万千商家帮你免费找货
0 人在求购买到急需产品
- 详细信息
- 技术资料
- 靶点:
SLC2A4RG
- 克隆性:
多克隆
- 抗体英文名:
Anti-SLC2A4RG
- 抗体名:
葡萄糖转运蛋白4增强因子抗体
- 免疫原:
KLH conjugated synthetic peptide derived from human SLC2A4RG/GLUT4 enhancer factor
- 亚型:
IgG
- 形态:
冻干或液体
- 应用范围:
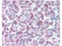
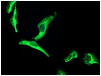
WB,ELISA,IP,ICC等
- 浓度:
1mg/1ml
- 保存条件:
-20 °C
- 规格:
0.2ml/200μg
葡萄糖转运蛋白4增强因子抗体产品描述:
英文名称 葡萄糖转运蛋白4增强因子抗体
中文名称 Anti-SLC2A4RG
别 名 GEF; GLUT4 enhancer factor; HDBP 1; HDBP-1; HDBP1; Huntington disease gene regulatory region binding protein 1; Huntington disease gene regulatory region-binding protein 1; S2A4R_HUMAN; Si 1 2 19; Si 1 2; SLC2A4 regulator; SLC2A4RG; Zinc finger protein 2 5 Glut4 enhancer factor.
浓 度 1mg/1ml
规 格 0.2ml/200μg
抗体来源 Rabbit
克隆类型 polyclonal
交叉反应 Human, Cow, Sheep
产品类型 一抗
研究领域 细胞生物 信号转导 转录调节因子 表观遗传学
蛋白分子量 predicted molecular weight:41kDa
性 状 Lyophilized or Liquid
免 疫 原 KLH conjugated synthetic peptide derived from human SLC2A4RG/GLUT4 enhancer factor
亚 型 IgG
纯化方法 affinity purified by Protein A
储 存 液 Preservative: 15mM Sodium Azide, Constituents: 1% BSA, 0.01M PBS, pH 7.4
产品应用 WB=1:100-500 ELISA=1:500-1000 IHC-P=1:100-500 IHC-F=1:100-500 IF=1:50-200
葡萄糖转运蛋白4增强因子抗体订购说明:
几种抗体概述:
1.抗角蛋白抗体(AKA),又称为抗丝集蛋白抗体或抗角质层抗体。AKA是类风湿关节炎早期诊断和判断预后的指标之一,其对RA患者的诊断的特异性为94% ,而其敏感性为47% ,并是一种鉴别RA和与多发性关节炎相关的丙型肝炎患者的有效检验标记物。
2.抗核周因子( APF), 是定位于口腔黏附膜细胞胞质内的颗粒性蛋白复合物。可在RA患者的血清和关节液中测出,与性别、年龄无关。APF显示了较强的特异性(73%~99%)和敏感性。用间接免疫荧光法检测,方法精密度较差。
3.抗环瓜氨酸肽抗体(CCP),具有相对好的敏感度和特异性。其实,抗核周因子和抗角蛋白抗体,与CCP在化学结构上具有相关性,它们的表位都含有瓜氨酸,称为瓜氨酸相关自身免疫系统。
葡萄糖转运蛋白4增强因子抗体实验流程:
公司还提供:
叉头蛋白I1抗体
叉头蛋白D4
磷酸化叉头蛋白L2抗体
叉头蛋白N2抗体
磷酸化叉头蛋白家族1抗体
磷酸化叉头蛋白4抗体
单跨膜蛋白FOXRED1抗体
FOXRED2蛋白抗体
岩藻糖1磷酸鸟苷酰转移酶抗体
细胞外基质蛋白FREM1抗体
细胞外基质蛋白FREM2抗体
面肩肱型肌营养不良症相关蛋白FRG1抗体
葡萄糖转运蛋白4增强因子抗体地衣芽孢杆菌 Bacillus licheniformis植物杆菌 Lactobacillus plantarum
苏云金芽胞杆菌亚毒亚种 Bacillus thuringiensis subsp. subtoxicus根瘤菌 Rhizobium sp.
小鼠支气管成纤维细胞完全培养基大鼠成肌细胞
涎沫假丝酵母 Candida zeylanoides曲霉属 Aspergillus sp.
香菇 Lentinula edodes地衣芽孢杆菌 Bacillus licheniformis
4T1(小鼠腺细胞)大豆慢生根瘤菌 Bradyrhizobium japonicum
特异青霉(点青霉) Penicillium notatumNCI-H1299(人非小细胞肺细胞)
苜蓿中华根瘤菌炭黑曲霉 Aspergillus carbonarius
英文名称 葡萄糖转运蛋白4增强因子抗体
中文名称 Anti-SLC2A4RG
别 名 GEF; GLUT4 enhancer factor; HDBP 1; HDBP-1; HDBP1; Huntington disease gene regulatory region binding protein 1; Huntington disease gene regulatory region-binding protein 1; S2A4R_HUMAN; Si 1 2 19; Si 1 2; SLC2A4 regulator; SLC2A4RG; Zinc finger protein 2 5 Glut4 enhancer factor.
浓 度 1mg/1ml
规 格 0.2ml/200μg
抗体来源 Rabbit
克隆类型 polyclonal
交叉反应 Human, Cow, Sheep
产品类型 一抗
研究领域 细胞生物 信号转导 转录调节因子 表观遗传学
蛋白分子量 predicted molecular weight:41kDa
性 状 Lyophilized or Liquid
免 疫 原 KLH conjugated synthetic peptide derived from human SLC2A4RG/GLUT4 enhancer factor
亚 型 IgG
纯化方法 affinity purified by Protein A
储 存 液 Preservative: 15mM Sodium Azide, Constituents: 1% BSA, 0.01M PBS, pH 7.4
产品应用 WB=1:100-500 ELISA=1:500-1000 IHC-P=1:100-500 IHC-F=1:100-500 IF=1:50-200
葡萄糖转运蛋白4增强因子抗体订购说明:
| 价格 | 价格以市场走向为准,准确的报价还请客户向我们咨询; |
| 供应 | 我司产品一般都是现货直销,但不排除供应紧张的情况,无论新老客户,提前订购,都能够百分百获得新出厂的批次; |
| 运输 | 支持快递包邮,当天下单即可当天发货; |
| 售后 | 我司提供周到的售后服务,支持退换货,后期如遇技术难题,还可获取我司的技术咨询和帮助。 |
几种抗体概述:
1.抗角蛋白抗体(AKA),又称为抗丝集蛋白抗体或抗角质层抗体。AKA是类风湿关节炎早期诊断和判断预后的指标之一,其对RA患者的诊断的特异性为94% ,而其敏感性为47% ,并是一种鉴别RA和与多发性关节炎相关的丙型肝炎患者的有效检验标记物。
2.抗核周因子( APF), 是定位于口腔黏附膜细胞胞质内的颗粒性蛋白复合物。可在RA患者的血清和关节液中测出,与性别、年龄无关。APF显示了较强的特异性(73%~99%)和敏感性。用间接免疫荧光法检测,方法精密度较差。
3.抗环瓜氨酸肽抗体(CCP),具有相对好的敏感度和特异性。其实,抗核周因子和抗角蛋白抗体,与CCP在化学结构上具有相关性,它们的表位都含有瓜氨酸,称为瓜氨酸相关自身免疫系统。
葡萄糖转运蛋白4增强因子抗体实验流程:
公司还提供:
叉头蛋白I1抗体
叉头蛋白D4
磷酸化叉头蛋白L2抗体
叉头蛋白N2抗体
磷酸化叉头蛋白家族1抗体
磷酸化叉头蛋白4抗体
单跨膜蛋白FOXRED1抗体
FOXRED2蛋白抗体
岩藻糖1磷酸鸟苷酰转移酶抗体
细胞外基质蛋白FREM1抗体
细胞外基质蛋白FREM2抗体
面肩肱型肌营养不良症相关蛋白FRG1抗体
葡萄糖转运蛋白4增强因子抗体地衣芽孢杆菌 Bacillus licheniformis植物杆菌 Lactobacillus plantarum
苏云金芽胞杆菌亚毒亚种 Bacillus thuringiensis subsp. subtoxicus根瘤菌 Rhizobium sp.
小鼠支气管成纤维细胞完全培养基大鼠成肌细胞
涎沫假丝酵母 Candida zeylanoides曲霉属 Aspergillus sp.
香菇 Lentinula edodes地衣芽孢杆菌 Bacillus licheniformis
4T1(小鼠腺细胞)大豆慢生根瘤菌 Bradyrhizobium japonicum
特异青霉(点青霉) Penicillium notatumNCI-H1299(人非小细胞肺细胞)
苜蓿中华根瘤菌炭黑曲霉 Aspergillus carbonarius
风险提示:丁香通仅作为第三方平台,为商家信息发布提供平台空间。用户咨询产品时请注意保护个人信息及财产安全,合理判断,谨慎选购商品,商家和用户对交易行为负责。对于医疗器械类产品,请先查证核实企业经营资质和医疗器械产品注册证情况。
技术资料暂无技术资料 索取技术资料
葡萄糖转运蛋白4增强因子抗体
询价









