万千商家帮你免费找货
0 人在求购买到急需产品
- 详细信息
- 文献和实验
- 技术资料
- 供应商:
上海莼试
- 库存:
15
- 靶点:
GLT8D1
- 克隆性:
多克隆
- 保质期:
详见说明书
- 抗体英文名:
Anti-GLT8D1
- 抗体名:
糖基转移酶8结构域1抗体
- 标记物:
HRP等
- 宿主:
鼠,牛,马,兔,羊等
- 适应物种:
Human, Mouse, Rat等
- 亚型:
IgG
- 形态:
液体或固体
- 应用范围:
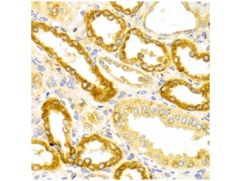
WB IHC-P IHC-F IF
- 浓度:
10mg/ml
- 保存条件:
密封保存
- 规格:
100ul
英文名称:Anti-GLT8D1
库存地:上海库
货期:现货
价格:以咨询为准!
用途:仅供高校实验室以及科研单位使用
公司优势:
1.拥有一批专业高效的团队,专门解决客户在实验过程中遇到的各种难题;
2.多年的应用经验积累;
3. 糖基转移酶8结构域1抗体规格牌号齐全,满足不同客户的使用需求;
4.库存充足,供货周期短,能解决客户的急需问题;
5.我们秉承诚信至上、务实做事的信条,是客户值得信赖的合作伙伴。
免疫组化结果分析:
1、首先要确定免疫组化技术是否合格,合格的染色结果应该是背景颜色浅淡或无着色,而阳性标志物清晰和定位明确。
切片中的正常组织可以作为最简便的对照来判断染色结果的可靠与否,例如用Vimentin抗体,间质成纤维细胞利血管壁平滑肌细胞胞浆应呈阳性。肯定为阳性的对照组织却呈阴性,待测组织的染色结果也就不可靠;这现象常是由于抗体失效或过度稀释、组织中抗原严重丢失等。
2、不仅要判断所检组织中有或无阳性标记物,还要注意阳性信号的分布部位和形态特征。
一般说来,阳性信号应与被测抗原所在的部位一致,大部分细胞抗原位于胞质内,其中亦有区别,有的阳性颗粒弥散于整个细胞的胞质,有的则呈斑块状局限于胞浆某处。还有些抗原同时分布于胞质和胞膜(如胃肠腺癌细胞的EMA),或核与胞质(如S-100、HMB-45)。同一种抗原在不同类型的细胞可定位不同,因而分布的特点也有一定的鉴别意义。
糖基转移酶8结构域1抗体相关的其他优势产品:
跨膜蛋白158抗体
Tau微管蛋白激酶2抗体
谷氨酰胺转胺酶6抗体
共济失调蛋白8抗体
跨膜蛋白59样蛋白抗体
艾滋病病毒-1包膜糖蛋白抗体
HHLA1蛋白抗体
HER2抗体
绒毛膜促性腺激素β亚基单抗
类乳头状瘤病毒18 E6抗体
I类组织相容性H-2抗原抗体D-Dalpha链抗体 Anti-H-2Dd 100ul
HEAT重复内含蛋白5A蛋白抗体 Anti-HEATR5A 100ul
热休克蛋白70抗体 Anti-HSP70 100ul
羟类固醇脱氢酶17β抗体 Anti-HSD17B8 100ul
透明质酸结合蛋白4抗体 Anti-HABP4 100ul
槟榔花 Areca flower 2g
青蒿速Aemisinin眯达UV≥99%,20mg/vial
Linderaspirone A (8R,16R)-REL-2,3,6,11,12,14-六甲氧基-8,16-二本基二螺[
供蚓激酶测定蚓激酶140650-200502-20℃,避光2.6万u
异荭草苷;异荭草素 Isoorientin 4261-42-1 20mg HPLC≥98% 用于含量测定
糖基转移酶8结构域1抗体50-28-2 雌二醇标准品 500mg
欧夹竹桃苷Oleandrin462-16-720mg
etxyl caffeate 3,4-二轻基肉桂酸乙酯 66648-50-8
Mepenzolate Bromide溴化甲哌佐酯标准品76-90-4 200mg溴化甲哌佐酯标准品
枸橼酸;Ciic acid mono 5949-29-1 200mg 订购|咨询
风险提示:丁香通仅作为第三方平台,为商家信息发布提供平台空间。用户咨询产品时请注意保护个人信息及财产安全,合理判断,谨慎选购商品,商家和用户对交易行为负责。对于医疗器械类产品,请先查证核实企业经营资质和医疗器械产品注册证情况。
文献和实验蛋白质组是动态的,随着大量刺激的变化而变化,翻译后修饰常用于调节细胞活性。PTM 发生在不同的氨基酸侧链或肽键上,它们通常由酶活性介导。事实上,据估计,5% 的蛋白质组包含 200 多种类型翻译后修饰的酶。这些酶包括激酶、磷酸酶、转移酶和连接酶,它们在氨基酸侧链上添加或移除功能组、蛋白质、脂质或糖;以及蛋白酶,它们切割肽键以移除特定序列或调节亚基。许多蛋白质也可以利用自催化结构域,如自激酶和自蛋白分解结构域进行自我修饰。翻译后修饰可以发生在蛋白质生命周期的任何阶段。例如,许多蛋白质在翻译完成后不久就被修饰
一些与PAMP结构有交叉反应的自身成分。例子之一是ABO血型抗原。该抗原由乙酰氨基葡萄糖及半乳糖基等组成寡糖前体,加上岩藻糖基构成血型H抗原,然后在乙酰氨基半乳糖基转移酶或半乳糖基转移酶的作用下成为红细胞血型A抗原和B抗原。它们与病原体表面的糖类结构十分相似。对此结构,大多数模式识别分子并不与之起反应,因为即使是专一性识别各种糖类的MBI。,如果糖链端部不在特定部位显示羟基结构,则不能被其PRD结构域所识别。然而曾被菌体糖类多表位激发的预存IgM抗体,却有可能发挥作用。所以输血必需配型,防止供者A型血进入
【求助】P53的翻译后修饰都有哪些? 怎样验证其修饰后与靶标启动子的结合活性的变化?
蛋白质功能的一个主要机制,p53在多个位点上可被磷酸化、顺-反异构化、乙酰化、泛素化、甲基化、糖基化等修饰,从而显示其生物学重要性。这种显示细胞或组织特异性并依赖细胞周期位置的多重修饰,是一种复杂的调节方式,随着细胞对DNA损伤、增殖、老化等产生的细胞信号的反应而发生波动。 磷酸化修饰 P53的磷酸化在多数情况下与蛋白质的稳定性有关。p53 N-末端的三个位点Ser15、Thr18、Ser20磷酸化后,使p53和其主要的负性调节因子MDM2之间的相互作用消失,而和乙酰转移酶
技术资料暂无技术资料 索取技术资料










