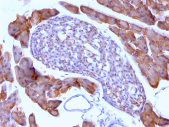
IHC-P analysis of human testicular carcinoma tissue using GTX34919 ODC antibody [ODC1/485].
ICC/IF analysis of LNCaP cells using GTX34919 ODC antibody [ODC1/485].
Green : Primary antibody
Blue : nucleus
WB analysis of human placental tissue lysate using GTX34919 ODC antibody [ODC1/485].
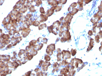
IHC-P analysis of rat pancreas tissue using GTX34919 ODC antibody [ODC1/485].
IHC-P analysis of mouse pancreas tissue using GTX34919 ODC antibody [ODC1/485].
FACS analysis of PC3 cells using GTX34919 ODC antibody [ODC1/485].
Black : Blank
Grey : Isotype Control
Green : Primary antibody
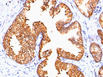
IHC-P analysis of human prostate carcinoma tissue using GTX34919 ODC antibody [ODC1/485].
风险提示:丁香通仅作为第三方平台,为商家信息发布提供平台空间。用户咨询产品时请注意保护个人信息及财产安全,合理判断,谨慎选购商品,商家和用户对交易行为负责。对于医疗器械类产品,请先查证核实企业经营资质和医疗器械产品注册证情况。
文献和实验Primary Neuron Viability Assay
ProtocolsDescription Fluorescence based asssay for establishing neuronal viability in cell culture monolayers. Procedure Monolayer cultures of rat embryonic cortical neurons were prepared and plated at a density of 2-5 x 105 cells
Encapsulation of Cardiomyocytes in a Fibrin Hydrogel for Cardiac Tissue Engineering
Histology Mouse MYH1/2/4/6 primary antibody Santa Cruz Biotechnology SC-32732 Histology Rabbit
[资源] 所有的看家基因(housekeeping genes)列表+引物设计服务
NM_004926 Homo sapiens zinc finger protein 36, C3H type-like 1 (ZFP36L1), mRNA 1168 NM_002539 Homo sapiens ornithine decarboxylase 1 (ODC1), mRNA 1361 NM_000979 Homo sapiens ribosomal protein L18 (RPL18 ), mRNA 4417 NM_000977 Homo sapiens
技术资料暂无技术资料 索取技术资料








![TIMP2 antibody [3A4]](https://img1.dxycdn.com/2022/0328/027/0694103308778300453-14.jpg!wh200)
![Histone H3K9ac (Acetyl Lys9) antibody [GT464]](https://img1.dxycdn.com/2022/0329/035/7939050083095020453-14.jpg!wh200)

