相关产品推荐更多 >
万千商家帮你免费找货
0 人在求购买到急需产品
- 详细信息
- 文献和实验
- 技术资料
- 免疫原:
Recombinant Protein
- 亚型:
IgG1
- 形态:
Liquid
- 保存条件:
Store as concentrated solution. Centrifuge briefly prior to opening vial. For short-term storage (1-2 weeks), store at 4ºC. For long-term storage, aliquot and store at -20ºC or below. Avoid multiple freeze-thaw cycles.
- 克隆性:
Monoclonal
- 标记物:
Unconjugated
- 适应物种:
Human, Mouse, Rat
- 保质期:
12 months from the shipping date of the product.
- 抗原来源:
Human
- 目录编号:
GTX34350
- 级别:
Primary Antibodies
- 库存:
Available
- 供应商:
GeneTex
- 宿主:
Mouse
- 应用范围:
WB, IHC-P
- 浓度:
1 mg/ml (Please refer to the vial label for the specific concentration.)
- 靶点:
Desmin
- 抗体英文名:
Desmin antibody [1B12]
- 抗体名:
Desmin 抗体 [1B12]
- 规格:
100 μl
IHC-P analysis of mouse lung tissue using GTX34350 Desmin antibody [1B12]. Negative control (the lower left coner) was secondary antibody only.
Antigen retrieval : Sodium citrate pH6.0 was used for antibody retrieval (>98ºC, 20min)
Dilution : 1:200
WB analysis of HeLa and HepG2 cell lysates using GTX34350 Desmin antibody [1B12].
IHC-P analysis of mouse heart tissue using GTX34350 Desmin antibody [1B12].
Dilution : 1:200
IHC-P analysis of mouse spleen tissue using GTX34350 Desmin antibody [1B12]. Negative control (the lower left coner) was secondary antibody only.
Antigen retrieval : Sodium citrate pH6.0 was used for antibody retrieval (>98ºC, 20min)
Dilution : 1:200
IHC-P analysis of mouse skeletal muscle tissue using GTX34350 Desmin antibody [1B12].
Dilution : 1:200
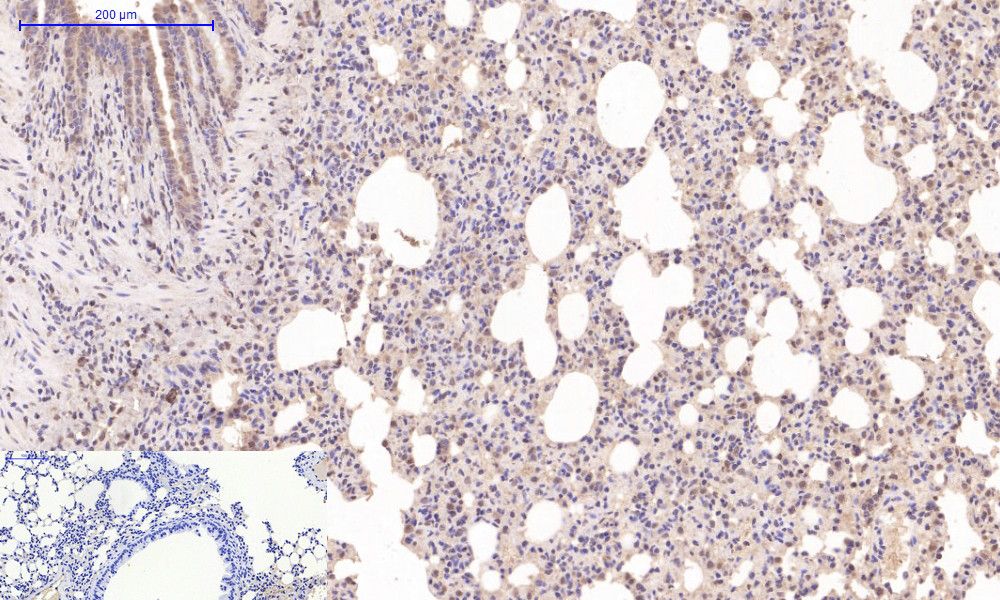
IHC-P analysis of human lung tissue using GTX34350 Desmin antibody [1B12]. Negative control (the lower left coner) was secondary antibody only.
Antigen retrieval : Sodium citrate pH6.0 was used for antibody retrieval (>98ºC, 20min)
Dilution : 1:200
IHC-P analysis of rat heart tissue using GTX34350 Desmin antibody [1B12]. Negative control (the lower left coner) was secondary antibody only.
Antigen retrieval : Sodium citrate pH6.0 was used for antibody retrieval (>98ºC, 20min)
Dilution : 1:200
IHC-P analysis of rat spleen tissue using GTX34350 Desmin antibody [1B12]. Negative control (the lower left coner) was secondary antibody only.
Antigen retrieval : Sodium citrate pH6.0 was used for antibody retrieval (>98ºC, 20min)
Dilution : 1:200
风险提示:丁香通仅作为第三方平台,为商家信息发布提供平台空间。用户咨询产品时请注意保护个人信息及财产安全,合理判断,谨慎选购商品,商家和用户对交易行为负责。对于医疗器械类产品,请先查证核实企业经营资质和医疗器械产品注册证情况。
文献和实验上海西唐生物科技有限公司 021-55229872, 65333639 www.westang.com 人结蛋白 ( Desmin )ELISA 试剂盒 ( 用于血清、血浆、细胞培养上清液和其它生物体液内 ) 原理 本实验采用双抗体夹心 ABC-ELISA 法。用抗人Desmin 单抗包被于酶标板上,标准品和样品中的 Desmin与单抗结合,加入生物素化的抗人 Desmin
&sty=1&tpg=36&age=0 [求助]请问desmin 和 ED-fibronectin抗体 http://www.dxy.cn/bbs/post/view?bid=65&id=5328061&sty=1&tpg=36&age=0 [求助]红细胞膜蛋白SDS-PAGE亮带??? http://www.dxy.cn/bbs/post/view?bid=65&id=5337903&sty=1&tpg=35&age=0 [求助]用Speed Vac真空离心浓缩仪 浓缩
Introduction to Atomic Force Microscopy (AFM) in Biology
). View Image Figure 17.7.9 (A ) Images after nanomanipulation of single desmin intermediate filaments. (B ) Typical lateral force
技术资料暂无技术资料 索取技术资料







![Albumin antibody [1A9]](https://img1.dxycdn.com/2022/0328/144/2638797862964200453-14.jpg!wh200)
![Ki67 antibody [8D5]](https://img1.dxycdn.com/2022/0328/121/6430825748127500453-14.jpg!wh200)
![SAFB antibody [6F7]](https://img1.dxycdn.com/2022/0328/779/4637532605463500453-14.jpg!wh200)
