相关产品推荐更多 >
万千商家帮你免费找货
0 人在求购买到急需产品
- 详细信息
- 文献和实验
- 技术资料
- 免疫原:
Recombinant INS protein
- 亚型:
IgG1
- 形态:
Liquid
- 保存条件:
Store as concentrated solution. Centrifuge briefly prior to opening vial. For short-term storage (1-2 weeks), store at 4ºC. For long-term storage, aliquot and store at -20ºC or below. Avoid multiple freeze-thaw cycles.
- 克隆性:
Monoclonal
- 标记物:
Unconjugated
- 适应物种:
Human, Mouse, Rabbit, Bovine, Pig
- 保质期:
12 months from the shipping date of the product.
- 目录编号:
GTX34799
- 级别:
Primary Antibodies
- 库存:
Available
- 供应商:
GeneTex
- 宿主:
Mouse
- 应用范围:
IHC-P
- 浓度:
0.2 mg/ml (Please refer to the vial label for the specific concentration.)
- 靶点:
Recognizes a polypeptide which is identified as insulin, a 51-amino acid polypeptide composed of A and B chains connected through the C-peptide.,We do not recommend use of this product for Rat.
- 抗体英文名:
Insulin antibody [IRDN/805]
- 抗体名:
Insulin 抗体 [IRDN/805]
- 规格:
100 μg
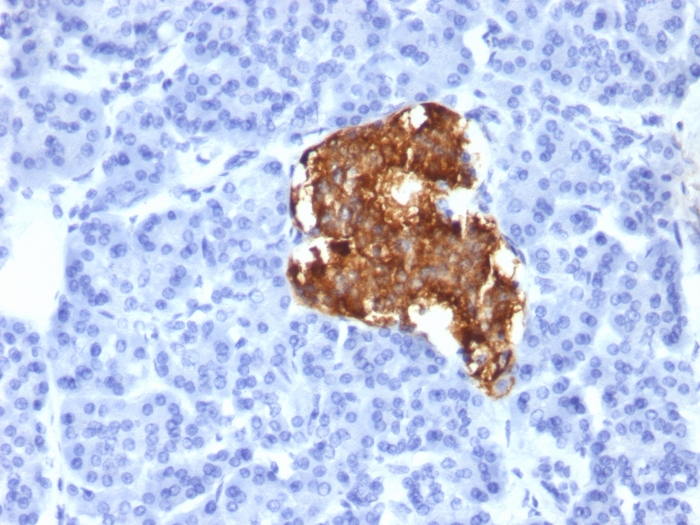
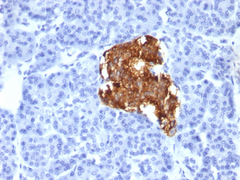
IHC-P analysis of human pancreas tissue using GTX34799 Insulin antibody [IRDN/805].
风险提示:丁香通仅作为第三方平台,为商家信息发布提供平台空间。用户咨询产品时请注意保护个人信息及财产安全,合理判断,谨慎选购商品,商家和用户对交易行为负责。对于医疗器械类产品,请先查证核实企业经营资质和医疗器械产品注册证情况。
文献和实验Detection of Insulin Production by Immunohistochemistry
the insulin gene (4 ). Like all immunocytochemistry techniques, much depends on the availability of a high-quality primary antibody. Species-specific insulin antibodies are now available from a number of commercial sources (including Santa Cruz
secondary antibody review -- data from 99 publications
cytometry used as a control to detect cell responses targeted antigen 7 Alexa Fluor 488 7 Cy3 8 goat IgG Alexa Fluor 488 1:2000 detect antibody binding in human embryonic kidney 293T cells Invitrogen 9 donkey
祝贺〖雅裕睿安〗成为Signalway Antibody(SAB)独家
adhesion and migration.Neuroscience Letters''450''327–33 31.X Tang''X Zhou''K Zhou''et al.(2009) Dauricine inhibits u insulin-like growth factor-I-induced hypoxia inducible factor 1α protein…Acta Pharmacologica Sinica. 30 (5): 605–616
技术资料暂无技术资料 索取技术资料






![MEF2A antibody [C2C3], C-term](https://img1.dxycdn.com/2022/0328/217/8216258428593200453-14.jpg!wh200)
![Her2 / ErbB2 antibody [SP3] (ready-to-use)](https://img1.dxycdn.com/2022/0328/184/1084782236555500453-14.jpg!wh200)
![gamma Catenin antibody [4C12]](https://img1.dxycdn.com/2022/0328/444/1481571425603500453-14.jpg!wh200)
![CEP164 antibody [17]](https://img1.dxycdn.com/2022/0328/375/9813697543653500453-14.jpg!wh200)

