相关产品推荐更多 >
万千商家帮你免费找货
0 人在求购买到急需产品
- 详细信息
- 文献和实验
- 技术资料
- 免疫原:
Recombinant protein encompassing a sequence within the center region of PRRS virus M protein (PRRS virus (strain VR-2332)). The exact sequence is proprietary.
- 亚型:
IgG
- 形态:
Liquid
- 保存条件:
Store as concentrated solution. Centrifuge briefly prior to opening vial. For short-term storage (1-2 weeks), store at 4ºC. For long-term storage, aliquot and store at -20ºC or below. Avoid multiple freeze-thaw cycles.
- 克隆性:
Polyclonal
- 标记物:
Unconjugated
- 适应物种:
PRRS virus
- 保质期:
12 months from the shipping date of the product.
- 抗原来源:
PRRS virus
- 目录编号:
GTX129063
- 级别:
Primary Antibodies
- 库存:
Available
- 供应商:
GeneTex
- 宿主:
Rabbit
- 应用范围:
WB, ICC/IF, IHC-P
- 浓度:
0.74 mg/ml (Please refer to the vial label for the specific concentration.)
- 靶点:
PRRS virus M protein
- 抗体英文名:
PRRS virus M protein antibody
- 抗体名:
PRRS virus M protein 抗体
- 规格:
100 μl/25 μl
| 规格: | 100 μl | 产品价格: | ¥4000.0 |
|---|---|---|---|
| 规格: | 25 μl | 产品价格: | ¥1700.0 |
Non-infected (–) and infected (+) Marc-145 whole cell extract (5 μg) were separated by 15% SDS-PAGE, and the membrane was blotted with PRRS virus M protein antibody (GTX129063) diluted at 1:1000. The HRP-conjugated anti-rabbit IgG antibody (GTX213110-01) was used to detect the primary antibody.
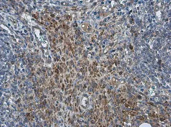
PRRS virus M protein antibody detects PRRSV at macrophages in PRRS virus-infected swine lymph node by immunohistochemical analysis.
Sample: Paraffin-embedded PRRS virus-infected swine lymph node.
PRRS virus M protein antibody (GTX129063) diluted at 1:500.
Antigen Retrieval: Citrate buffer, pH 6.0, 15 min
Immunofluorescent analysis of PRRSV infected Marc-145 cells using PRRS virus M protein antibody .
Sample: Marc-145 cells mock (left) and infected with North American (type II) genotypes PRRSV (right, MOI=1) were fixed in 4% formaldehyde at 4oC for 10 min and permeabilized with 0.1% Triton X-100 on ice for 5 min.
Green: PRRS virus M protein stained by PRRS virus M protein antibody (GTX129063) diluted at 1:500.
风险提示:丁香通仅作为第三方平台,为商家信息发布提供平台空间。用户咨询产品时请注意保护个人信息及财产安全,合理判断,谨慎选购商品,商家和用户对交易行为负责。对于医疗器械类产品,请先查证核实企业经营资质和医疗器械产品注册证情况。
文献和实验Morozumi T et al., J Virol Methods 2021 (PMID:33238183)
技术资料暂无技术资料 索取技术资料






![S100A8 + S100A9 antibody [27E10]](https://img1.dxycdn.com/2022/0328/130/5972337286887300453-14.jpg!wh200)



