相关产品推荐更多 >
万千商家帮你免费找货
0 人在求购买到急需产品
- 详细信息
- 文献和实验
- 技术资料
- 免疫原:
Recombinant Human Annexin A1 protein.
- 亚型:
IgG1
- 形态:
Liquid
- 保存条件:
Store as concentrated solution. Centrifuge briefly prior to opening vial. Store at 4ºC. DO NOT FREEZE.
- 克隆性:
Monoclonal
- 标记物:
Unconjugated
- 适应物种:
Human
- 保质期:
12 months from the shipping date of the product.
- 抗原来源:
Human
- 目录编号:
GTX57177
- 级别:
Primary Antibodies
- 库存:
Available
- 供应商:
GeneTex
- 宿主:
Mouse
- 应用范围:
IHC-P
- 浓度:
Batch dependent (Please refer to the vial label for the specific concentration.)
- 靶点:
Annexin A1
- 抗体英文名:
Annexin A1 antibody [IHC512]
- 抗体名:
Annexin A1 抗体 [IHC512]
- 规格:
500 μl
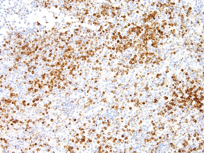
IHC-P analysis of human spleen tissue using GTX57177 Annexin A1 antibody [IHC512]
风险提示:丁香通仅作为第三方平台,为商家信息发布提供平台空间。用户咨询产品时请注意保护个人信息及财产安全,合理判断,谨慎选购商品,商家和用户对交易行为负责。对于医疗器械类产品,请先查证核实企业经营资质和医疗器械产品注册证情况。
文献和实验人a1-抗胰蛋白酶(a1-Antitrypsin)ELISA试剂盒 说明书
ml 标准品( Standards ): 200ug/ 瓶 2 瓶 底物工作液( TMB Solution ) 12ml 第一抗体工作液( Biotinylated Antibody ) 12ml 终止
Annexin V-PI 双染法 在细胞凋亡的早期就有细胞膜表面破损发生。破损时凋亡细胞表面的磷脂腺丝氨酸(PS)可以从细胞内膜翻转至细胞的外膜。该过程发生在DNA片段化之前,因而检测PS的表达,能反映早期凋亡。AnnexinV是相对分子质量为35 000大小的Ca2+依赖的磷脂结合蛋白,对PS有很高的亲和性,并且可以与暴露于细胞外的PS相结合。利用这一原理,可以将AnnexinV标记荧光来识别早期的细胞凋亡。通常利用AnnexinV-FITC和碘化丙啶(P1)来区分凋亡和坏死细胞。PI
Immunohistochemistry (IHC) of Thymus Frozen Sections
a slide from PBS and wipe edges of each slide with KimWipe to create a static barrier. Add 175 µL of 1º antibody to each slide. Cover with a lid x1hr. Rinse by dipping in 2 staing jars containing PBS. Soak in a 3rd PBS jar x5 min. Add 175
技术资料暂无技术资料 索取技术资料







![Doublecortin antibody [N3C3]](https://img1.dxycdn.com/2022/0328/727/5417630433566200453-14.jpg!wh200)



