相关产品推荐更多 >
万千商家帮你免费找货
0 人在求购买到急需产品
- 详细信息
- 询价记录
- 文献和实验
- 技术资料
- 抗体名:
Goat Anti-Rabbit IgG (H+L) HRP
- 抗体英文名:
Goat Anti-Rabbit IgG (H+L) HRP
- 靶点:
详见说明书
- 浓度:
1.0mg/ml
- 应用范围:
WB IHC
- 宿主:
Rabbit
- 供应商:
上海钰博生物科技有限公司
- 库存:
大量
- 目录编号:
0101
- 抗原来源:
Rabbit
- 保质期:
1年
- 适应物种:
详见说明书
- 标记物:
详见说明书
- 克隆性:
多克隆
- 保存条件:
Store at -20°C
- 形态:
液体或冻干粉
- 亚型:
详见说明书
- 免疫原:
详见说明书
- 规格:
50μg/50μl, 100μg/100μl
-
- Catalog No. : AB0101
- Size : 100μg/100μl
-
- Mol Weight : N/A
- UniProt : N/A
-
- Isotype : Goat IgG
- Clonality : Polyclonal
-
- Price : $35/100μg
- Availability : Ship next day
-
- Rank:
- Download datasheet [PDF] :
- Rank:
Category
- Primary Antibodies
- Secondary antibody
- Loading control / tag antibody
Details
Alternative Names:
N/A
Application:
WB IHC
Reactivity:
Rabbit
Dilution:
WB: 1:5000~1:50000 IHC:1:500~2000
![]() |
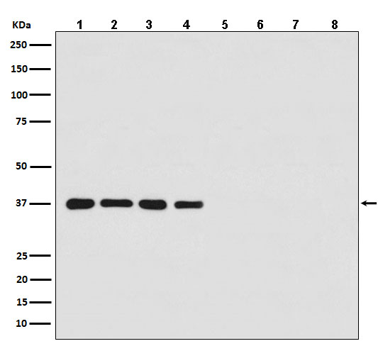
Western blot analysis of (1) Hela cell lysate; (2) Jurkat cell lysate; (3) Mouse kidney lysate; (4) Rat brain lysate with GAPDH Antibody and (5) Hela cell lysate; (6)Jurkat cell lysate; (7)Mouse kidney lysate; (8) Rat brain lysate without primary antibody |
![]() |
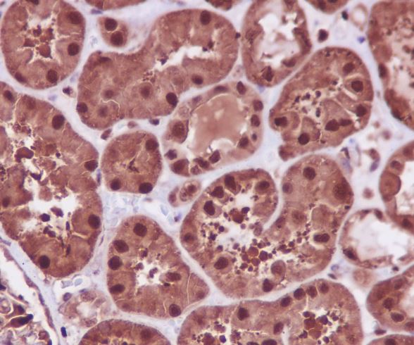
Immunohistochemical analysis of paraffin-embedded huma kidney, labelling GAPDH Antibody (AB0037), using Goat Anti-Rabbit IgG (H+L) HRP. |
Purification:
Affinity-chromatography
Specificity:
N/A
Immunogen:
Rabbit IgG
Description:
N/A
Storage Condition and Buffer:
Goat IgG in phosphate buffered saline , pH 7.4, 150mM NaCl, 0.02% sodium azide and 50% glycerol. Store at +4°C short term. Store at -27°C long term. Avoid freeze / thaw cycle.
风险提示:丁香通仅作为第三方平台,为商家信息发布提供平台空间。用户咨询产品时请注意保护个人信息及财产安全,合理判断,谨慎选购商品,商家和用户对交易行为负责。对于医疗器械类产品,请先查证核实企业经营资质和医疗器械产品注册证情况。
- 作者
- 内容
- 询问日期
文献和实验人抗风疹病毒IgG抗体(anti-RV IgG)酶联免疫分析(ELISA)
中依次加入抗风疹病毒 IgG 抗体( anti-RV IgG ),再与 HRP 标记的抗原结合,形成抗原 - 抗体 - 酶标抗原复合物,经过彻底洗涤后加底物 TMB 显色。 TMB 在 HRP 酶的催化下转化成蓝色,并在酸的作用下转化成最终的黄色。颜色的深浅和样品中的抗风疹病毒 IgG 抗体( anti-RV IgG )呈正相关。用酶标仪在 450nm 波长下测定吸光度( OD 值),通过标准曲线计算样品中人抗风疹病毒 IgG 抗体( anti-RV IgG )浓度。 试剂盒组成
Anti-Factor H Autoantibodies Assay
of autoantibodies directed against Factor H (FH), the main plasmatic alternative complement pathway regulatory protein. Their presence induces an acquired functional FH deficiency. The anti-FH autoantibodies screening must be performed at the very onset
E L I S A w i t h p l a t e l e t s
for 1 hour with a 1 :1000 dilution of rat IgG2 a anti-mouse kappa chain monoclonal antibody conjugated to horse-radish peroxidase (LO-MK1 , LO/IMEX) reveal with o-phenylenediamine dihydrochloride (OPD) in revelation solution. SOLUTIONS
技术资料暂无技术资料 索取技术资料












