相关产品推荐更多 >
万千商家帮你免费找货
0 人在求购买到急需产品
- 详细信息
- 技术资料
- 靶点:
Syntenin 1
- 克隆性:
多克隆
- 抗体英文名:
Anti-Syntenin 1
- 抗体名:
多配体聚糖结合蛋白1抗体
- 免疫原:
KLH conjugated synthetic peptide derived from human Syntenin 1
- 亚型:
IgG
- 形态:
冻干或液体
- 应用范围:
WB,ELISA,IP,ICC等
- 浓度:
1mg/1ml
- 保存条件:
-20 °C
- 规格:
0.2ml/200μg
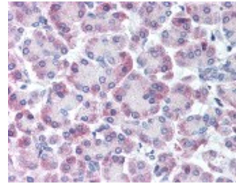
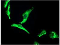
多配体聚糖结合蛋白1抗体产品描述:
英文名称 多配体聚糖结合蛋白1抗体
中文名称 Anti-Syntenin 1
别 名 Sdcbp; MDA-9; MDA9; Melanoma differentiation-associated protein 9; Pro-TGF-alpha cytoplasmic domain-interacting protein 18; Scaffold protein Pbp1; SDCB1_HUMAN; Sdcbp; ST1; SYCL; Syndecan binding protein 1; Syndecan-binding protein 1; Syntenin 1; Syntenin-1; TACIP18.
浓 度 1mg/1ml
规 格 0.2ml/200μg
抗体来源 Rabbit
克隆类型 polyclonal
交叉反应 Human, Mouse, Rat, Chicken, Dog, Rabbit
产品类型 一抗
研究领域 细胞生物 神经生物学 细胞类型标志物
蛋白分子量 predicted molecular weight:32kDa
性 状 Lyophilized or Liquid
免 疫 原 KLH conjugated synthetic peptide derived from human Syntenin 1
亚 型 IgG
纯化方法 affinity purified by Protein A
储 存 液 Preservative: 15mM Sodium Azide, Constituents: 1% BSA, 0.01M PBS, pH 7.4
产品应用 WB=1:100-500 ELISA=1:500-1000 IHC-P=1:100-500 IHC-F=1:100-500 ICC=1:100-500 IF=1:100-500
多配体聚糖结合蛋白1抗体订购说明:
几种抗体概述:
1.抗角蛋白抗体(AKA),又称为抗丝集蛋白抗体或抗角质层抗体。AKA是类风湿关节炎早期诊断和判断预后的指标之一,其对RA患者的诊断的特异性为94% ,而其敏感性为47% ,并是一种鉴别RA和与多发性关节炎相关的丙型肝炎患者的有效检验标记物。
2.抗核周因子( APF), 是定位于口腔黏附膜细胞胞质内的颗粒性蛋白复合物。可在RA患者的血清和关节液中测出,与性别、年龄无关。APF显示了较强的特异性(73%~99%)和敏感性。用间接免疫荧光法检测,方法精密度较差。
3.抗环瓜氨酸肽抗体(CCP),具有相对好的敏感度和特异性。其实,抗核周因子和抗角蛋白抗体,与CCP在化学结构上具有相关性,它们的表位都含有瓜氨酸,称为瓜氨酸相关自身免疫系统。
多配体聚糖结合蛋白1抗体实验流程:
公司还提供:
钙腔蛋白
6号染色体开放阅读框222抗体
二氢嘧啶酶相关蛋白1抗体
细胞凋亡诱导蛋白NALP3抗体
周期素B2抗体
氯霉素单克隆抗体
CD98重链抗原抗体
膜蛋白CLDND1抗体
细胞色素C P450 17A1抗体
钙蛋白酶抑制蛋白抗体
胞浆钙独立磷脂酶A2抗体
细胞分裂核仁蛋白1抗体
多配体聚糖结合蛋白1抗体HIC(人小肠细胞)苜蓿中华根瘤菌
酸球菌 Lactococcus lactisrCF, 大鼠心脏成纤维细胞
苜蓿中华根瘤菌屎肠球菌 Enterococcus faecium
SGC-7901, 人胃腺细胞系苜蓿中华根瘤菌 Sinorhizobium meliloti
戊糖杆菌 Lactobacillus pentosus人脐静脉平滑肌细胞完全培养基
毛柄金钱菌(金针菇) Flammulina velutipesMLF, 小鼠淋巴成纤维细胞
放射形土壤杆菌 Agrobacterium radiobacter宇佐美曲霉 Aspergillus usamii
4T1(小鼠腺细胞)褐球固氮菌(需一周准备) Azotobacter chrooccum
英文名称 多配体聚糖结合蛋白1抗体
中文名称 Anti-Syntenin 1
别 名 Sdcbp; MDA-9; MDA9; Melanoma differentiation-associated protein 9; Pro-TGF-alpha cytoplasmic domain-interacting protein 18; Scaffold protein Pbp1; SDCB1_HUMAN; Sdcbp; ST1; SYCL; Syndecan binding protein 1; Syndecan-binding protein 1; Syntenin 1; Syntenin-1; TACIP18.
浓 度 1mg/1ml
规 格 0.2ml/200μg
抗体来源 Rabbit
克隆类型 polyclonal
交叉反应 Human, Mouse, Rat, Chicken, Dog, Rabbit
产品类型 一抗
研究领域 细胞生物 神经生物学 细胞类型标志物
蛋白分子量 predicted molecular weight:32kDa
性 状 Lyophilized or Liquid
免 疫 原 KLH conjugated synthetic peptide derived from human Syntenin 1
亚 型 IgG
纯化方法 affinity purified by Protein A
储 存 液 Preservative: 15mM Sodium Azide, Constituents: 1% BSA, 0.01M PBS, pH 7.4
产品应用 WB=1:100-500 ELISA=1:500-1000 IHC-P=1:100-500 IHC-F=1:100-500 ICC=1:100-500 IF=1:100-500
多配体聚糖结合蛋白1抗体订购说明:
| 价格 | 价格以市场走向为准,准确的报价还请客户向我们咨询; |
| 供应 | 我司产品一般都是现货直销,但不排除供应紧张的情况,无论新老客户,提前订购,都能够百分百获得新出厂的批次; |
| 运输 | 支持快递包邮,当天下单即可当天发货; |
| 售后 | 我司提供周到的售后服务,支持退换货,后期如遇技术难题,还可获取我司的技术咨询和帮助。 |
几种抗体概述:
1.抗角蛋白抗体(AKA),又称为抗丝集蛋白抗体或抗角质层抗体。AKA是类风湿关节炎早期诊断和判断预后的指标之一,其对RA患者的诊断的特异性为94% ,而其敏感性为47% ,并是一种鉴别RA和与多发性关节炎相关的丙型肝炎患者的有效检验标记物。
2.抗核周因子( APF), 是定位于口腔黏附膜细胞胞质内的颗粒性蛋白复合物。可在RA患者的血清和关节液中测出,与性别、年龄无关。APF显示了较强的特异性(73%~99%)和敏感性。用间接免疫荧光法检测,方法精密度较差。
3.抗环瓜氨酸肽抗体(CCP),具有相对好的敏感度和特异性。其实,抗核周因子和抗角蛋白抗体,与CCP在化学结构上具有相关性,它们的表位都含有瓜氨酸,称为瓜氨酸相关自身免疫系统。
多配体聚糖结合蛋白1抗体实验流程:
公司还提供:
钙腔蛋白
6号染色体开放阅读框222抗体
二氢嘧啶酶相关蛋白1抗体
细胞凋亡诱导蛋白NALP3抗体
周期素B2抗体
氯霉素单克隆抗体
CD98重链抗原抗体
膜蛋白CLDND1抗体
细胞色素C P450 17A1抗体
钙蛋白酶抑制蛋白抗体
胞浆钙独立磷脂酶A2抗体
细胞分裂核仁蛋白1抗体
多配体聚糖结合蛋白1抗体HIC(人小肠细胞)苜蓿中华根瘤菌
酸球菌 Lactococcus lactisrCF, 大鼠心脏成纤维细胞
苜蓿中华根瘤菌屎肠球菌 Enterococcus faecium
SGC-7901, 人胃腺细胞系苜蓿中华根瘤菌 Sinorhizobium meliloti
戊糖杆菌 Lactobacillus pentosus人脐静脉平滑肌细胞完全培养基
毛柄金钱菌(金针菇) Flammulina velutipesMLF, 小鼠淋巴成纤维细胞
放射形土壤杆菌 Agrobacterium radiobacter宇佐美曲霉 Aspergillus usamii
4T1(小鼠腺细胞)褐球固氮菌(需一周准备) Azotobacter chrooccum
风险提示:丁香通仅作为第三方平台,为商家信息发布提供平台空间。用户咨询产品时请注意保护个人信息及财产安全,合理判断,谨慎选购商品,商家和用户对交易行为负责。对于医疗器械类产品,请先查证核实企业经营资质和医疗器械产品注册证情况。
技术资料暂无技术资料 索取技术资料
多配体聚糖结合蛋白1抗体
询价









