相关产品推荐更多 >
万千商家帮你免费找货
0 人在求购买到急需产品
- 详细信息
- 文献和实验
- 技术资料
- 免疫原:
Recombinant full-length human CD1a protein
- 亚型:
IgG1
- 形态:
Liquid
- 保存条件:
Store as concentrated solution. Centrifuge briefly prior to opening vial. For short-term storage (1-2 weeks), store at 4ºC. For long-term storage, aliquot and store at -20ºC or below. Avoid multiple freeze-thaw cycles.
- 克隆性:
Monoclonal
- 标记物:
Unconjugated
- 适应物种:
Human
- 保质期:
12 months from the shipping date of the product.
- 抗原来源:
Human
- 目录编号:
GTX34471
- 级别:
Primary Antibodies
- 库存:
Available
- 供应商:
GeneTex
- 宿主:
Mouse
- 应用范围:
IHC-P
- 浓度:
0.2 mg/ml (Please refer to the vial label for the specific concentration.)
- 靶点:
CD1a
- 抗体英文名:
CD1a antibody [C1A/711]
- 抗体名:
CD1a 抗体 [C1A/711]
- 规格:
100 μg
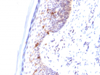
IHC-P analysis of human skin tissue using GTX34471 CD1a antibody [C1A/711].
IHC-P analysis of human skin tissue using GTX34471 CD1a antibody [C1A/711].
风险提示:丁香通仅作为第三方平台,为商家信息发布提供平台空间。用户咨询产品时请注意保护个人信息及财产安全,合理判断,谨慎选购商品,商家和用户对交易行为负责。对于医疗器械类产品,请先查证核实企业经营资质和医疗器械产品注册证情况。
文献和实验CD1a/CD1b/CD1c/CD1d分子 CD1a 常用单克隆抗体或代号:T6,Leu6 主要表达细胞:Thy,DCsub,LHC,Bsub T细胞 分子质量(kDa)和结构:gp49(IgSF) 功 能:与β2m组成MHCI类样分子,有抗原提呈功能 CD1b 常用单克隆抗体或代号:WM-25,4A7.6,NUT2 主要表达细胞:Thy,DC,LHC,Bsub T细胞 分子
,2F12;CRIS-3 Leu LFA-1(gp180/95)的α链 与ICAM-1(CD54)和ICAM-2(CD102)结合 CD11b Mol,OKM1; (Mac-1,CR3,integrin αm G,M,NK gp165/95的α链 C3bi和FB受体,与ICAM-1结合,粘附,调理吞噬 CD11c LeuM5;(CR4,integrin αx) M,G,NK,Tsub gp150/95的α链 C3bi受体,调理吞噬
【进展|热点】分享参加6th International Symposium on CD1 and NKT Cells后的感想
如题, 感觉级别挺很高的,据说Nature immunol.之后都会有简短综述报道 http://www.certain.com/system/profile/web/index.cfm?PKwebID=0x2186723327&varPage=home PROGRAM & SPEAKERS Click here to download and view/print the complete symposium program schedule! ARRIVAL
技术资料暂无技术资料 索取技术资料







![VEGFA antibody [VG1]](https://img1.dxycdn.com/2022/0329/225/8232049106406810453-14.jpg!wh200)
![ZAP70 (phospho Tyr319) / Syk (phospho Tyr352) antibody [GT1686]](https://img1.dxycdn.com/2022/0329/481/5272765032687020453-14.jpg!wh200)
![ZNF703 antibody [GT372]](https://img1.dxycdn.com/2022/0329/939/3601984045895020453-14.jpg!wh200)

