相关产品推荐更多 >
万千商家帮你免费找货
0 人在求购买到急需产品
- 详细信息
- 文献和实验
- 技术资料
- 免疫原:
Carrier-protein conjugated synthetic peptide encompassing a sequence within the C-terminus region of mouse G protein beta. The exact sequence is proprietary.
- 亚型:
IgG
- 形态:
Liquid
- 保存条件:
Store as concentrated solution. Centrifuge briefly prior to opening vial. For short-term storage (1-2 weeks), store at 4ºC. For long-term storage, aliquot and store at -20ºC or below. Avoid multiple freeze-thaw cycles.
- 克隆性:
Polyclonal
- 标记物:
Unconjugated
- 适应物种:
Human
- 保质期:
12 months from the shipping date of the product.
- 抗原来源:
Mouse
- 目录编号:
GTX133801
- 级别:
Primary Antibodies
- 库存:
Available
- 供应商:
GeneTex
- 宿主:
Rabbit
- 应用范围:
WB, ICC/IF, IHC-P
- 浓度:
0.93 mg/ml (Please refer to the vial label for the specific concentration.)
- 靶点:
G protein beta
- 抗体英文名:
G protein beta antibody
- 抗体名:
G protein beta 抗体
- 规格:
100 μl/25 μl
| 规格: | 100 μl | 产品价格: | ¥4000.0 |
|---|---|---|---|
| 规格: | 25 μl | 产品价格: | ¥1700.0 |
G protein beta antibody detects G protein beta protein at cell membrane and cytoplasm by immunofluorescent analysis.
Sample: Jurkat cells were fixed in 4% PFA at RT for 15 min.
Green: G protein beta protein stained by G protein beta antibody (GTX133801) diluted at 1:500.
Blue: Hoechst 33342 staining.
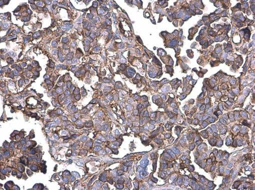
G protein beta antibody detects G protein beta protein at cell membrane and cytoplasm by immunohistochemical analysis.
Sample: Paraffin-embedded human ovarian cancer.
G protein beta stained by G protein beta antibody (GTX133801) diluted at 1:500.
Antigen Retrieval: Citrate buffer, pH 6.0, 15 min
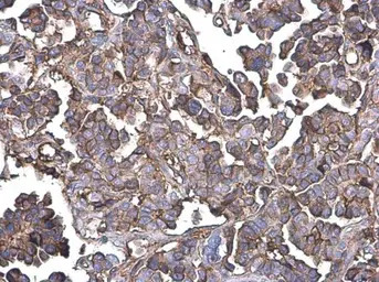
G protein beta antibody detects G protein beta protein at cell membrane and cytoplasm by immunohistochemical analysis.
Sample: Paraffin-embedded human colon cancer.
G protein beta stained by G protein beta antibody (GTX133801) diluted at 1:500.
Antigen Retrieval: Citrate buffer, pH 6.0, 15 min
Various whole cell extracts (30 μg) were separated by 10% SDS-PAGE, and the membranes were blotted with G protein beta antibody (GTX133801) diluted at 1:1000 and competitor's antibody (sc-378) diluted at 1:1000. The HRP-conjugated anti-rabbit IgG antibody (GTX213110-01) was used to detect the primary antibody.
风险提示:丁香通仅作为第三方平台,为商家信息发布提供平台空间。用户咨询产品时请注意保护个人信息及财产安全,合理判断,谨慎选购商品,商家和用户对交易行为负责。对于医疗器械类产品,请先查证核实企业经营资质和医疗器械产品注册证情况。
文献和实验ANTIBODY BINDING TO PROTEIN A AND PROTEIN G
Protein A, derived from the cell wall of Staphylococcus aureus , and protein G, derived from the cell wall of certain strains of b -hemolytic Streptococcci , binds the Fc region
Antibody Purification: Affinity Chromatography Protein A and Protein G Sepharose
Affinity chromatography relies on the reversible interaction between a protein and a specific ligand immobilized in a chromatographic matrix. The sample is applied under conditions that favor specific binding to the ligand as the result
Analysis and Purification of Antibody Fragments Using Protein A, Protein G, and Protein L
Today, monoclonal antibodies (mAbs) form the largest category of biopharmaceuticals in clinical trials and their number is expanding rapidly (DataMonitor 2007). The antibodies or functional antibody fragments are being produced in artificial
技术资料暂无技术资料 索取技术资料





![CDKN2A / p16INK4a antibody [IHC016]](https://img1.dxycdn.com/2022/0328/259/1273171846755600453-14.jpg!wh200)



![NELL1 antibody [C1C3]](https://img1.dxycdn.com/2021/0406/914/7593087292721793743-14.jpg!wh200)

