相关产品推荐更多 >
万千商家帮你免费找货
0 人在求购买到急需产品
- 详细信息
- 文献和实验
- 技术资料
- 免疫原:
Colon carcinoma 174T cells
- 亚型:
IgM
- 形态:
Liquid
- 保存条件:
Store as concentrated solution. Centrifuge briefly prior to opening vial. For short-term storage (1-2 weeks), store at 4ºC. For long-term storage, aliquot and store at -20ºC or below. Avoid multiple freeze-thaw cycles.
- 克隆性:
Monoclonal
- 标记物:
Unconjugated
- 适应物种:
Human
- 保质期:
12 months from the shipping date of the product.
- 抗原来源:
Human
- 目录编号:
GTX34917
- 级别:
Primary Antibodies
- 库存:
Available
- 供应商:
GeneTex
- 宿主:
Mouse
- 应用范围:
ICC/IF, IHC-P, FACS
- 浓度:
0.2 mg/ml (Please refer to the vial label for the specific concentration.)
- 靶点:
Recognizes a phosphorylated protein of 228kDa, identified as nuclear mitotic apparatus protein (NuMA). Its epitope is resistant to phosphatases.
- 抗体英文名:
NuMA antibody [A73-B/D12]
- 抗体名:
NuMA 抗体 [A73-B/D12]
- 规格:
100 μg
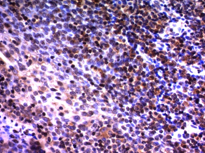
IHC-P analysis of human tonsil tissue using GTX34917 NuMA antibody [A73-B/D12].
风险提示:丁香通仅作为第三方平台,为商家信息发布提供平台空间。用户咨询产品时请注意保护个人信息及财产安全,合理判断,谨慎选购商品,商家和用户对交易行为负责。对于医疗器械类产品,请先查证核实企业经营资质和医疗器械产品注册证情况。
文献和实验secondary antibody review -- data from 99 publications
whether any cell surface DFz2 had been internalized 4 flow cytometry localize of GPR30 in the endoplasmic reticulum 5 rhodamine immunocytochemistry detect kaposin B in SLK endothelial cells 6 IgG IgG2b Alexa Fluor 647 flow
l Leupeptin,and 5μl PMSF to each 10 ml.High Salt Wash Buffer (1% Triton X-100,0.1% Deoxycholate,50 mM Tris-8.1,500 mM NaCl,5 mM EDTA)10 ml 10% Triton X-1001 ml 10% Deoxycholate5 ml 1M Tris-8.11 ml 0.5M EDTA10 ml 5M NaCl73 ml Water(LiCl Immune Complex
The OP9-DL1 System: Generation of T-Lymphocytes from Embryonic or Hematopoietic Stem Cells In Vitro
al. 2006b ). MATERIALS Reagents Anti-CD24 monoclonal antibody (mAb) (J11d clone) (for Protocol 3) Use either culture supernatant that contains anti-CD24 mAb or purified anti-CD24 mAb (see Step 55). BDPharmLyse (red blood cell lysing
技术资料暂无技术资料 索取技术资料





![Thymidine Phosphorylase antibody [TYMP/2890R]](https://img1.dxycdn.com/2022/0328/765/3570552095989700453-14.jpg!wh200)
![SCGN antibody [N2C3]](https://img1.dxycdn.com/2022/0328/808/6013221537611300453-14.jpg!wh200)

![GP2 antibody [MSVA-475M] HistoMAX](https://custom.dxycdn.com/trademd/upload/pic/2013/11/12/A1383891150.jpg!small.t.1)
![Influenza A virus H1N1 NA (Neuraminidase) antibody [GT288]](https://img1.dxycdn.com/2022/0329/686/2056161777575020453-14.jpg!wh200)
