相关产品推荐更多 >
万千商家帮你免费找货
0 人在求购买到急需产品
- 详细信息
- 文献和实验
- 技术资料
- 免疫原:
synthetic peptide derived from Caspase-3 at 20-100 aa.
- 亚型:
IgG1
- 形态:
Liquid
- 保存条件:
Store as concentrated solution. Centrifuge briefly prior to opening vial. For short-term storage (1-2 weeks), store at 4ºC. For long-term storage, aliquot and store at -20ºC or below. Avoid multiple freeze-thaw cycles.
- 克隆性:
Monoclonal
- 标记物:
Unconjugated
- 适应物种:
Human, Mouse
- 保质期:
12 months from the shipping date of the product.
- 抗原来源:
Human
- 目录编号:
GTX34166
- 级别:
Primary Antibodies
- 库存:
Available
- 供应商:
GeneTex
- 宿主:
Mouse
- 应用范围:
IHC-P
- 浓度:
1 mg/ml (Please refer to the vial label for the specific concentration.)
- 靶点:
Caspase 3
- 抗体英文名:
Caspase 3 antibody [5H10]
- 抗体名:
Caspase 3 抗体 [5H10]
- 规格:
100 μl
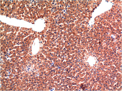
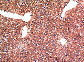
IHC-P analysis of mouse liver tissue using GTX34166 Caspase 3 antibody [5H10].
Dilution : 1:200
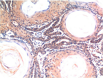
IHC-P analysis of human skin tissue using GTX34166 Caspase 3 antibody [5H10].
Dilution : 1:200
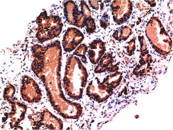
IHC-P analysis of human prostate tissue using GTX34166 Caspase 3 antibody [5H10].
Dilution : 1:200
风险提示:丁香通仅作为第三方平台,为商家信息发布提供平台空间。用户咨询产品时请注意保护个人信息及财产安全,合理判断,谨慎选购商品,商家和用户对交易行为负责。对于医疗器械类产品,请先查证核实企业经营资质和医疗器械产品注册证情况。
文献和实验或 C6 cells 作为 cleaved caspase-3 的阳性参照。更多靶点的阳性对照,请登陆CST网站——研究——靶标的阳性对照处理。图二 蛋白质印迹分析(图源自CST Caspase-3 Antibody #9662 抗体说明书)为什么所有的实验都要设置对照?无论是初高中刚接触生物学实验设计还是上研究生后发表 SCI 文章,老师们以及 reviewer 都会敲着「黑板」强调强调再强调,每一个实验都必须有对照!因为设置适当的阴性、阳性甚至空白对照对于实验结果的准确、有效阐释至关重要!阅历丰富
【求助】请问western blot做凋亡检测时,识别caspase-3酶原和激活的caspase-3的抗体是相同的吗?
-caspase-3(#9664)和原形态的caspase-3(#9662),但是需要说明的是,原形态的caspase-3抗体也可以同时检测剪切态的caspase-3,所以建议购买原形态的caspase-3就行了。 (如下图所示) 另外,PARP也是购买全长的就行了,(PARP Antibody #9542)。 lsdcfhyj 谢谢两位的回答 本文由丁香园论坛提供,想了解更多有用的、有意思的前沿资讯以及酷炫的实验
【求助】请教各位师兄,师姐,caspase-3 抗体哪家公司的既便宜又好用啊?
aidiandian 请教各位师兄,师姐,caspase-3 抗体哪家公司的既便宜又好用啊?在下不胜感激··· w_dennis 各位师兄师姐,本人同问该问题,还有caspase-9抗体? nccunccu cell signalling seagate cst有sample kit,带全了,每样40微升 selenium
技术资料暂无技术资料 索取技术资料






![MyoD1 antibody [5.2F] (ready-to-use)](https://img1.dxycdn.com/2022/0328/405/0473645237010400453-14.jpg!wh200)


![Cathepsin S antibody [AT1F9]](https://img1.dxycdn.com/2022/0328/604/8918041567070800453-14.jpg!wh200)
