相关产品推荐更多 >
万千商家帮你免费找货
0 人在求购买到急需产品
- 详细信息
- 文献和实验
- 技术资料
- 免疫原:
Rat full length TTF-1 recombinant protein
- 亚型:
IgG1
- 形态:
Liquid
- 保存条件:
Store as concentrated solution. Centrifuge briefly prior to opening vial. For short-term storage (1-2 weeks), store at 4ºC. For long-term storage, aliquot and store at -20ºC or below. Avoid multiple freeze-thaw cycles.
- 克隆性:
Monoclonal
- 标记物:
Unconjugated
- 适应物种:
Human, Mouse, Rat
- 保质期:
12 months from the shipping date of the product.
- 抗原来源:
Rat
- 目录编号:
GTX34905
- 级别:
Primary Antibodies
- 库存:
Available
- 供应商:
GeneTex
- 宿主:
Mouse
- 应用范围:
ICC/IF, IHC-P, FACS
- 浓度:
0.2 mg/ml (Please refer to the vial label for the specific concentration.)
- 靶点:
NKX2.1
- 抗体英文名:
NKX2.1 antibody [SPM150]
- 抗体名:
NKX2.1 抗体 [SPM150]
- 规格:
100 μg
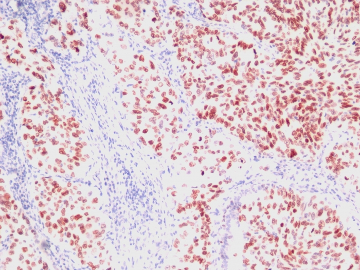
IHC-P analysis of human lung carcinoma tissue using GTX34905 NKX2.1 antibody [SPM150].
风险提示:丁香通仅作为第三方平台,为商家信息发布提供平台空间。用户咨询产品时请注意保护个人信息及财产安全,合理判断,谨慎选购商品,商家和用户对交易行为负责。对于医疗器械类产品,请先查证核实企业经营资质和医疗器械产品注册证情况。
文献和实验mls of PBS. Put 200 ul (3 mg/ml) of the antibody to an eppendorf tube. Add 0.8 mls of PBS. Pellet 1 ml of the cell suspension and discard the PBS supernatant. Add the antibody solution to the cell pellet, gently resuspend the cells
while vortexing. If Biotinylating, add 150uL of Biotin/Water solution to Antibody while vortexing. 3. Incubate at room temperature for 45minutes. 4. The next step is to separate the coupled from uncoupled FITC or Biotin. This can be done in 2 ways
IMMUNOSCREENING OF WITH ANTIBODY PROBES
in 10mM IPTG (MW=238.31). Briefly blot the excess solution from the filters, and wrap them in cellophane. These should be moist and stored at 4°C. We typically adsorb serum with five 150 mm Petri dishes of lysed E. coli to reduce anti-E. coli antibody
技术资料暂无技术资料 索取技术资料






![Hsp90 antibody [AC88]](https://img1.dxycdn.com/2022/0329/581/0866674062204020453-14.jpg!wh200)
![PRMT6 antibody [4G2]](https://img1.dxycdn.com/2022/0328/201/8174489034727500453-14.jpg!wh200)

![Dengue virus type 2, 3 NS1 protein antibody [HL1991]](https://img1.dxycdn.com/2023/0605/753/8089595551251755661-14.jpg!wh200)

