相关产品推荐更多 >
万千商家帮你免费找货
0 人在求购买到急需产品
- 详细信息
- 文献和实验
- 技术资料
- 免疫原:
Recombinant full-length human KRT18 protein
- 亚型:
IgG1
- 形态:
Liquid
- 保存条件:
Store as concentrated solution. Centrifuge briefly prior to opening vial. For short-term storage (1-2 weeks), store at 4ºC. For long-term storage, aliquot and store at -20ºC or below. Avoid multiple freeze-thaw cycles.
- 克隆性:
Monoclonal
- 标记物:
Unconjugated
- 适应物种:
Human, Rat
- 保质期:
12 months from the shipping date of the product.
- 抗原来源:
Human
- 目录编号:
GTX34637
- 级别:
Primary Antibodies
- 库存:
Available
- 供应商:
GeneTex
- 宿主:
Mouse
- 应用范围:
WB, ICC/IF, IHC-P, FACS
- 浓度:
0.2 mg/ml (Please refer to the vial label for the specific concentration.)
- 靶点:
This MAb reacts with a wide variety of simple epithelia. It does not react with stratified squamous epithelia. It reacts with epithelial tumors of the gastrointestinal tract, lung, breast, pancreas, ovary, and thyroid.
- 抗体英文名:
Cytokeratin 18 antibody [KRT18/1190]
- 抗体名:
Cytokeratin 18 抗体 [KRT18/1190]
- 规格:
100 μg
ICC/IF analysis of HeLa cells using GTX34637 Cytokeratin 18 antibody [KRT18/1190].
Green : Primary antibody
Red : nucleus
WB analysis of human A549 and HepG2 cell lysates using GTX34637 Cytokeratin 18 antibody [KRT18/1190].
WB analysis of human (A) stomach (B) intestine lysates using GTX34637 Cytokeratin 18 antibody [KRT18/1190].
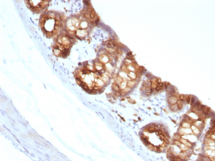
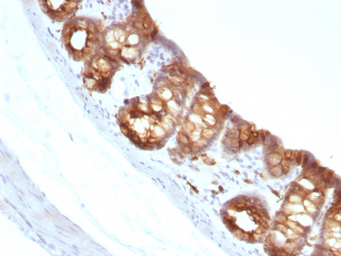
IHC-P analysis of rat colon tissue using GTX34637 Cytokeratin 18 antibody [KRT18/1190].
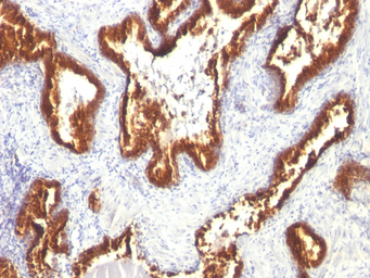
IHC-P analysis of human prostate carcinoma tissue using GTX34637 Cytokeratin 18 antibody [KRT18/1190].
WB analysis of HCT116 cell lysate using GTX34637 Cytokeratin 18 antibody [KRT18/1190].
风险提示:丁香通仅作为第三方平台,为商家信息发布提供平台空间。用户咨询产品时请注意保护个人信息及财产安全,合理判断,谨慎选购商品,商家和用户对交易行为负责。对于医疗器械类产品,请先查证核实企业经营资质和医疗器械产品注册证情况。
文献和实验上海西唐生物科技有限公司 021-55229872, 65333639 www.westang.com 大鼠白介素 -18(IL-18)ELISA 试剂盒 ( 用于血清、血浆、细胞培养上清液和其它生物体液内 ) 原理 本实验采用双抗体夹心 ABC-ELISA 法。用抗大鼠 IL-18 单抗包被于酶标板上,标准品和样品中的 IL-18 与单抗结合,加入生物素化的抗大鼠 IL-18 ,形成免疫复合物连接
上海西唐生物科技有限公司 021-55229872, 65333639 www.westang.com 兔白介素-18 (IL-18)ELISA 试剂盒 ( 用于血清、血浆、细胞培养上清液和其它生物体液内 ) 原理 本实验采用双抗体夹心 ABC-ELISA 法。用抗兔 IL-18 单抗包被于酶标板上,标准品和样品中的 IL-18与单抗结合,加入生物素化的抗兔 IL
上海西唐生物科技有限公司 021-55229872, 65333639 www.westang.com 人白介素-18 (IL-18)ELISA 试剂盒 ( 用于血清、血浆、细胞培养上清液和其它生物体液内 ) 原理 本实验采用双抗体夹心 ABC-ELISA 法。用抗人 IL-18 单抗包被于酶标板上,标准品和样品中的 IL-18与单抗结合,加入生物素化的抗人 IL
技术资料暂无技术资料 索取技术资料





![Tyrosinase antibody [T311]](https://img1.dxycdn.com/2022/0328/549/6073967001058300453-14.jpg!wh200)


![CBWD1 antibody [N2C3]](https://img1.dxycdn.com/2022/0328/273/4503846300473300453-14.jpg!wh200)
![Synaptobrevin antibody [SP10]](https://img1.dxycdn.com/2022/0328/621/5115781208007500453-14.jpg!wh200)

