相关产品推荐更多 >
万千商家帮你免费找货
0 人在求购买到急需产品
- 详细信息
- 文献和实验
- 技术资料
- 免疫原:
GFAP isolated from pig spinal cord
- 亚型:
IgG1
- 形态:
Liquid
- 保存条件:
Store as concentrated solution. Centrifuge briefly prior to opening vial. For short-term storage (1-2 weeks), store at 4ºC. For long-term storage, aliquot and store at -20ºC or below. Avoid multiple freeze-thaw cycles.
- 克隆性:
Monoclonal
- 标记物:
Unconjugated
- 适应物种:
Human, Mouse, Rat, Rabbit, Bovine, Chicken, Pig
- 保质期:
12 months from the shipping date of the product.
- 抗原来源:
Pig
- 目录编号:
GTX34757
- 级别:
Primary Antibodies
- 库存:
Available
- 供应商:
GeneTex
- 宿主:
Mouse
- 应用范围:
WB, ICC/IF, IHC-P, FACS
- 浓度:
0.2 mg/ml (Please refer to the vial label for the specific concentration.)
- 靶点:
This MAb recognizes a protein of ~50kDa which is identified as Glial Fibrillary Acidic Protein (GFAP). It shows no cross-reaction with other intermediate filament proteins.
- 抗体英文名:
GFAP antibody [SPM507]
- 抗体名:
GFAP 抗体 [SPM507]
- 规格:
100 μg
WB analysis of human brain tissue lysate using GTX34757 GFAP antibody [SPM507].
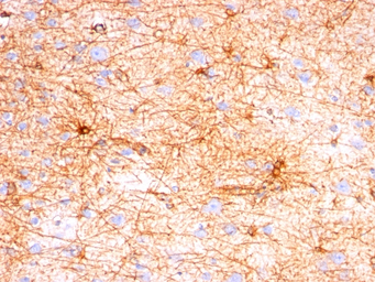
IHC-P analysis of human cerebellum tissue using GTX34757 GFAP antibody [SPM507].
风险提示:丁香通仅作为第三方平台,为商家信息发布提供平台空间。用户咨询产品时请注意保护个人信息及财产安全,合理判断,谨慎选购商品,商家和用户对交易行为负责。对于医疗器械类产品,请先查证核实企业经营资质和医疗器械产品注册证情况。
文献和实验上海西唐生物科技有限公司 021-55229872, 65333639 www.westang.com 人胶质细胞酸性蛋白 ( GFAP )ELISA 试剂盒 ( 用于血清、血浆、细胞培养上清液和其它生物体液内 ) 原理 本实验采用双抗体夹心 ABC-ELISA 法。用抗人 GFAP 单抗包被于酶标板上,标准品和样品中的 GFAP与单抗结合,加入生物素化的抗人
上海西唐生物科技有限公司 021-55229872, 65333639 www.westang.com 大鼠胶质细胞酸性蛋白 (GFAP)ELISA 试剂盒 ( 用于血清、血浆、细胞培养上清液和其它生物体液内 ) 原理 本实验采用双抗体夹心 ABC-ELISA 法。用抗大鼠 GFAP 单抗包被于酶标板上,标准品和样品中的 GFAP 与单抗结合,加入生物素化的抗大鼠 GFAP ,形成免疫复合物连接在板上
祝贺〖雅裕睿安〗成为Signalway Antibody(SAB)独家
T505,产品描述:His-Tag mouse mAb;规格 50 ul / 100 ul; 货号T506,产品描述:HA-Tag mouse mAb;规格 50 ul / 100 ul; 货号T507,产品描述:GFP-Tag mouse mAb;规格 50 ul / 100 ul; 货号T508,产品描述:GFP Antibody;规格 50 ul / 100 ul;
技术资料暂无技术资料 索取技术资料





![EP300 antibody [3G230]](https://img1.dxycdn.com/2022/0329/195/1302904631444020453-14.jpg!wh200)




