万千商家帮你免费找货
0 人在求购买到急需产品
- 详细信息
- 文献和实验
- 技术资料
- 抗体名:
beta Actin Mouse Monoclonal Antibody
- 抗体英文名:
beta Actin Mouse Monoclonal Antibody
- 靶点:
详见说明书
- 浓度:
1.0mg/ml
- 应用范围:
WB IHC ICC/IF
- 宿主:
Mouse
- 供应商:
上海钰博生物科技有限公司
- 库存:
大量
- 目录编号:
0011
- 抗原来源:
Mouse
- 保质期:
1年
- 适应物种:
详见说明书
- 标记物:
详见说明书
- 克隆性:
多克隆
- 保存条件:
Store at -20°C
- 形态:
液体或冻干粉
- 亚型:
详见说明书
- 免疫原:
详见说明书
- 规格:
50μg/50μl, 100μg/100μl
-
- Catalog No. : AB0011
- Size : 50μg/50μl, 100μg/100μl
-
- Mol Weight : 42kDa
- UniProt : P60709
-
- Isotype : Mouse IgG1
- Clonality : Monoclonal
-
- Price : $165/100μg
- Availability : Ship next day
-
- Rank:
- Download datasheet [PDF] :
- Rank:
Category
- Primary Antibodies
- Secondary antibody
- Loading control / tag antibody
Details
Alternative Names:
N/A
Application:
WB IHC ICC/IF
Reactivity:
H M R Mk Dg Ch Pg Rabbit
Dilution:
WB 1:3000~1:10000 IHC 1:100~1:200 ICC/IF 1:100~1:200
![]() |
Western blot analysis of beta Actin expression in (1) Hela cell lysate; (2) Rat brain lysate; (3) Mouse brain lysate; (4) Chicken lung lysate; (5) Rabbit testis lysate with beta Actin mouse mAb |
![]() |
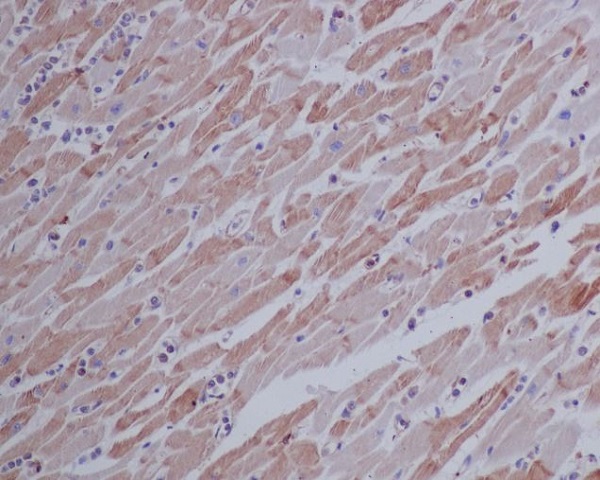
Immunohistochemical analysis of paraffin-embedded human heart, using beta Actin Mouse Monoclonal Antibody. |
![]() |
Immunofluorescent analysis of HepG2 cells, using beta Actin mAb. |
Purification:
Affinity-chromatography
Specificity:
beta Actin Mouse Monoclonal antibody detects endogenous levels of total beta-Actin protein.
Immunogen:
A synthesized peptide derived from human beta Actin
Description:
beta-Actin is one of six different actin isoforms that have been identified. The actin molecules found in cells of various species and tissues tend to be very similar in their immunological and physical properties. Therefore, Antibodies against beta-Actin are useful as loading controls for Western Blotting. However it should be noted that levels of beta-Actin may not be stable in certain cells. For example, expression of beta-Actin in adipose tissue is very low and therefore it should not be used as loading control for these tissues.
Storage Condition and Buffer:
Mouse IgG in phosphate buffered saline , pH 7.4, 150mM NaCl, 0.02% sodium azide and 50% glycerol. Store at +4°C short term. Store at -25°C long term. Avoid freeze / thaw cycle.
风险提示:丁香通仅作为第三方平台,为商家信息发布提供平台空间。用户咨询产品时请注意保护个人信息及财产安全,合理判断,谨慎选购商品,商家和用户对交易行为负责。对于医疗器械类产品,请先查证核实企业经营资质和医疗器械产品注册证情况。
文献和实验Monoclonal Antibody Production
and screening of the hybridomas: 1. Bleeding Mice (1) Place the mouse in a mouse restrainer. (2) Sterilize the tail with 70% ethanol. (3) With a razor blade,nip off the last 2 mm of the tip of the tail. (4) Using a milking motion,pull blood down and let
Monoclonal Antibody Production Protocol
complete with MCM instead of PCM (= IMDM - m ), and keep it in the incubator for fused cells. Isolation of spleen cells Sacrifice mouse by cervical dislocation. Immerse mouse in 70% Ethanol. Remove spleen ( on the left side ) and transfer into a small
monoclonal antibody production fusion
Fusion is an important procedure to produce monoclonal antibodies (MoAb). PROTOCOL prepare the culture of myeloma cells and maintain the concentration of the cells at the level of less than 10
技术资料暂无技术资料 索取技术资料













