相关产品推荐更多 >
万千商家帮你免费找货
0 人在求购买到急需产品
- 详细信息
- 文献和实验
- 技术资料
- 免疫原:
Synthetic peptide corresponding to aa (CEDLAGFKELFQTPG) of human KI67, conjugated to KLH.
- 亚型:
IgG1
- 形态:
Liquid
- 保存条件:
Store as concentrated solution. Centrifuge briefly prior to opening vial. For short-term storage (1-2 weeks), store at 4ºC. For long-term storage, aliquot and store at -20ºC or below. Avoid multiple freeze-thaw cycles.
- 克隆性:
Monoclonal
- 标记物:
Unconjugated
- 适应物种:
Human
- 保质期:
12 months from the shipping date of the product.
- 抗原来源:
Human
- 目录编号:
GTX82777
- 级别:
Primary Antibodies
- 库存:
Available
- 供应商:
GeneTex
- 宿主:
Mouse
- 应用范围:
WB, ICC/IF, IHC-P, ELISA
- 靶点:
Ki67
- 抗体英文名:
Ki67 antibody [8D5]
- 抗体名:
Ki67 抗体 [8D5]
- 规格:
100 μl
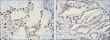
IHC-P analysis of lung cancer (left) and rectal cancer (right) using GTX82777 Ki67 antibody [8D5].
WB analysis of HeLa (1), MCF-7 (2) and Raji (3) cell lysate using GTX82777 Ki67 antibody [8D5].
风险提示:丁香通仅作为第三方平台,为商家信息发布提供平台空间。用户咨询产品时请注意保护个人信息及财产安全,合理判断,谨慎选购商品,商家和用户对交易行为负责。对于医疗器械类产品,请先查证核实企业经营资质和医疗器械产品注册证情况。
文献和实验Agarwal R et al., J Tissue Eng Regen Med 2019 (PMID:30811860)
baibai17 今天开题,导师问了个问题:ki67为什么叫ki67?当场傻住······恳请各位老师指教!谢谢。 keavin521 The Ki-67 protein was originally defined by the prototype monoclonal antibody Ki-67 (Gerdes et al., 1983),which was generated by immunizing mice
【求助】谢谢,请问ki67、PCNA、P53的英文全称是什么?
东德公民 谢谢,请问ki67、PCNA、P53的英文全称是什么?加急,谢谢 zhujoker p53 :also known as protein 53 or tumor protein 53, is a transcription factor which in humans is encoded by the TP53 gene。 p53 is important in multicellular organisms
STM:广州医科大学刘铭/谢茂彬合作发现肝细胞癌的新潜在治疗靶点 Claudin 6
组于 Science Translational Medicine 杂志(STM)在线发表题为 Targeting tumor lineage plasticity in hepatocellular carcinoma using an anti-CLDN6 antibody-drug conjugate 的研究论文。这项研究揭示了细胞紧密连接(tight junction)蛋白 Claudin 6 通过调控肝癌细胞的谱系可塑性(lineage plasticity),促进肝癌进展与耐药的机制,并初步报道
技术资料暂无技术资料 索取技术资料





![Calpain 3 antibody [Calp3d/2C4]](https://img1.dxycdn.com/2022/0328/595/8308905408328700453-14.jpg!wh200)


![MHC Class I RT1Ac antibody [OX-27]](https://img1.dxycdn.com/2022/0329/490/6348992937854020453-14.jpg!wh200)


